Suppr超能文献

孕期暴露于双酚A会导致成年雌性子代大鼠子宫内DNA甲基化水平降低以及孕激素受体表达上调。

Gestational Exposure to Bisphenol A Causes DNA Hypomethylation and the Upregulation of Progesterone Receptor Expression in the Uterus in Adult Female Offspring Rats.

作者信息

Lee Seung Gee, Park Ji-Eun, Cheon Yong-Pil, Kim Jong-Min

机构信息

Department of Anatomy and Cell Biology, College of Medicine, Dong-A University, Busan 49201, Korea.

Division of Developmental Biology and Physiology, Department of Biotechnology, Sungshin University, Seoul 02844, Korea.

出版信息

Dev Reprod. 2023 Dec;27(4):195-203. doi: 10.12717/DR.2023.27.4.195. Epub 2023 Dec 31.

Abstract

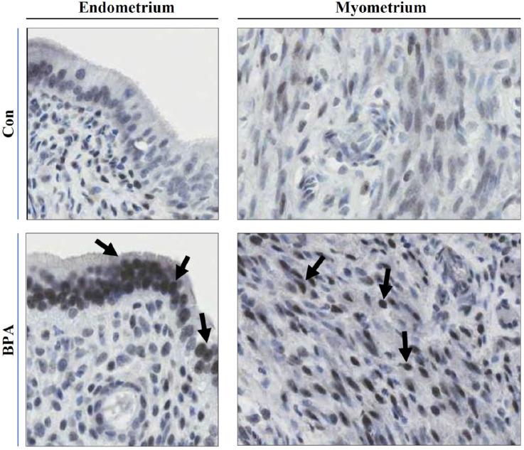
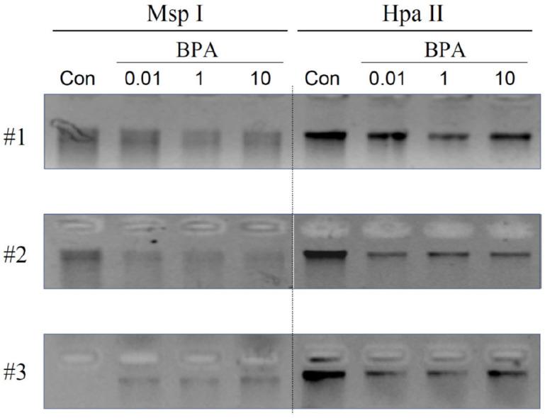
Exposure to environmental chemicals, including endocrine-disrupting chemicals, during the gestational period can have profound adverse effects on several organs in offspring. Bisphenol A (BPA) can infiltrate the human body through food and drinks, and its metabolites can cross both the placental and the blood-brain barriers. In this study, we investigate the effect of gestational exposure to BPA on epigenetic, biochemical, and histological modifications in the uterine tissues of F1 adult offspring rats. Pregnant rats were exposed to BPA from gestational day 8-15, and changes in global DNA methylation in uterine tissues obtained from adult offspring born to the exposed mothers were analyzed. Global DNA methylation analysis revealed that gestational exposure to BPA resulted in DNA hypomethylation in the uterus. Progesterone receptor (PR) protein expression in uterine tissues was monitored using western blot analysis, which revealed that the PR protein content was considerably higher in all BPA-exposed groups than in the control. Immunohistochemical examination for the PR revealed that intense PR-positive cells were more frequently observed in the BPA-exposed group than in the control group. To date, the evidence that the upregulation of PRs observed in the present study was caused by the non-methylation of specific PR promoter regions is lacking. Conclusively, these results indicate that exposure to BPA during gestation induces epigenetic alterations in the uteri of adult female offspring. We speculate that the global DNA hypomethylation and upregulation of the PR observed simultaneously in this study might be associated with the uterus.

摘要

孕期接触包括内分泌干扰化学物质在内的环境化学物质,可能会对后代的多个器官产生深远的不利影响。双酚A(BPA)可通过食物和饮料进入人体,其代谢产物能够穿过胎盘和血脑屏障。在本研究中,我们调查了孕期接触双酚A对F1成年子代大鼠子宫组织表观遗传学、生物化学和组织学改变的影响。怀孕大鼠在妊娠第8至15天接触双酚A,并对暴露组母亲所生成年子代的子宫组织中整体DNA甲基化的变化进行了分析。整体DNA甲基化分析显示,孕期接触双酚A导致子宫内DNA低甲基化。使用蛋白质免疫印迹分析监测子宫组织中孕酮受体(PR)蛋白的表达,结果显示,所有双酚A暴露组中的PR蛋白含量均显著高于对照组。对PR进行免疫组织化学检查发现,与对照组相比,双酚A暴露组中PR强阳性细胞的出现频率更高。迄今为止,尚无证据表明本研究中观察到的PR上调是由特定PR启动子区域的非甲基化引起的。总之,这些结果表明孕期接触双酚A会诱导成年雌性子代子宫发生表观遗传改变。我们推测,本研究中同时观察到的整体DNA低甲基化和PR上调可能与子宫有关。

https://cdn.ncbi.nlm.nih.gov/pmc/blobs/7fc2/10824565/400bf9be3e1d/dr-27-4-195-g1.jpg

文献AI研究员

20分钟写一篇综述,助力文献阅读效率提升50倍。

立即体验

用中文搜PubMed

大模型驱动的PubMed中文搜索引擎

马上搜索

文档翻译

学术文献翻译模型,支持多种主流文档格式。

立即体验