Suppr超能文献

相关性支持-间质细胞瘤和横纹肌肉瘤:一种临床病程和治疗具有挑战性的进展性疾病:病例报告

-related Sertoli-Leydig cell tumor and rhabdomyosarcoma: An evolving disease with a challenging clinical course and treatment: A case report.

作者信息

Shero Nora, Dhir Aditi, Bejarano Pablo, Rhode Sara, Goicocechea Joel Cardenas

机构信息

Medical University of the Americas, Devens, MA 01434, United States of America.

Department of Pediatric Hematology/Oncology, University of Miami Leonard M. Miller School of Medicine, Miami, FL 33136, United States of America.

出版信息

Case Rep Womens Health. 2024 Jan 6;41:e00580. doi: 10.1016/j.crwh.2024.e00580. eCollection 2024 Mar.

Abstract

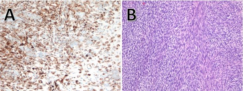
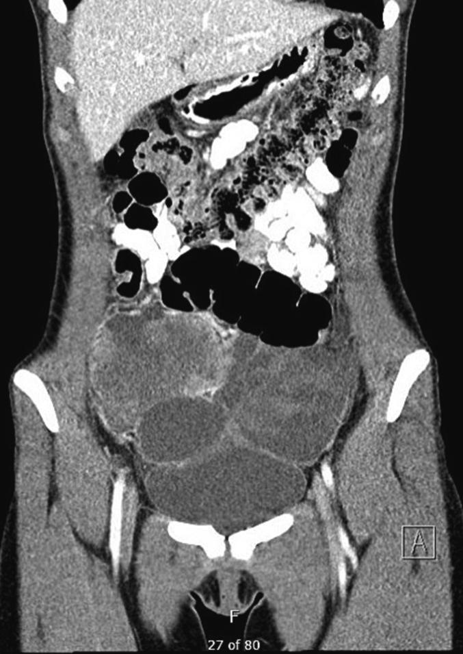
syndrome is a rare genetic disorder predisposing young patients to multiple types of cancer. A 17-year-old woman with a history of mixed Sertoli-Leydig cell tumor and juvenile granulosa cell tumor of the left ovary at age 14 presented with a pelvic mass. She underwent fertility preservation cytoreductive surgery and the pathology showed high-grade sarcoma with rhabdomyosarcomatous differentiation. After the surgery, patient received one cycle of chemotherapy but her disease continued to progress. She therefore underwent total hysterectomy, right salpingo-oophorectomy and hyperthermic intraperitoneal chemotherapy followed by consolidation chemotherapy. Magnetic resonance imaging revealed no evidence of the disease before and after the completion of her chemotherapy. Genetic testing confirmed the pathogenic variant. However, she presented again with a recurrence of the disease 6 months later and ultimately died of the disease 11 months after the surgery. Our case demonstrates the challenging management of this rare disease in a young patient and the need for new and effective treatments.

摘要

该综合征是一种罕见的遗传性疾病,易使年轻患者患多种类型的癌症。一名17岁女性,14岁时曾患左卵巢混合性支持-间质细胞瘤和幼年型颗粒细胞瘤,现出现盆腔肿块。她接受了保留生育功能的减瘤手术,病理显示为高级别肉瘤,伴有横纹肌肉瘤分化。手术后,患者接受了一个周期的化疗,但疾病仍继续进展。因此,她接受了全子宫切除术、右侧输卵管卵巢切除术和热灌注化疗,随后进行巩固化疗。磁共振成像显示化疗完成前后均无疾病证据。基因检测证实了致病变异。然而,6个月后她疾病再次复发,最终在手术后11个月死于该疾病。我们的病例表明了在年轻患者中管理这种罕见疾病具有挑战性,并且需要新的有效治疗方法。

https://cdn.ncbi.nlm.nih.gov/pmc/blobs/f4a3/10821528/de1128f9c2b0/gr1.jpg

文献AI研究员

20分钟写一篇综述,助力文献阅读效率提升50倍。

立即体验

用中文搜PubMed

大模型驱动的PubMed中文搜索引擎

马上搜索

文档翻译

学术文献翻译模型,支持多种主流文档格式。

立即体验