Suppr超能文献

奥密克戎亚变种增强的先天免疫抑制作用的进化。

Evolution of enhanced innate immune suppression by SARS-CoV-2 Omicron subvariants.

机构信息

Division of Infection and Immunity, University College London, London, UK.

Department of Infectious Diseases, St Mary's Medical School, Imperial College London, London, UK.

出版信息

Nat Microbiol. 2024 Feb;9(2):451-463. doi: 10.1038/s41564-023-01588-4. Epub 2024 Jan 16.

Abstract

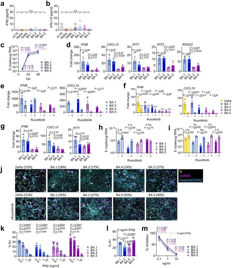
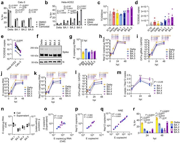
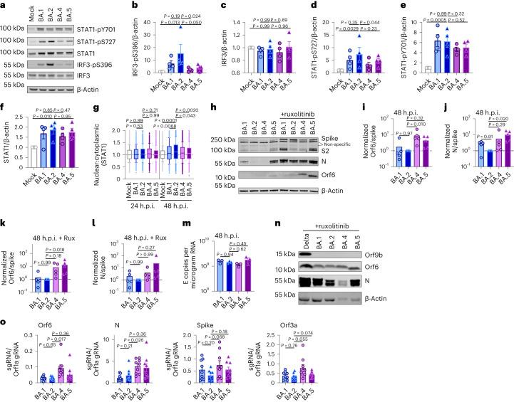
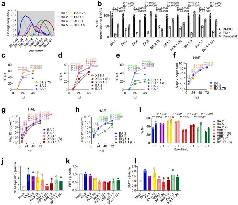
Severe acute respiratory syndrome coronavirus 2 (SARS-CoV-2) human adaptation resulted in distinct lineages with enhanced transmissibility called variants of concern (VOCs). Omicron is the first VOC to evolve distinct globally dominant subvariants. Here we compared their replication in human cell lines and primary airway cultures and measured host responses to infection. We discovered that subvariants BA.4 and BA.5 have improved their suppression of innate immunity when compared with earlier subvariants BA.1 and BA.2. Similarly, more recent subvariants (BA.2.75 and XBB lineages) also triggered reduced innate immune activation. This correlated with increased expression of viral innate antagonists Orf6 and nucleocapsid, reminiscent of VOCs Alpha to Delta. Increased Orf6 levels suppressed host innate responses to infection by decreasing IRF3 and STAT1 signalling measured by transcription factor phosphorylation and nuclear translocation. Our data suggest that convergent evolution of enhanced innate immune antagonist expression is a common pathway of human adaptation and link Omicron subvariant dominance to improved innate immune evasion.

摘要

严重急性呼吸综合征冠状病毒 2(SARS-CoV-2)的人类适应性导致了具有增强传染性的不同谱系,被称为关注变种(VOC)。奥密克戎是第一个进化出独特的全球主要亚变种的 VOC。在这里,我们比较了它们在人细胞系和原代气道培养物中的复制情况,并测量了宿主对感染的反应。我们发现,与早期的亚变种 BA.1 和 BA.2 相比,亚变种 BA.4 和 BA.5 提高了对先天免疫的抑制能力。同样,最近的亚变种(BA.2.75 和 XBB 谱系)也引发了先天免疫激活的减少。这与病毒先天拮抗剂 Orf6 和核衣壳的表达增加有关,这让人联想到 VOCs Alpha 到 Delta。增加的 Orf6 水平通过降低转录因子磷酸化和核易位测量的 IRF3 和 STAT1 信号来抑制宿主对感染的先天反应。我们的数据表明,增强先天免疫拮抗剂表达的趋同进化是人类适应的共同途径,并将奥密克戎亚变种的优势与先天免疫逃避的改善联系起来。

https://cdn.ncbi.nlm.nih.gov/pmc/blobs/222d/10847042/f1ebe0800d90/41564_2023_1588_Fig1_HTML.jpg

文献AI研究员

20分钟写一篇综述,助力文献阅读效率提升50倍。

立即体验

用中文搜PubMed

大模型驱动的PubMed中文搜索引擎

马上搜索

文档翻译

学术文献翻译模型,支持多种主流文档格式。

立即体验