Suppr超能文献

新辅助治疗中断对局部晚期直肠癌患者生存的影响

The Impact on Survival of Neoadjuvant Treatment Interruptions in Locally Advanced Rectal Cancer Patients.

作者信息

Lișcu Horia-Dan, Antone-Iordache Ionut-Lucian, Atasiei Dimitrie-Ionuț, Anghel Ioana Valentina, Ilie Andreea-Teodora, Emamgholivand Taraneh, Ionescu Andreea-Iuliana, Șandru Florica, Pavel Christopher, Ultimescu Flavia

机构信息

Discipline of Oncological Radiotherapy and Medical Imaging, "Carol Davila" University of Medicine and Pharmacy, 050474 Bucharest, Romania.

Radiotherapy Department, Colțea Clinical Hospital, 030167 Bucharest, Romania.

出版信息

J Pers Med. 2024 Feb 29;14(3):266. doi: 10.3390/jpm14030266.

Abstract

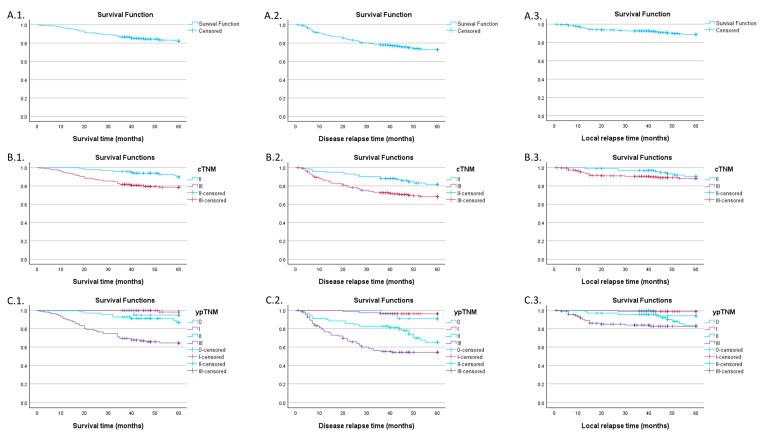
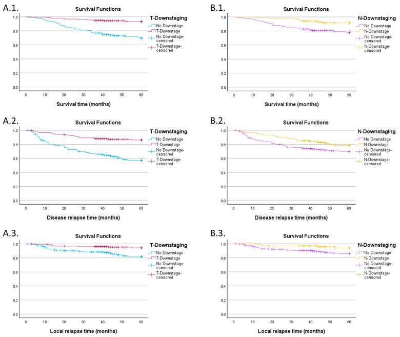
The standard oncologic treatment of locally advanced rectal cancer is long-course radio-chemotherapy followed by surgery and adjuvant chemotherapy. This can result in a lengthy total treatment duration, sometimes up to one year from the diagnosis. Interruptions to neoadjuvant treatment can occur for a variety of reasons, forced or unforced. The main purpose of this study is to analyze the survival data of locally advanced rectal cancer patients who received neoadjuvant treatment and to find a cut-off point showing exactly how many days of interruption of neoadjuvant treatment the risk of death or disease relapse increases. We conducted a retrospective study on 299 patients with locally advanced rectal cancer using survival analysis (Kaplan-Meier curve and Cox regression) to determine survival probabilities for overall survival, local control, and disease-free survival. Patients with 0 to 3 days of neoadjuvant therapy interruption had a higher overall survival probability compared to patients with 4 or more days (90.2% compared to 57.9%, -value < 0.001), hazard ratio 5.89 ( < 0.001). Local control and disease-free survival had a higher probability in patients with 0-2 days of interruption compared to people with 3 or more days (94% vs. 75.4%, and 82.2% vs. 50.5%, respectively, both -values < 0.001). Patients with tumoral or nodal downstaging experienced fewer days of interruption than patients with no downstage. These findings reinforce the need for radiation oncologists to be well-organized when starting neoadjuvant treatment for rectal cancer, in order to anticipate and prevent potential treatment interruptions and achieve the best therapeutic results.

摘要

局部晚期直肠癌的标准肿瘤治疗方法是长程放化疗,随后进行手术及辅助化疗。这可能导致总的治疗时间较长,有时从确诊起长达一年。新辅助治疗可能因各种原因出现中断,有被迫的也有非被迫的。本研究的主要目的是分析接受新辅助治疗的局部晚期直肠癌患者的生存数据,并找到一个切点,以确切显示新辅助治疗中断多少天会增加死亡或疾病复发风险。我们对299例局部晚期直肠癌患者进行了一项回顾性研究,采用生存分析(Kaplan-Meier曲线和Cox回归)来确定总生存、局部控制和无病生存的概率。新辅助治疗中断0至3天的患者与中断4天或更长时间的患者相比,总生存概率更高(分别为90.2%和57.9%,P值<0.001),风险比为5.89(P<0.001)。与中断3天或更长时间的患者相比,中断0至2天的患者局部控制和无病生存概率更高(分别为94%对75.4%,以及82.2%对50.5%,P值均<0.001)。肿瘤或淋巴结降期的患者中断天数少于未降期的患者。这些发现进一步强调,放射肿瘤学家在开始直肠癌新辅助治疗时需要做好组织安排,以便预测和预防潜在的治疗中断,并取得最佳治疗效果。

https://cdn.ncbi.nlm.nih.gov/pmc/blobs/c75f/10971105/3e2ac0210211/jpm-14-00266-g001.jpg

文献AI研究员

20分钟写一篇综述,助力文献阅读效率提升50倍。

立即体验

用中文搜PubMed

大模型驱动的PubMed中文搜索引擎

马上搜索

文档翻译

学术文献翻译模型,支持多种主流文档格式。

立即体验