Suppr超能文献

乳腺癌患者亚临床和临床多器官功能衰竭功能障碍的预测——使用人工智能工具的综述

Prediction of Subclinical and Clinical Multiple Organ Failure Dysfunction in Breast Cancer Patients-A Review Using AI Tools.

作者信息

Ionescu Miron Andreea-Iuliana, Atasiei Dimitrie-Ionut, Ionescu Radu-Tudor, Ultimescu Flavia, Barnonschi Andrei-Alexandru, Anghel Alexandra-Valentina, Anghel Cătălin-Alexandru, Antone-Iordache Ionuț-Lucian, Mitre Ruxandra, Bobolocu Alexandra Maria, Zamfir Andreea, Lișcu Horia-Dan, Coniac Simona, Șandru Florica

机构信息

Department of Oncological Radiotherapy and Medical Imaging, "Carol Davila" University of Medicine and Pharmacy, 020021 Bucharest, Romania.

Department of Medical Oncology, Colțea Clinical Hospital, 030167 Bucharest, Romania.

出版信息

Cancers (Basel). 2024 Jan 16;16(2):0. doi: 10.3390/cancers16020381.

Abstract

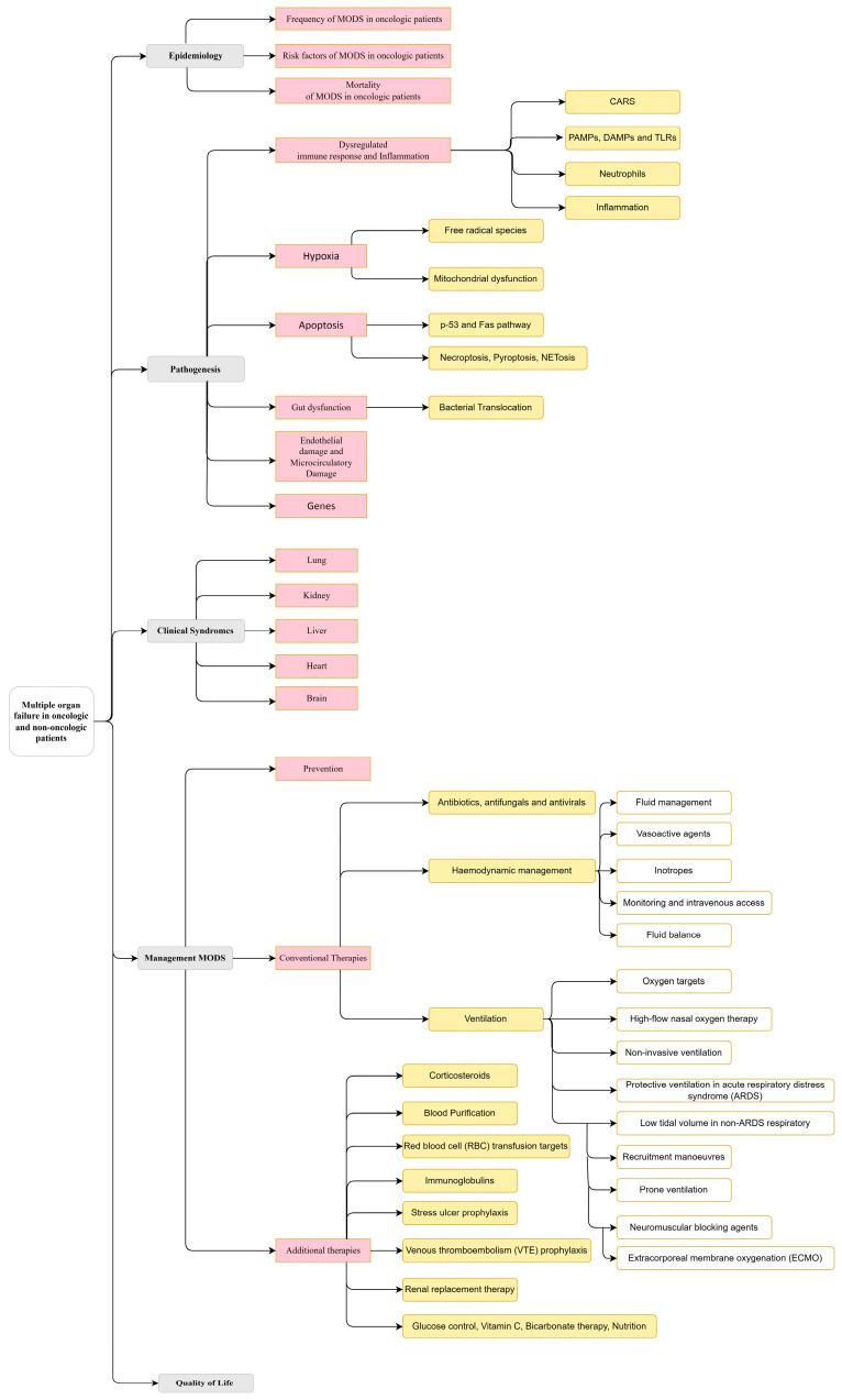
This review explores the interconnection between precursor lesions of breast cancer (typical ductal hyperplasia, atypical ductal/lobular hyperplasia) and the subclinical of multiple organ failure syndrome, both representing early stages marked by alterations preceding clinical symptoms, undetectable through conventional diagnostic methods. Addressing the question "Why patients with breast cancer exhibit a tendency to deteriorate", this study investigates the biological progression from a subclinical multiple organ failure syndrome, characterized by insidious but indisputable lesions, to an acute (clinical) state resembling a cascade akin to a waterfall or domino effect, often culminating in the patient's demise. A comprehensive literature search was conducted using PubMed, Google Scholar, and Scopus databases in October 2023, employing keywords such as "MODS", "SIRS", "sepsis", "pathophysiology of MODS", "MODS in cancer patients", "multiple organ failure", "risk factors", "cancer", "ICU", "quality of life", and "breast cancer". Supplementary references were extracted from the retrieved articles. This study emphasizes the importance of early identification and prevention of the multiple organ failure cascade at the inception of the malignant state, aiming to enhance the quality of life and extend survival. This pursuit contributes to a deeper understanding of risk factors and viable therapeutic options. Despite the existence of the subclinical multiple organ failure syndrome, current diagnostic methodologies remain inadequate, prompting consideration of AI as an increasingly crucial tool for early identification in the diagnostic process.

摘要

本综述探讨了乳腺癌的前驱病变(典型导管增生、非典型导管/小叶增生)与多器官功能衰竭综合征亚临床状态之间的相互联系,这两者均代表临床症状出现之前以改变为特征的早期阶段,通过传统诊断方法无法检测到。针对“为什么乳腺癌患者有病情恶化的倾向”这一问题,本研究调查了从隐匿但确凿的病变所表征的亚临床多器官功能衰竭综合征到类似瀑布或多米诺效应级联的急性(临床)状态的生物学进展,这种进展通常以患者死亡告终。2023年10月,使用PubMed、谷歌学术和Scopus数据库进行了全面的文献检索,使用了“MODS”、“SIRS”、“脓毒症”、“MODS的病理生理学”、“癌症患者中的MODS”、“多器官功能衰竭”、“危险因素”、“癌症”、“ICU”、“生活质量”和“乳腺癌”等关键词。从检索到的文章中提取了补充参考文献。本研究强调在恶性状态开始时早期识别和预防多器官功能衰竭级联的重要性,旨在提高生活质量和延长生存期。这一探索有助于更深入地了解危险因素和可行的治疗选择。尽管存在亚临床多器官功能衰竭综合征,但目前的诊断方法仍然不足,促使人们将人工智能视为诊断过程中早期识别越来越关键的工具。

https://cdn.ncbi.nlm.nih.gov/pmc/blobs/84a5/11154446/2abc4f7cfb60/cancers-16-00381-g001.jpg

文献AI研究员

20分钟写一篇综述,助力文献阅读效率提升50倍。

立即体验

用中文搜PubMed

大模型驱动的PubMed中文搜索引擎

马上搜索

文档翻译

学术文献翻译模型,支持多种主流文档格式。

立即体验