Suppr超能文献

[不可用]。

[Not Available].

作者信息

Guo Ao, Zhang Shengting, Yang Runhuai, Sui Cong

机构信息

Department of Trauma and Pediatric Orthopedics, The First Affiliated Hospital of Anhui Medical University, Hefei, 231200, China.

School of Biomedical Engineering, Anhui Medical University, Hefei, 230032, China.

出版信息

Mater Today Bio. 2023 Dec 30;24:100939. doi: 10.1016/j.mtbio.2023.100939. eCollection 2024 Feb.

Abstract

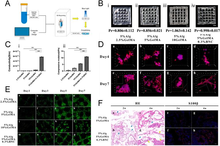
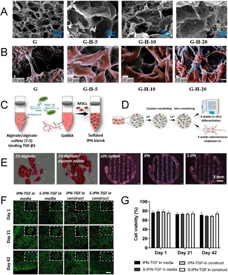
Gelatin methacrylate (GelMA) hydrogels have gained significant traction in diverse tissue engineering applications through the utilization of 3D printing technology. As an artificial hydrogel possessing remarkable processability, GelMA has emerged as a pioneering material in the advancement of tissue engineering due to its exceptional biocompatibility and degradability. The integration of 3D printing technology facilitates the precise arrangement of cells and hydrogel materials, thereby enabling the creation of in vitro models that simulate artificial tissues suitable for transplantation. Consequently, the potential applications of GelMA in tissue engineering are further expanded. In tissue engineering applications, the mechanical properties of GelMA are often modified to overcome the hydrogel material's inherent mechanical strength limitations. This review provides a comprehensive overview of recent advancements in enhancing the mechanical properties of GelMA at the monomer, micron, and nano scales. Additionally, the diverse applications of GelMA in soft tissue engineering via 3D printing are emphasized. Furthermore, the potential opportunities and obstacles that GelMA may encounter in the field of tissue engineering are discussed. It is our contention that through ongoing technological progress, GelMA hydrogels with enhanced mechanical strength can be successfully fabricated, leading to the production of superior biological scaffolds with increased efficacy for tissue engineering purposes.

摘要

甲基丙烯酸明胶(GelMA)水凝胶通过3D打印技术的应用,在各种组织工程应用中获得了显著的关注。作为一种具有出色加工性能的人工水凝胶,GelMA因其卓越的生物相容性和可降解性,已成为组织工程发展中的一种开创性材料。3D打印技术的整合促进了细胞和水凝胶材料的精确排列,从而能够创建模拟适合移植的人工组织的体外模型。因此,GelMA在组织工程中的潜在应用得到了进一步扩展。在组织工程应用中,GelMA的机械性能常常被改性,以克服水凝胶材料固有的机械强度限制。本综述全面概述了在单体、微米和纳米尺度上增强GelMA机械性能的最新进展。此外,还强调了GelMA通过3D打印在软组织工程中的各种应用。此外,还讨论了GelMA在组织工程领域可能遇到的潜在机遇和障碍。我们认为,通过不断的技术进步,可以成功制造出具有增强机械强度的GelMA水凝胶,从而生产出在组织工程目的方面具有更高功效的优质生物支架。

https://cdn.ncbi.nlm.nih.gov/pmc/blobs/f453/10797197/dc74aa31d32c/ga1.jpg

文献AI研究员

20分钟写一篇综述,助力文献阅读效率提升50倍。

立即体验

用中文搜PubMed

大模型驱动的PubMed中文搜索引擎

马上搜索

文档翻译

学术文献翻译模型,支持多种主流文档格式。

立即体验