Suppr超能文献

ATG14 靶向脂滴,并作为衔接蛋白 18 调节的脂滴周转的自噬受体发挥作用。

ATG14 targets lipid droplets and acts as an autophagic receptor for syntaxin18-regulated lipid droplet turnover.

机构信息

Department of Biochemistry and Molecular Biology, School of Basic Medicine, Tongji Medical College, Huazhong University of Science and Technology, Wuhan, Hubei, 430030, China.

Institute of Health Inspection and Testing, Hubei Provincial Center for Disease Control and Prevention, Wuhan, Hubei, 430079, China.

出版信息

Nat Commun. 2024 Jan 20;15(1):631. doi: 10.1038/s41467-024-44978-w.

Abstract

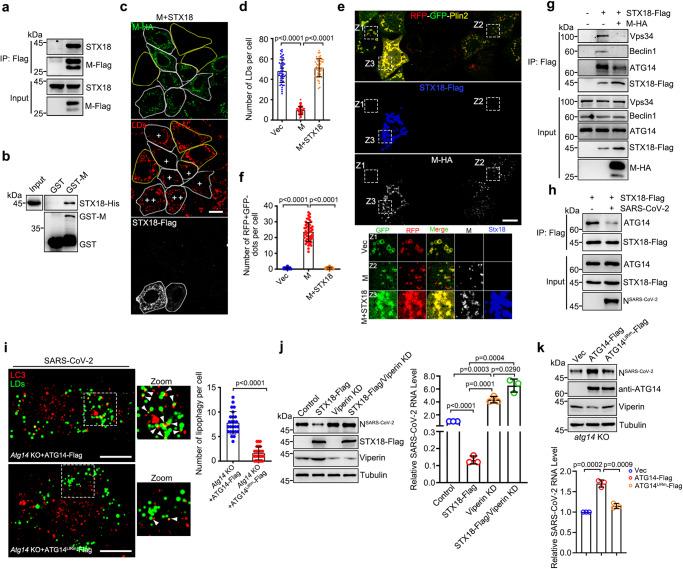
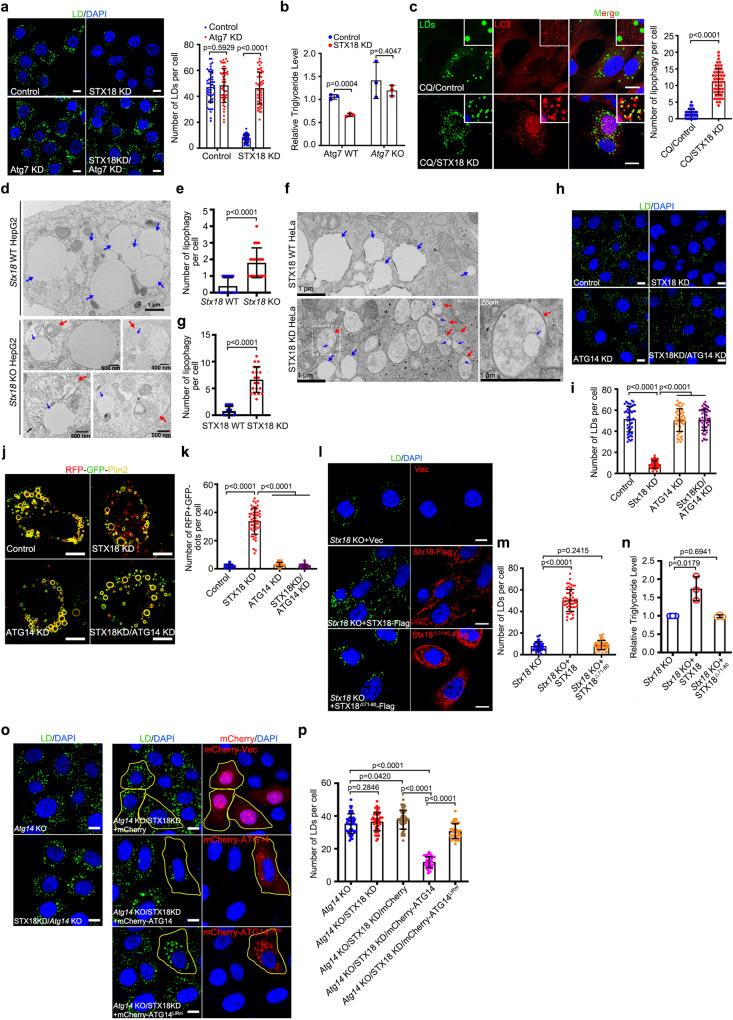
Lipid droplets (LDs) are dynamic lipid storage organelles that can be degraded by autophagy machinery to release neutral lipids, a process called lipophagy. However, specific receptors and regulation mechanisms for lipophagy remain largely unknown. Here, we identify that ATG14, the core unit of the PI3KC3-C1 complex, also targets LD and acts as an autophagic receptor that facilitates LD degradation. A negative regulator, Syntaxin18 (STX18) binds ATG14, disrupting the ATG14-ATG8 family members interactions and subverting the PI3KC3-C1 complex formation. Knockdown of STX18 activates lipophagy dependent on ATG14 not only as the core unit of PI3KC3-C1 complex but also as the autophagic receptor, resulting in the degradation of LD-associated anti-viral protein Viperin. Furthermore, coronavirus M protein binds STX18 and subverts the STX18-ATG14 interaction to induce lipophagy and degrade Viperin, facilitating virus production. Altogether, our data provide a previously undescribed mechanism for additional roles of ATG14 in lipid metabolism and virus production.

摘要

脂滴 (LDs) 是动态的脂质储存细胞器,可被自噬机制降解以释放中性脂质,这一过程称为脂噬作用。然而,脂噬作用的特定受体和调节机制在很大程度上仍然未知。在这里,我们发现 ATG14(PI3KC3-C1 复合物的核心单元)还靶向 LD 并作为一种自噬受体,促进 LD 降解。负调节因子 Syntaxin18 (STX18) 与 ATG14 结合,破坏 ATG14-ATG8 家族成员的相互作用,并颠覆 PI3KC3-C1 复合物的形成。STX18 的敲低不仅激活了依赖于 ATG14 的脂噬作用,使其成为 PI3KC3-C1 复合物的核心单元,而且还作为自噬受体,导致 LD 相关抗病毒蛋白 Viperin 的降解。此外,冠状病毒 M 蛋白结合 STX18 并颠覆 STX18-ATG14 相互作用,诱导脂噬作用并降解 Viperin,从而促进病毒产生。总之,我们的数据提供了一个以前未描述的机制,用于 ATG14 在脂质代谢和病毒产生中的额外作用。

https://cdn.ncbi.nlm.nih.gov/pmc/blobs/3e41/10799895/6e54215fc5a0/41467_2024_44978_Fig1_HTML.jpg

文献AI研究员

20分钟写一篇综述,助力文献阅读效率提升50倍。

立即体验

用中文搜PubMed

大模型驱动的PubMed中文搜索引擎

马上搜索

文档翻译

学术文献翻译模型,支持多种主流文档格式。

立即体验