Suppr超能文献

CRISPR/Cas9介导的Y染色体消除影响人类细胞转录组。

CRISPR/Cas9 mediated Y-chromosome elimination affects human cells transcriptome.

作者信息

Celli Ludovica, Gasparini Patrizia, Biino Ginevra, Zannini Laura, Cardano Miriana

机构信息

Istituto di Genetica Molecolare "Luigi Luca Cavalli-Sforza", CNR, 27100, Pavia, Italy.

Institute for Biomedical Technologies, National Research Council, Via Fratelli Cervi 93, 20054, Segrate, Italy.

出版信息

Cell Biosci. 2024 Jan 30;14(1):15. doi: 10.1186/s13578-024-01198-5.

Abstract

BACKGROUND

Sexual dimorphism represents a key concept in the comprehension of molecular processes guiding several sex-specific physiological and pathological mechanisms. It has been reported that genes involved in many disorders show a sex-dependent expression pattern. Moreover, the loss of Y chromosome (LOY), found to be a physiological age-driven phenomenon, has been linked to many neurodegenerative and autoimmune disorders, and to an increased cancer risk. These findings drove us towards the consideration that LOY may cause the de-regulation of disease specific networks, involving genes located in both autosomal and sex chromosomes.

RESULTS

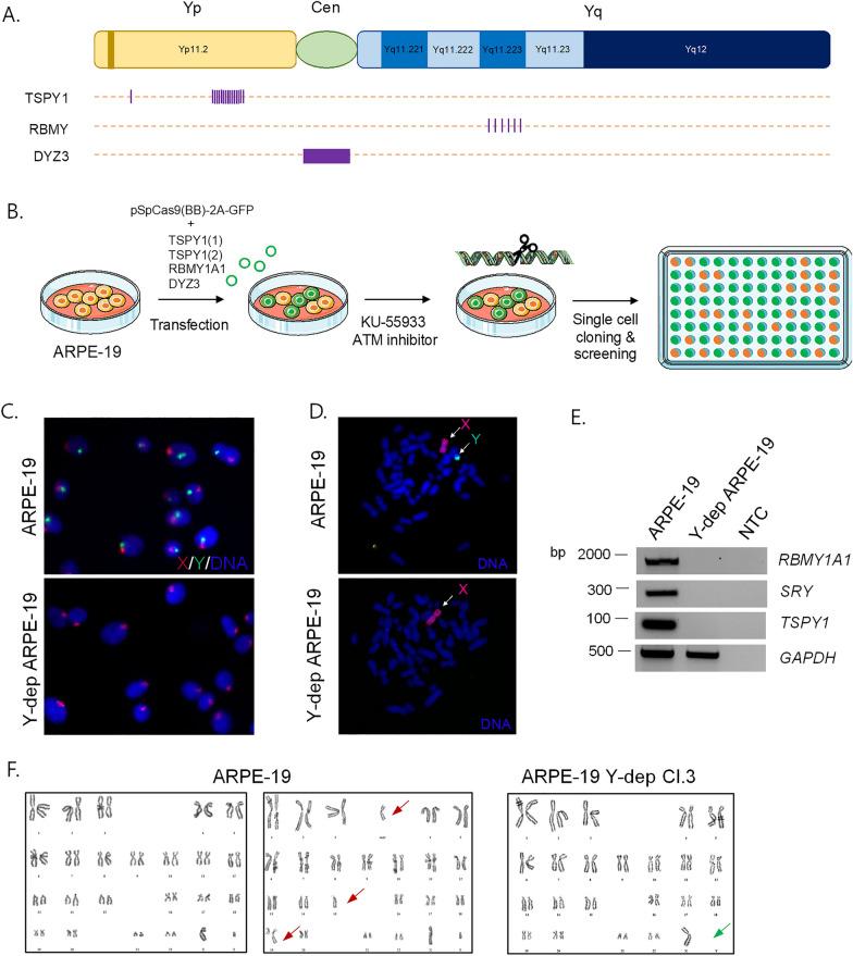
Exploiting the CRISPR/Cas9 and RNA-sequencing technologies, we generated a Y-deficient human cell line that has been investigated for its gene expression profile. Our results showed that LOY can influence the transcriptome displaying relevant enriched biological processes, such as cell migration regulation, angiogenesis and immune response. Interestingly, the ovarian follicle development pathway was found enriched, supporting the female-mimicking profile of male Y-depleted cells.

CONCLUSION

This study, besides proposing a novel approach to investigate sex-biased physiological and pathological conditions, highlights new roles for the Y chromosome in the sexual dimorphism characterizing human health and diseases. Moreover, this analysis paves the way for the research of new therapeutic approaches for sex dimorphic and LOY-related diseases.

摘要

背景

性二态性是理解指导多种性别特异性生理和病理机制的分子过程的关键概念。据报道,许多疾病相关基因呈现出性别依赖性表达模式。此外,Y染色体缺失(LOY)是一种由生理年龄驱动的现象,与多种神经退行性疾病和自身免疫性疾病以及癌症风险增加有关。这些发现促使我们思考LOY可能导致疾病特异性网络失调,涉及常染色体和性染色体上的基因。

结果

利用CRISPR/Cas9和RNA测序技术,我们构建了一个Y染色体缺失的人类细胞系,并对其基因表达谱进行了研究。我们的结果表明,LOY能够影响转录组,显示出相关的富集生物过程,如细胞迁移调控、血管生成和免疫反应。有趣的是,发现卵巢卵泡发育途径富集,这支持了雄性Y染色体缺失细胞的女性化特征。

结论

本研究除了提出一种研究性别偏向性生理和病理状况的新方法外,还突出了Y染色体在表征人类健康和疾病的性二态性中的新作用。此外,该分析为研究性二态性和LOY相关疾病的新治疗方法铺平了道路。

https://cdn.ncbi.nlm.nih.gov/pmc/blobs/9d0f/10829266/44bf76a03485/13578_2024_1198_Fig1_HTML.jpg

文献AI研究员

20分钟写一篇综述,助力文献阅读效率提升50倍。

立即体验

用中文搜PubMed

大模型驱动的PubMed中文搜索引擎

马上搜索

文档翻译

学术文献翻译模型,支持多种主流文档格式。

立即体验