Suppr超能文献

浆母细胞淋巴瘤。最新综述:第1部分——流行病学、发病机制、临床病理特征、鉴别诊断、预后因素及特殊人群

Plasmablastic Lymphoma. A State-of-the-Art Review: Part 1-Epidemiology, Pathogenesis, Clinicopathologic Characteristics, Differential Diagnosis, Prognostic Factors, and Special Populations.

作者信息

Bibas Michele

机构信息

Department of Clinical Research, Hematology. National Institute for Infectious Diseases "Lazzaro Spallanzani" I.R.C.S.S. Rome, Italy.

出版信息

Mediterr J Hematol Infect Dis. 2024 Jan 1;16(1):e2024007. doi: 10.4084/MJHID.2024.007. eCollection 2024.

Abstract

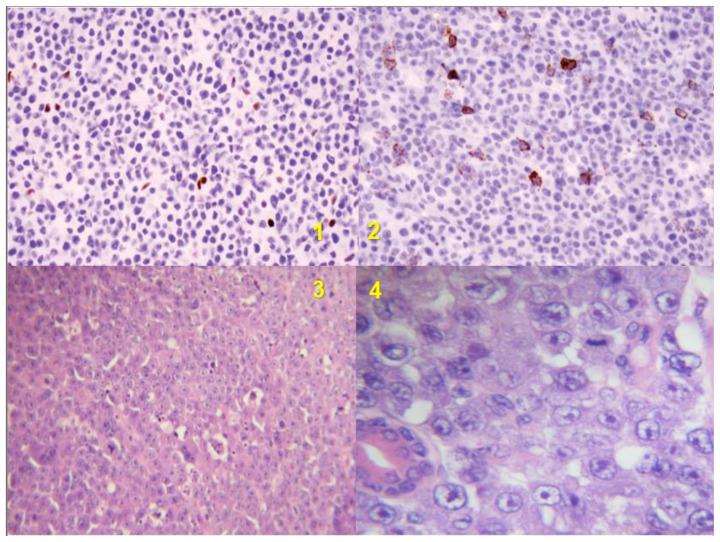
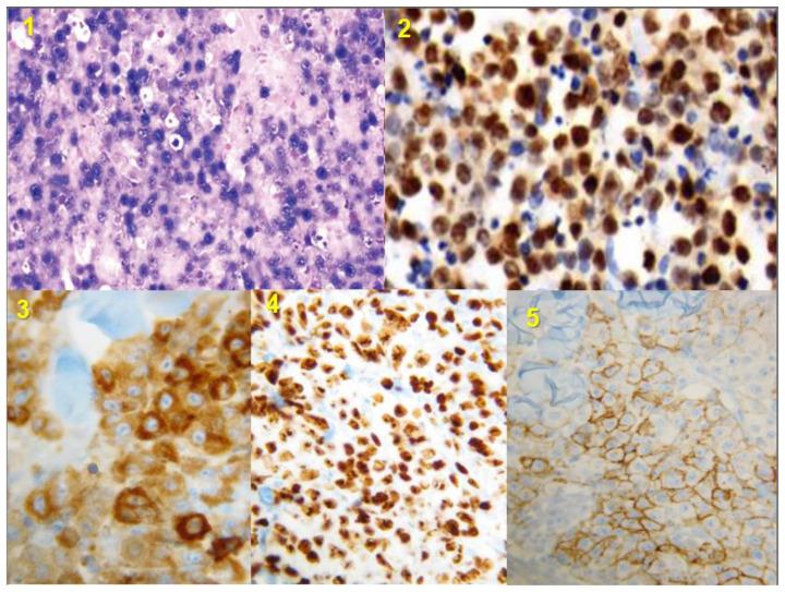
This two-part review aims to present a current and comprehensive understanding of the diagnosis and management of plasmablastic lymphoma. The first section, as presented in this paper, reviews epidemiology, etiology, clinicopathological characteristics, differential diagnosis, prognostic variables, and the impact of plasmablastic lymphoma on specific populations. Plasmablastic lymphoma (PBL) is a rare and aggressive form of lymphoma. Previous and modern studies have demonstrated a significant association between the human immunodeficiency virus (HIV) and the development of the disease. The limited occurrence of PBL contributes to a need for a more comprehensive understanding of the molecular mechanisms involved in its etiology. Consequently, the diagnostic procedure for PBL poses a significant difficulty. Among the group of CD20-negative large B-cell lymphomas, PBL can be correctly diagnosed by identifying its exact clinical characteristics, anatomical location, and morphological characteristics. PBL cells do not express CD20 or PAX5 but possess plasmacytic differentiation markers such as CD38, CD138, MUM1/IRF4, Blimp1, and XBP1. PBL must be distinguished from other B-cell malignancies that lack the CD20 marker, including primary effusion lymphoma, anaplastic lymphoma kinase-positive large B-cell lymphoma, and large B-cell lymphoma (LBCL). This condition is frequently associated with infections caused by the Epstein-Barr virus and genetic alterations involving the MYC gene. Despite advances in our comprehension of this disease, the prognosis remains dismal, resulting in a low overall survival rate, although recent reports suggest an apparent tendency towards substantial improvement.

摘要

这篇分为两部分的综述旨在对浆母细胞淋巴瘤的诊断和管理提供当前全面的认识。本文呈现的第一部分回顾了浆母细胞淋巴瘤的流行病学、病因、临床病理特征、鉴别诊断、预后变量以及其对特定人群的影响。浆母细胞淋巴瘤(PBL)是一种罕见且侵袭性的淋巴瘤形式。既往和现代研究均表明人类免疫缺陷病毒(HIV)与该疾病的发生之间存在显著关联。PBL的有限发病率使得有必要更全面地了解其病因中涉及的分子机制。因此,PBL的诊断程序存在重大困难。在CD20阴性的大B细胞淋巴瘤组中,通过识别其确切的临床特征、解剖位置和形态特征,可以正确诊断PBL。PBL细胞不表达CD20或PAX5,但具有浆细胞分化标志物,如CD38、CD138、MUM1/IRF4、Blimp1和XBP1。PBL必须与其他缺乏CD20标志物的B细胞恶性肿瘤相鉴别,包括原发性渗出性淋巴瘤、间变性淋巴瘤激酶阳性大B细胞淋巴瘤和大B细胞淋巴瘤(LBCL)。这种情况常与爱泼斯坦 - 巴尔病毒引起的感染以及涉及MYC基因的基因改变有关。尽管我们对这种疾病的理解有所进展,但预后仍然不佳,导致总体生存率较低,不过最近的报告表明有明显的大幅改善趋势。

https://cdn.ncbi.nlm.nih.gov/pmc/blobs/d1ca/10786126/6b2394386466/mjhid-16-1-e2024007f1.jpg

文献AI研究员

20分钟写一篇综述,助力文献阅读效率提升50倍。

立即体验

用中文搜PubMed

大模型驱动的PubMed中文搜索引擎

马上搜索

文档翻译

学术文献翻译模型,支持多种主流文档格式。

立即体验