Suppr超能文献

山黧豆乙醇提取物通过对巨噬细胞发挥抗炎作用减轻脓毒性休克。

Astragalus Complanatus Ethanol Attenuates Septic Shock by Exerting Anti-Inflammatory Effects on Macrophages.

机构信息

Immunotherapy Research Center, Korea Research Institute of Bioscience and Biotechnology, Yuseong-gu, Daejeon 34141, Republic of Korea.

Department of Biomolecular Science, KRIBB School of Bioscience, Korea University of Science and Technology (UST), Yuseong-gu, Daejeon 34113, Republic of Korea.

出版信息

Int J Mol Sci. 2023 Dec 27;25(1):384. doi: 10.3390/ijms25010384.

Abstract

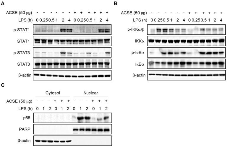
Sepsis is a systemic inflammatory syndrome that results in multiple-organ failure caused by a dysregulated host immune response to microbial infection. Astragali complanati semen extract (ACSE) exhibits pharmacological activities, including antioxidant, anticancer, antiaging, and anti-diabetes effects. It is widely used in traditional medicine to treat liver and kidney diseases; however, the protective effect of ACSE on sepsis and its mechanisms are unknown. In the present study, we investigated the anti-inflammatory effects and potential mechanisms of the action of ACSE on sepsis. We show that ACSE improved survival rates in mouse models of acute sepsis induced by CLP (cecal ligation and puncture) and LPS stimulation. ACSE administration decreased aspartate aminotransferase (AST) and alanine aminotransferase (ALT) in sepsis-induced mice. Furthermore, ACSE reduced the levels of nitric oxide (NO), tumor necrosis factor-α (TNF-α), interleukin-1β (IL-1β), and interleukin-6 (IL-6) in the serum of septic mice. ACSE treatment inhibited the expression of these proinflammatory genes in LPS-stimulated J774 macrophages. Moreover, ACSE inhibited the phosphorylation of the IκB kinase (IKK) and the nuclear translocation of p65 NF-κB by LPS stimulation in macrophages. These results reveal the mechanism underlying the protective effect of ACSE against sepsis by inhibiting NF-κB activation and suggest that ACSE could be a potential therapeutic candidate to treat acute inflammatory diseases.

摘要

脓毒症是一种全身性炎症综合征,由宿主对微生物感染的免疫反应失调导致多器官衰竭。黄芪总提物(ACSE)具有多种药理活性,包括抗氧化、抗癌、抗衰和抗糖尿病作用。它在传统医学中被广泛用于治疗肝脏和肾脏疾病;然而,ACSE 对脓毒症的保护作用及其机制尚不清楚。在本研究中,我们研究了 ACSE 对脓毒症的抗炎作用及其潜在机制。结果表明,ACSE 提高了 CLP(盲肠结扎和穿孔)和 LPS 刺激诱导的急性脓毒症小鼠模型的存活率。ACSE 给药降低了脓毒症诱导小鼠血清中天冬氨酸转氨酶(AST)和丙氨酸转氨酶(ALT)的水平。此外,ACSE 降低了脓毒症小鼠血清中一氧化氮(NO)、肿瘤坏死因子-α(TNF-α)、白细胞介素-1β(IL-1β)和白细胞介素-6(IL-6)的水平。ACSE 处理抑制了 LPS 刺激的 J774 巨噬细胞中这些促炎基因的表达。此外,ACSE 抑制了 LPS 刺激巨噬细胞中 IκB 激酶(IKK)的磷酸化和 p65 NF-κB 的核易位。这些结果揭示了 ACSE 通过抑制 NF-κB 激活对脓毒症的保护作用机制,并表明 ACSE 可能是治疗急性炎症性疾病的潜在治疗候选药物。

https://cdn.ncbi.nlm.nih.gov/pmc/blobs/6273/10778658/28bd53c5bd46/ijms-25-00384-g001.jpg

文献AI研究员

20分钟写一篇综述,助力文献阅读效率提升50倍。

立即体验

用中文搜PubMed

大模型驱动的PubMed中文搜索引擎

马上搜索

文档翻译

学术文献翻译模型,支持多种主流文档格式。

立即体验