Suppr超能文献

严重肺炎合并 H5N1 和 SARS-CoV-2 感染:一例报告。

Severe pneumonia with co-infection of H5N1 and SARS-CoV-2: a case report.

机构信息

Department of Infectious Disease, The First Affiliated Hospital of Nanjing Medical University, Nanjing, 210029, China.

Department of Pediatrics, The First Affiliated Hospital of Nanjing Medical University, Nanjing, 210029, China.

出版信息

BMC Infect Dis. 2024 Jan 2;24(1):31. doi: 10.1186/s12879-023-08901-w.

Abstract

BACKGROUND

The H5N1 influenza virus is a cause of severe pneumonia. Co-infection of influenza virus and severe acute respiratory syndrome coronavirus 2 (SARS-CoV-2) may lead to poor prognosis of patients during the COVID-19 epidemic. However, reports on patients co-infected with avian influenza virus and SARS-CoV-2 are scarce.

CASE PRESENTATION

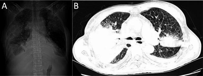
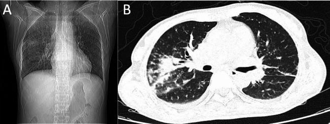
A 52-year-old woman presented with a fever, which has persisted for the past eight days, along with worsening shortness of breath and decreased blood pressure. Computed tomography (CT) revealed an air bronchogram, lung consolidation, and bilateral pleural effusion. The subsequent polymerase chain reaction (PCR) of the bronchoalveolar lavage fluid (BALF) revealed positivity for H5N1 and severe acute respiratory syndrome coronavirus 2 (SARS-CoV-2).

CONCLUSION

The H5N1 influenza virus is a cause of severe pneumonia. The clinical presentation of the patient had a predomination of H5N1 influenza rather than COVID-19. A PCR analysis for the identification of the virus is necessary to reveal the pathogen causing the severe pneumonia. The patient exhibited an excellent prognosis upon the use of the appropriate antiviral medicine.

摘要

背景

H5N1 流感病毒可引起严重肺炎。流感病毒与严重急性呼吸综合征冠状病毒 2(SARS-CoV-2)的合并感染可能导致 COVID-19 流行期间患者预后不良。然而,关于同时感染禽流感病毒和 SARS-CoV-2 的患者的报告很少。

病例介绍

一名 52 岁女性因发热持续 8 天,伴呼吸困难加重和血压下降而就诊。计算机断层扫描(CT)显示空气支气管征、肺部实变和双侧胸腔积液。随后对支气管肺泡灌洗液(BALF)的聚合酶链反应(PCR)显示 H5N1 和严重急性呼吸综合征冠状病毒 2(SARS-CoV-2)均呈阳性。

结论

H5N1 流感病毒可引起严重肺炎。患者的临床表现以 H5N1 流感为主,而不是 COVID-19。进行病毒 PCR 分析对于确定引起严重肺炎的病原体是必要的。该患者使用适当的抗病毒药物后预后良好。

https://cdn.ncbi.nlm.nih.gov/pmc/blobs/9a19/10763204/aa03a27d12ad/12879_2023_8901_Fig1_HTML.jpg

文献AI研究员

20分钟写一篇综述,助力文献阅读效率提升50倍。

立即体验

用中文搜PubMed

大模型驱动的PubMed中文搜索引擎

马上搜索

文档翻译

学术文献翻译模型,支持多种主流文档格式。

立即体验