Suppr超能文献

载 C7-3 肽壳聚糖纳米粒对多重耐药菌的作用。

Effect of C7-3-Peptide-Loaded Chitosan Nanoparticles Against Multi-Drug-Resistant .

机构信息

Department of Pharmaceutics, College of Pharmacy, King Saud University, Riyadh, Saudi Arabia.

Department of Pharmacology and Toxicology, College of Pharmacy, King Saud University, Riyadh, Saudi Arabia.

出版信息

Int J Nanomedicine. 2024 Jan 19;19:609-631. doi: 10.2147/IJN.S445737. eCollection 2024.

Abstract

INTRODUCTION

The emergence of -resistant strains represents one of the most urgent global threats. In this regard, C7-3 peptide is one of the anti-virulence therapies that has demonstrated promising anti-gonococcal activity. Accordingly, this research aimed to formulate C7-3 peptide and its derivatives in chitosan nanoparticles.

METHODS

The peptide loaded chitosan nanoparticles were prepared using ion gelation method, and their physicochemical characteristics were investigated. The anti-gonococcal and antibiofilm activity of prepared NPs was assessed, and their cytotoxicity in human ovarian cells was evaluated.

RESULTS

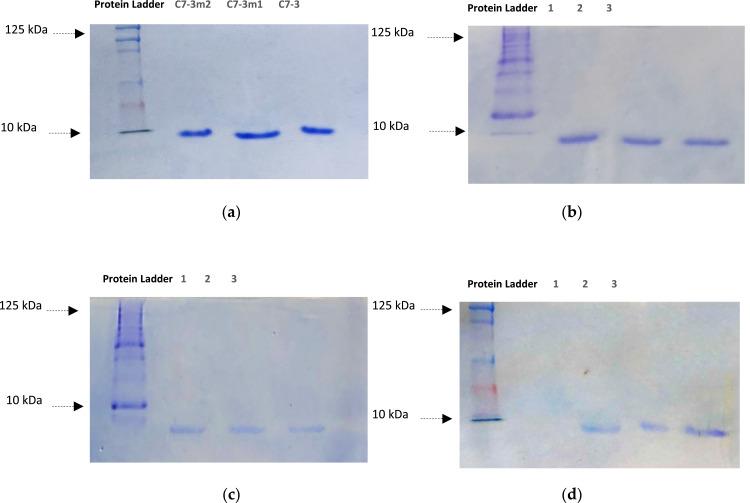
All prepared NPs were optimized for the smallest particle size of 136.9 to 168.3 nm. The EE% of C7-3, C7-3m1, and C7-3m2 CNPs reached 90.2, 92.5, and 91.8%, respectively. An in vitro release study demonstrated a continuous sustained-release pattern of C7-3 peptide from NPs. The SDS-PAGE assay confirmed the integrity of C7-3 peptide after the fabrication process. When comparing each peptide alone, the generated NPs demonstrated higher anti-gonococcal and anti-biofilm effectiveness against standard and resistant bacterial strains under anaerobic conditions. The cytotoxicity experiments revealed the cytocompatibility of NPs in HeLa cell lines. Given the advantages of enhanced anti-gonococcal activity of the C7-3 peptide and its derivatives when loaded with CNPs, as well as the antimicrobial properties of chitosan NPs, the reported NPs have great potential in the treatment of gonococcal infection.

摘要

简介

耐药菌株的出现是全球最紧迫的威胁之一。在这方面,C7-3 肽是一种抗毒力治疗方法,已显示出有希望的抗淋病奈瑟菌活性。因此,本研究旨在将 C7-3 肽及其衍生物制成壳聚糖纳米粒。

方法

采用离子凝胶法制备载肽壳聚糖纳米粒,并对其理化性质进行研究。评价了制备的 NP 的抗淋球菌和抗生物膜活性,并评估了其在人卵巢细胞中的细胞毒性。

结果

所有制备的 NP 的粒径均优化为 136.9 至 168.3nm 的最小粒径。C7-3、C7-3m1 和 C7-3m2 CNPs 的 EE%分别达到 90.2%、92.5%和 91.8%。体外释放研究表明 C7-3 肽从 NPs 中呈持续缓释模式。SDS-PAGE 分析证实 C7-3 肽在制备过程后保持完整。当比较每种肽单独使用时,生成的 NPs 在厌氧条件下对标准和耐药细菌株显示出更高的抗淋球菌和抗生物膜效果。细胞毒性实验表明 NPs 在 HeLa 细胞系中具有细胞相容性。鉴于 C7-3 肽及其衍生物在负载 CNPs 时增强的抗淋球菌活性以及壳聚糖 NPs 的抗菌特性,所报道的 NPs 在治疗淋病感染方面具有很大的潜力。

https://cdn.ncbi.nlm.nih.gov/pmc/blobs/cb77/10804975/6da504b37708/IJN-19-609-g0001.jpg

文献AI研究员

20分钟写一篇综述,助力文献阅读效率提升50倍。

立即体验

用中文搜PubMed

大模型驱动的PubMed中文搜索引擎

马上搜索

文档翻译

学术文献翻译模型,支持多种主流文档格式。

立即体验