Suppr超能文献

一种新型上调的 hsa_circ_0032746 通过调节 miR-4270/MCM3 轴调控食管鳞状细胞癌的发生。

A novel upregulated hsa_circ_0032746 regulates the oncogenesis of esophageal squamous cell carcinoma by regulating miR-4270/MCM3 axis.

机构信息

Department of Gastroenterology, School of Medicine, Southeast University, Nanjing, Jiangsu Province, China.

Department of Gastroenterology, Zhongda Hospital Affiliated to Southeast University, Nanjing, Jiangsu Province, China.

出版信息

Hum Genomics. 2024 Jan 10;18(1):3. doi: 10.1186/s40246-023-00564-7.

Abstract

INTRODUCTION

Circular RNAs (CircRNA) have emerged as an interest of research in recent years due to its regulatory role in various kinds of cancers of human body. Esophageal squamous cell carcinoma (ESCC) is one of the major disease subtype in Asian countries, including China. CircRNAs are formed by back-splicing covalently joined 3'- and 5'- ends rather than canonical splicing and are found to have binding affinity with miRNAs that conjointly contribute to oncogenesis.

MATERIALS AND METHODS

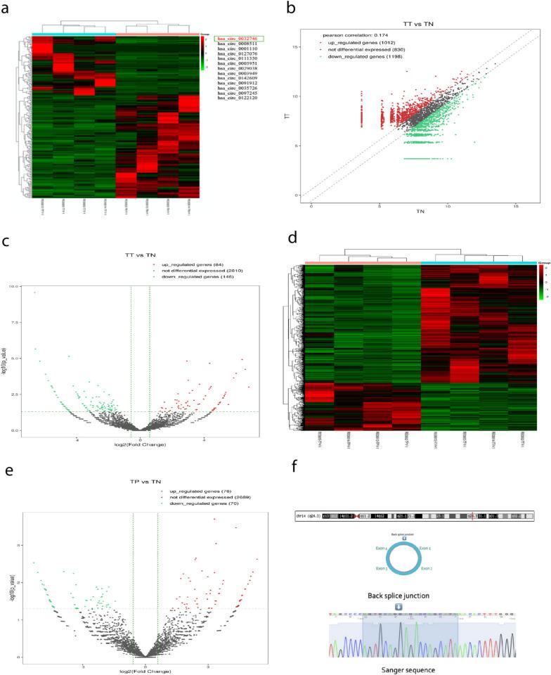
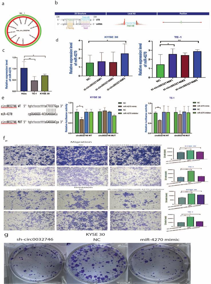
4 pairs of normal, cancer adjacent tissues and cancer tissues were analyzed by high-throughput RNA sequencing and 84 differentially upregulated circRNAs were detected in cancer tissues. hsa_circ_0032746 was silenced by siRNA and lentivirus and then further proliferation, migration and invasion were performed by CCK-8 and transwell assays. Bioinformatic analysis  predicted binding affinity of circRNA/miRNA/mRNA axis.

RESULTS

After qPCR validation, we selected a novel upregulated hsa_circ_0032746 to explore its biogenetic functions which showed high expression in cancer tissues but not in cancer adjacent tissues. The clinicopathological relation of hsa_circ_0032746 showed positive correlation with the tumor location (P = 0.026) and gender (P = 0.05). We also predicted that hsa_circ_0032746 could sponge with microRNA. Bioinformatic analysis predicted 11 microRNA response element (MRE) sequences of hsa_circ_0032746 and dual luciferase reporter assay confirmed binding affinity with miR4270 evidencing further study of circRNA/miRNA role. The knockdown of hsa_circ_0032746 by siRNA and lentivirus demonstrated that proliferation, invasion and migration of ESCC were inhibited in vitro and vivo experiments. Bioinformatic analysis further predicted MCM3 as a target of miR-4270 and was found upregulated in ESCC upon validation. miR4270 mimic decreased the level of hsa_circ_0032746 and MCM3 while further rescue experiments demonstrated that hsa_circ_0032746 was dependent on miR4270/MCM3 axis on the development process of ESCC.

CONCLUSION

We revealed for the first time that circ_0032746/mir4270/MCM3 contributes in proliferation, migration and invasion of ESCC and could have potential prognostic and therapeutic significance.

摘要

简介

近年来,环状 RNA(circRNA)因其在人体各种癌症中的调控作用而成为研究热点。食管鳞状细胞癌(ESCC)是包括中国在内的亚洲国家的主要疾病亚型之一。circRNA 通过共价连接 3' 和 5' 末端的反向剪接形成,而不是经典剪接,并发现与 miRNA 具有结合亲和力,共同促进癌发生。

材料和方法

通过高通量 RNA 测序分析 4 对正常、癌旁组织和癌组织,在癌组织中检测到 84 个差异上调的 circRNA。用 siRNA 和慢病毒沉默 hsa_circ_0032746,然后通过 CCK-8 和 Transwell 测定进一步进行增殖、迁移和侵袭实验。生物信息学分析预测 circRNA/miRNA/mRNA 轴的结合亲和力。

结果

qPCR 验证后,我们选择了一种新型上调的 hsa_circ_0032746 来探索其生物发生功能,该功能在癌组织中高表达,但在癌旁组织中不表达。hsa_circ_0032746 的临床病理关系显示与肿瘤位置(P=0.026)和性别(P=0.05)呈正相关。我们还预测 hsa_circ_0032746 可以与 microRNA 结合。生物信息学分析预测了 hsa_circ_0032746 的 11 个 microRNA 反应元件(MRE)序列,双荧光素酶报告基因测定证实了与 miR4270 的结合亲和力,进一步研究了 circRNA/miRNA 作用。用 siRNA 和慢病毒敲低 hsa_circ_0032746 ,在体外和体内实验中抑制 ESCC 的增殖、侵袭和迁移。生物信息学分析进一步预测 MCM3 是 miR-4270 的靶标,并在验证时发现 ESCC 中上调。miR4270 模拟物降低了 hsa_circ_0032746 和 MCM3 的水平,而进一步的挽救实验表明,hsa_circ_0032746 依赖于 miR4270/MCM3 轴在 ESCC 的发展过程中。

结论

我们首次揭示 circ_0032746/miR4270/MCM3 促进 ESCC 的增殖、迁移和侵袭,可能具有潜在的预后和治疗意义。

https://cdn.ncbi.nlm.nih.gov/pmc/blobs/9ccc/10777493/f8449fa8b398/40246_2023_564_Fig1_HTML.jpg

文献AI研究员

20分钟写一篇综述,助力文献阅读效率提升50倍。

立即体验

用中文搜PubMed

大模型驱动的PubMed中文搜索引擎

马上搜索

文档翻译

学术文献翻译模型,支持多种主流文档格式。

立即体验