Suppr超能文献

静磁场辅助解冻可改善小鼠整个卵巢的冷冻保存。

Static magnetic field assisted thawing improves cryopreservation of mouse whole ovaries.

作者信息

Zhang Liyuan, Chi Mengqiao, Cheng Yue, Chen Zhongrong, Cao Yunxia, Zhao Gang

机构信息

School of Basic Medicine Anhui Medical University Hefei China.

School of Biomedical Engineering Anhui Medical University Hefei China.

出版信息

Bioeng Transl Med. 2023 Oct 18;9(1):e10613. doi: 10.1002/btm2.10613. eCollection 2024 Jan.

Abstract

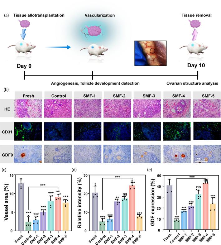
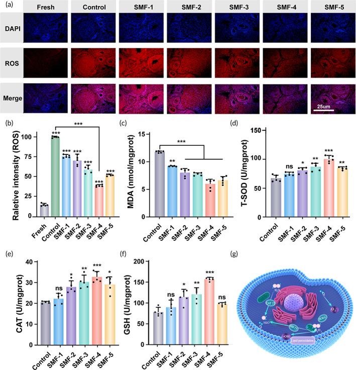
Ovarian tissue cryopreservation is considered to be the only means to preserve fertility for prepubertal girls and women whose cancer treatment cannot be postponed. However, ovarian tissues are inevitably damaged by oxidative stress during cryopreservation, which threatens follicle survival and development, and thus affects female fertility. Therefore, reducing tissue oxidative stress injury is one of the major challenges to achieving efficient cryopreservation of ovarian tissues, especially for whole ovaries. Here, we proposed a new method to improve the antioxidant capacity of whole ovaries during cryopreservation, static magnetic field assisted thawing. The results demonstrated that the antioxidant capacity of the ovarian tissue was significantly improved by static magnetic field treatment. In addition, ovarian tissue allograft transplantation was carried out, which successfully achieved vascular regeneration and maintained follicular development. The findings of this study not only provide a new reference for the preservation of female fertility, but also is a major step forward in the cryopreservation of tissues and organs. It will have good application prospects in the field of assisted reproduction and cryo-biomedicine.

摘要

卵巢组织冷冻保存被认为是为青春期前女孩和癌症治疗无法推迟的女性保留生育能力的唯一手段。然而,卵巢组织在冷冻保存过程中不可避免地受到氧化应激的损伤,这威胁到卵泡的存活和发育,进而影响女性生育能力。因此,减少组织氧化应激损伤是实现卵巢组织高效冷冻保存的主要挑战之一,尤其是对于整个卵巢而言。在此,我们提出了一种新方法来提高冷冻保存过程中整个卵巢的抗氧化能力,即静磁场辅助解冻。结果表明,静磁场处理显著提高了卵巢组织的抗氧化能力。此外,进行了卵巢组织同种异体移植,成功实现了血管再生并维持了卵泡发育。本研究结果不仅为女性生育力保存提供了新的参考,也是组织和器官冷冻保存向前迈出的重要一步。它将在辅助生殖和低温生物医学领域具有良好的应用前景。

https://cdn.ncbi.nlm.nih.gov/pmc/blobs/0939/10771557/a48ebeaedab4/BTM2-9-e10613-g004.jpg

文献AI研究员

20分钟写一篇综述,助力文献阅读效率提升50倍。

立即体验

用中文搜PubMed

大模型驱动的PubMed中文搜索引擎

马上搜索

文档翻译

学术文献翻译模型,支持多种主流文档格式。

立即体验