Suppr超能文献

溶酶体不稳定:病理性钙化与骨关节炎之间缺失的环节。

Lysosomal destabilization: A missing link between pathological calcification and osteoarthritis.

作者信息

Ye Tao, Wang Chenyu, Yan Jianfei, Qin Zixuan, Qin Wenpin, Ma Yuxuan, Wan Qianqian, Lu Weicheng, Zhang Mian, Tay Franklin R, Jiao Kai, Niu Lina

机构信息

State Key Laboratory of Oral & Maxillofacial Reconstruction and Regeneration & National Clinical Research Center for Oral Diseases & Shaanxi Key Laboratory of Stomatology, Department of Prosthodontics, School of Stomatology, The Fourth Military Medical University, Xi'an, Shaanxi, 710032, PR China.

Department of Stomatology, Tangdu Hospital, State Key Laboratory of Oral & Maxillofacial Reconstruction and Regeneration & National Clinical Research Center for Oral Diseases & Shaanxi Key Laboratory of Stomatology, School of Stomatology, The Fourth Military Medical University, Xi'an, Shaanxi, 710032, PR China.

出版信息

Bioact Mater. 2023 Dec 14;34:37-50. doi: 10.1016/j.bioactmat.2023.12.001. eCollection 2024 Apr.

Abstract

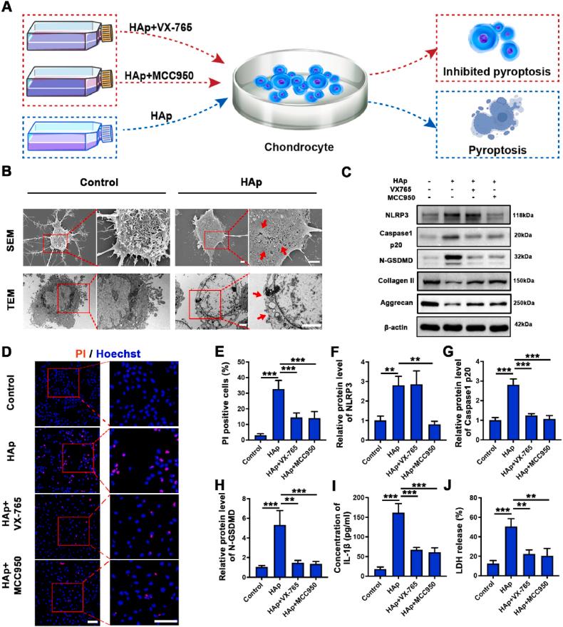
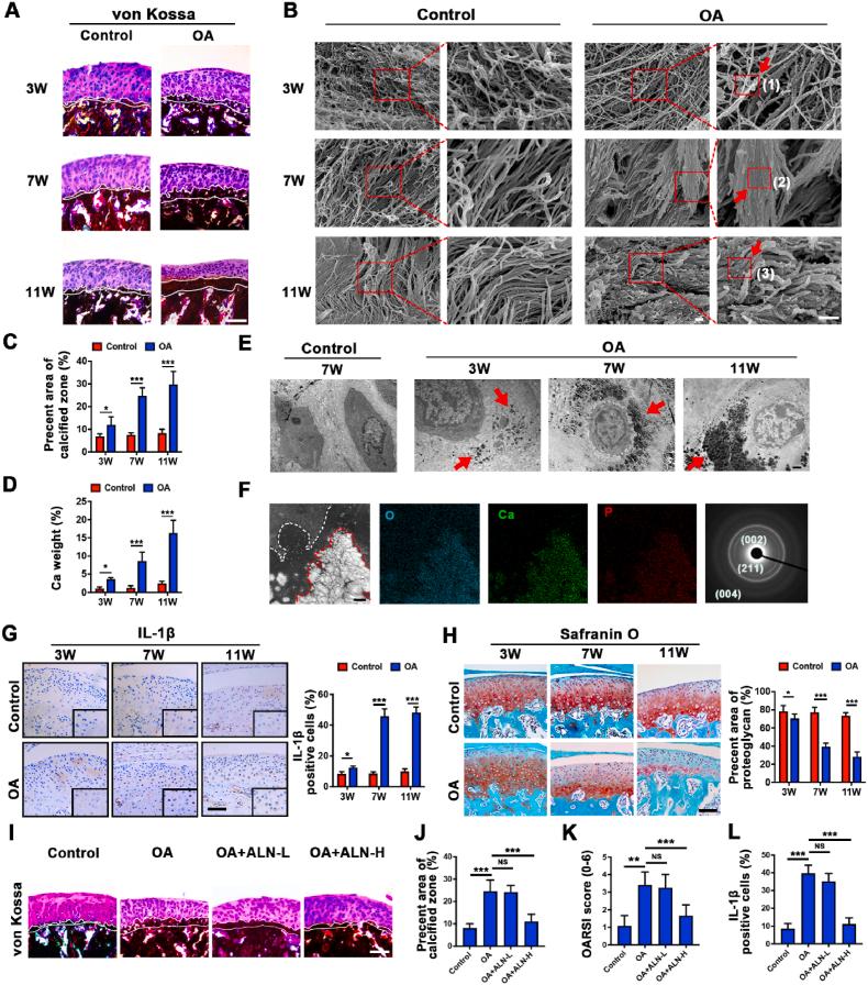
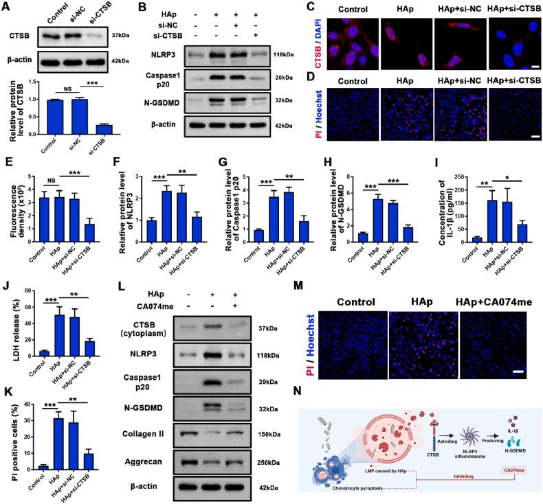
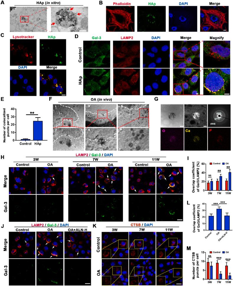
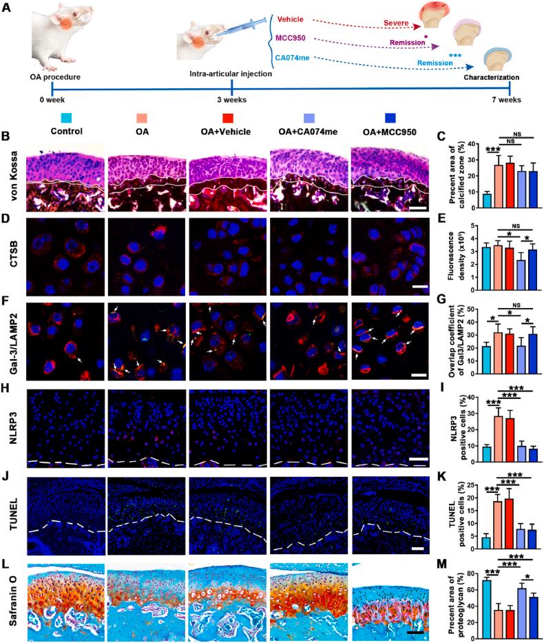
Calcification of cartilage by hydroxyapatite is a hallmark of osteoarthritis and its deposition strongly correlates with the severity of osteoarthritis. However, no effective strategies are available to date on the prevention of hydroxyapatite deposition within the osteoarthritic cartilage and its role in the pathogenesis of this degenerative condition is still controversial. Therefore, the present work aims at uncovering the pathogenic mechanism of intra-cartilaginous hydroxyapatite in osteoarthritis and developing feasible strategies to counter its detrimental effects. With the use of and models of osteoarthritis, hydroxyapatite crystallites deposited in the cartilage are found to be phagocytized by resident chondrocytes and processed by the lysosomes of those cells. This results in lysosomal membrane permeabilization (LMP) and release of cathepsin B (CTSB) into the cytosol. The cytosolic CTSB, in turn, activates NOD-like receptor protein-3 (NLRP3) inflammasomes and subsequently instigates chondrocyte pyroptosis. Inhibition of LMP and CTSB are effective in managing the progression of osteoarthritis. The present work provides a conceptual therapeutic solution for the prevention of osteoarthritis via alleviation of lysosomal destabilization.

摘要

羟基磷灰石导致的软骨钙化是骨关节炎的一个标志,其沉积与骨关节炎的严重程度密切相关。然而,迄今为止,尚无有效的策略来预防羟基磷灰石在骨关节炎软骨内的沉积,其在这种退行性疾病发病机制中的作用仍存在争议。因此,本研究旨在揭示骨关节炎中软骨内羟基磷灰石的致病机制,并制定可行的策略来对抗其有害影响。利用骨关节炎的[具体模型1]和[具体模型2]模型,发现沉积在软骨中的羟基磷灰石微晶被驻留的软骨细胞吞噬,并由这些细胞的溶酶体进行处理。这导致溶酶体膜通透性增加(LMP),组织蛋白酶B(CTSB)释放到细胞质中。反过来,细胞质中的CTSB激活NOD样受体蛋白3(NLRP3)炎性小体,随后引发软骨细胞焦亡。抑制LMP和CTSB可有效控制骨关节炎的进展。本研究通过减轻溶酶体不稳定为预防骨关节炎提供了一种概念性的治疗方案。

https://cdn.ncbi.nlm.nih.gov/pmc/blobs/5d7d/10761323/3af1ad34e274/ga1.jpg

文献AI研究员

20分钟写一篇综述,助力文献阅读效率提升50倍。

立即体验

用中文搜PubMed

大模型驱动的PubMed中文搜索引擎

马上搜索

文档翻译

学术文献翻译模型,支持多种主流文档格式。

立即体验