Suppr超能文献

槲皮素和儿茶素同时与FOXO3结合可增强IKKα转录抑制作用,并抑制大鼠氧化应激诱导的急性酒精性肝损伤。

Simultaneous binding of quercetin and catechin to FOXO3 enhances IKKα transcription inhibition and suppression of oxidative stress-induced acute alcoholic liver injury in rats.

作者信息

Guan Hui, Zhang Wenyuan, Liu Hui, Jiang Yang, Li Feng, Wang Dan, Liu Yang, He Fatao, Wu Maoyu, Ivan Neil Waterhouse Geoffrey, Sun-Waterhouse Dongxiao, Li Dapeng

机构信息

College of Food Science and Engineering, Shandong Agricultural University, Key Laboratory of Food Processing Technology and Quality Control of Shandong Higher Education Institutes, 61 Dai Zong Street, Tai'an 271018, Shandong, People's Republic of China.

College of Life Sciences, Shandong Agricultural University, State Key Laboratory of Crop Biology, Shandong Key Laboratory of Crop Biology, 61 Dai Zong Street, Tai'an 271018, Shandong, People's Republic of China.

出版信息

J Adv Res. 2025 Jan;67:71-92. doi: 10.1016/j.jare.2024.01.030. Epub 2024 Jan 28.

Abstract

INTRODUCTION

Oxidative stress is one of the major contributors to acute alcoholic liver injury (AALI), which is a common alcoholic liver disease. Quercetin and catechin are flavonoid antioxidants present in plant foods and possess chemopreventive and chemotherapeutic activities. Quercetin and catechin are often included in the same meal and ingested together. While they show cooperative actions against oxidative damage, the underlying mechanisms behind their counteracting effects against oxidative stress-induced AALI remain poorly understood.

OBJECTIVES

The aim of this study was to understand the mechanism underlying the enhanced antioxidant effect of quercetin-catechin combination to alleviate AALI in rats.

METHODS

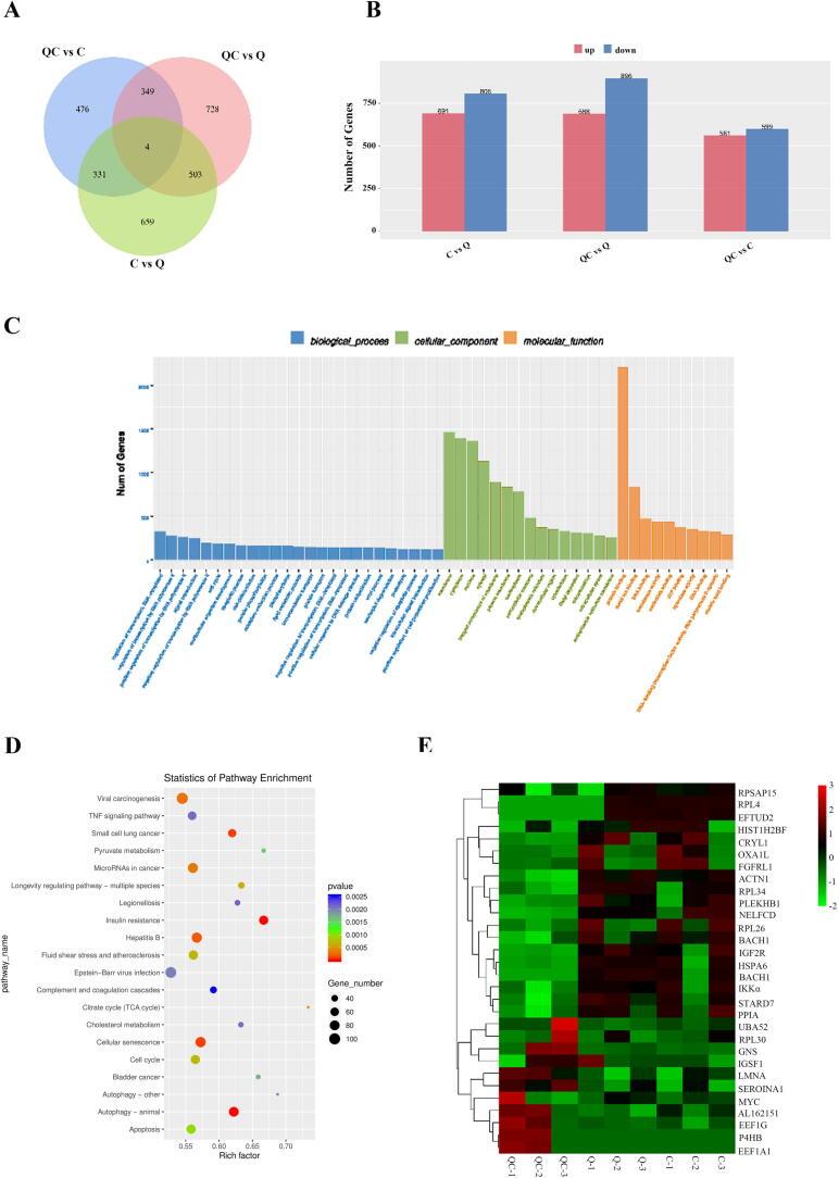
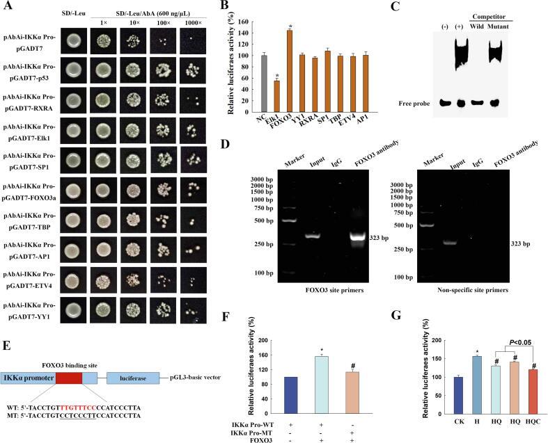
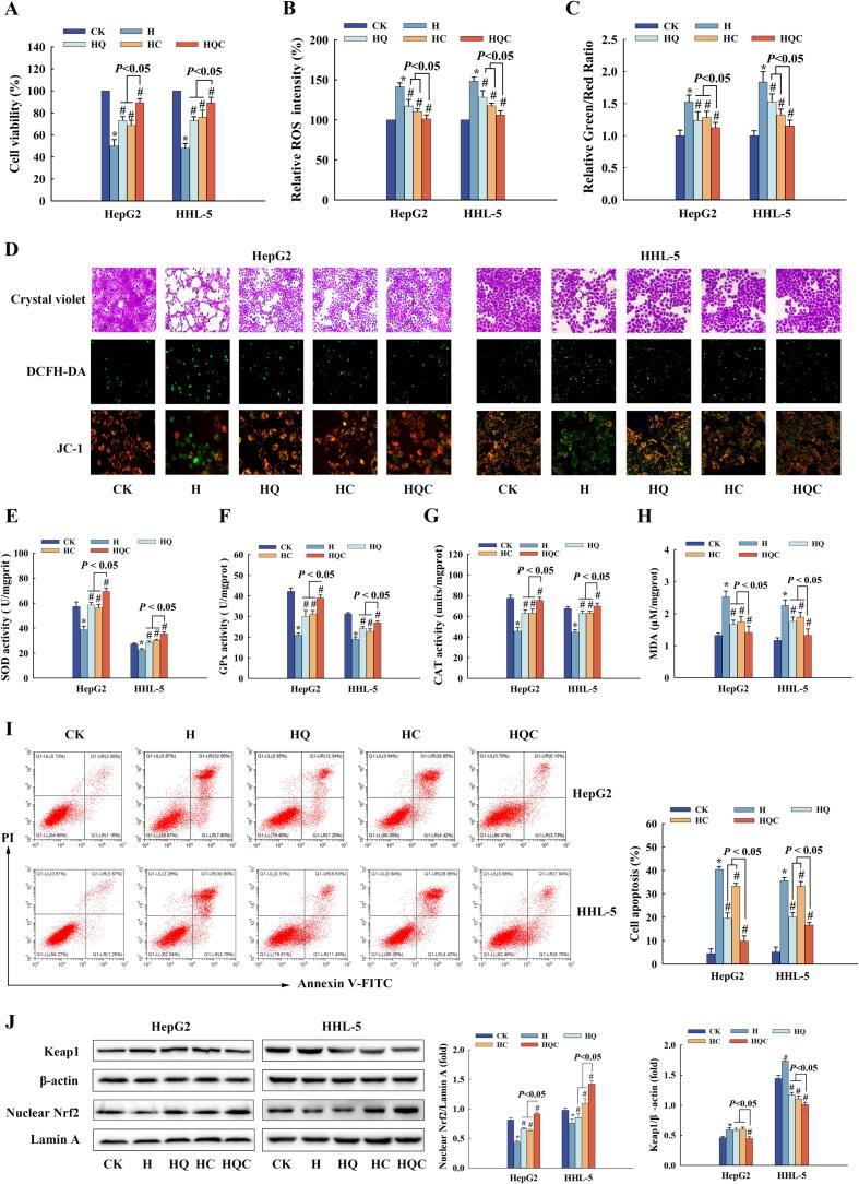
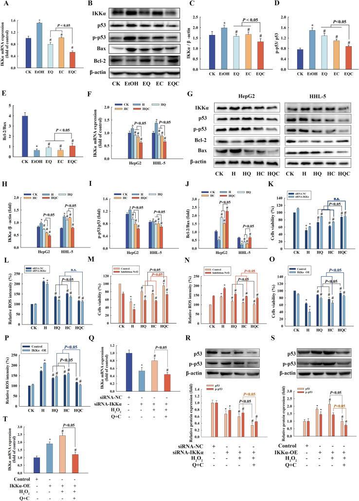
The ethanol (EtOH)-treated rats and HO-treated liver cells were used to demonstrate the enhanced antioxidant effect of quercetin and catechin. Then we used RNA-sequencing to compare quercetin alone, catechin alone and quercetin-catechin combination and then identified the critical role of IKKα combining with gene silencing and overexpression techniques. Its transcription factor, FOXO3 was found through yeast one-hybrid assay, luciferase reporter assay, EMSA and ChIP assay. Finally, the interaction between quercetin, catechin and FOXO3 was verified through molecular docking, UV-Vis absorption spectroscopy, fluorescence spectroscopy, and CD spectroscopy.

RESULTS

The study demonstrated the enhanced antioxidant effect of a quercetin-catechin combination in EtOH-treated rats and in HO-treated liver cells. Quercetin and catechin cooperatively inhibited IKKα/p53 pathway and activated Nrf2 signaling pathway. IKKα was a critical negative regulator in their joint action. FOXO3 bound to IKKα promoter to regulate IKKα transcription. Quercetin and catechin influenced FOXO3-IKKα binding through attaching directly to FOXO3 at different sites and altering FOXO3's secondary structures.

CONCLUSION

Our study revealed the mechanism of quercetin and catechin against oxidative stress-induced AALI through jointly interacting with transcription factor. This research opens new vistas for examining the joint effect of therapeutics towards functional proteins and confirms the chemopreventive effects of multiple flavonoids via co-regulation.

摘要

引言

氧化应激是急性酒精性肝损伤(AALI)的主要促成因素之一,AALI是一种常见的酒精性肝病。槲皮素和儿茶素是植物性食物中含有的类黄酮抗氧化剂,具有化学预防和化学治疗活性。槲皮素和儿茶素常包含在同一餐中并一起摄入。虽然它们对氧化损伤具有协同作用,但它们对抗氧化应激诱导的AALI的抵消作用背后的潜在机制仍知之甚少。

目的

本研究的目的是了解槲皮素 - 儿茶素组合增强抗氧化作用以减轻大鼠AALI的潜在机制。

方法

用乙醇(EtOH)处理的大鼠和HO处理的肝细胞来证明槲皮素和儿茶素增强的抗氧化作用。然后我们使用RNA测序比较单独的槲皮素、单独的儿茶素和槲皮素 - 儿茶素组合,然后结合基因沉默和过表达技术确定IKKα的关键作用。通过酵母单杂交试验、荧光素酶报告基因试验、电泳迁移率变动分析(EMSA)和染色质免疫沉淀试验(ChIP)发现其转录因子FOXO3。最后,通过分子对接、紫外可见吸收光谱、荧光光谱和圆二色光谱验证槲皮素、儿茶素与FOXO3之间的相互作用。

结果

该研究证明了槲皮素 - 儿茶素组合在EtOH处理的大鼠和HO处理的肝细胞中增强的抗氧化作用。槲皮素和儿茶素协同抑制IKKα/p53途径并激活Nrf2信号通路。IKKα是它们联合作用中的关键负调节因子。FOXO3与IKKα启动子结合以调节IKKα转录。槲皮素和儿茶素通过在不同位点直接附着于FOXO3并改变FOXO3的二级结构来影响FOXO3 - IKKα结合。

结论

我们的研究揭示了槲皮素和儿茶素通过与转录因子共同相互作用来对抗氧化应激诱导的AALI的机制。这项研究为研究治疗剂对功能蛋白的联合作用开辟了新视野,并通过共同调节证实了多种类黄酮的化学预防作用。

https://cdn.ncbi.nlm.nih.gov/pmc/blobs/536d/11725110/8bc07d1f8395/ga1.jpg

文献AI研究员

20分钟写一篇综述,助力文献阅读效率提升50倍。

立即体验

用中文搜PubMed

大模型驱动的PubMed中文搜索引擎

马上搜索

文档翻译

学术文献翻译模型,支持多种主流文档格式。

立即体验