Suppr超能文献

同步恶性腹膜间皮瘤和乙状结肠腺癌:具有挑战性的临床实体。

Synchronous Malignant Peritoneal Mesothelioma and Sigmoid Adenocarcinoma: a Challenging Clinical Entity.

机构信息

Department of Surgery, King Fahd University Hospital, Imam Abdulrahman Bin Faisal University, Saudi Arabia.

Department of Pathology and Laboratory Medicine, Imam Abdulrahman Bin Faisal University, Saudi Arabia.

出版信息

Med Arch. 2023;77(5):400-404. doi: 10.5455/medarh.2023.77.400-404.

Abstract

BACKGROUND

Malignant peritoneal mesothelioma (MPM) represents a rare clinical entity. The synchronous existence of MPM with other malignancies as colonic adenocarcinoma have been rarely reported. Its diagnosis and management are challenging given its complexity and rarity.

OBJECTIVE

Herein, we report a case of epithelioid subtype of MPM occurring synchronously with sigmoid colonic adenocarcinoma, along with review of the literature.

CASE PRESENTATION

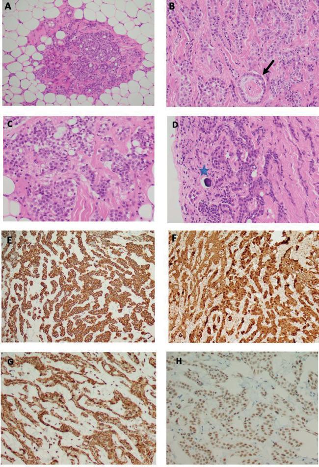
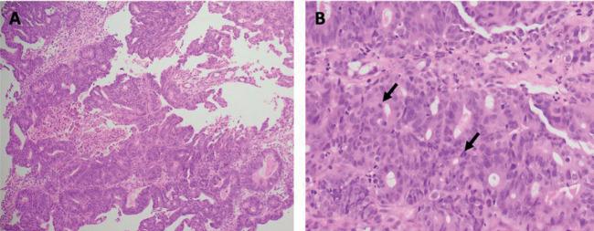
An elderly female patient was referred as case of rectosigmoid mass. She reported history of abdominal pain, per-rectal bleeding, anorexia, and significant weight loss. Her computed-tomography scan of the abdomen revealed a fistulizing sigmoid mass and multiple enlarged lymphnodes with omental nodulation. The colonoscopy revealed a large fungating mass and the endoscopic biopsies were reported as colonic adenocarcinoma. The patient was scheduled laparoscopic low anterior resection. However, the diagnostic laparoscopy revealed several nodules disseminated all over the peritoneum, suggestive of peritoneal mesothelioma. Therefore, the decision was changed to create transverse colostomy after examination obtaining multiple biopsies from the omental and peritoneal nodules. The histopathological revealed MPM and the final diagnosis was sigmoid adenocarcinoma with synchronous MPM. The patient was started on palliative chemotherapy (capecitabine) without active management of MPM because of her general condition. She was followed up with a good clinical course.

CONCLUSION

MPM is an overlooked entity with vague clinical presentation. Synchronous MPM with colorectal cancer is rare with only few published case reports. Its diagnosis is challenging, and its management should be tailored according to the patient. This case is the first reported case in Saudi Arabia and the Middle East.

摘要

背景

恶性腹膜间皮瘤(MPM)是一种罕见的临床实体。MPM 与结肠腺癌等其他恶性肿瘤同时存在的情况很少见报道。由于其复杂性和罕见性,其诊断和管理具有挑战性。

目的

本文报告了一例同时发生的上皮样亚型 MPM 和乙状结肠腺癌病例,并对文献进行了回顾。

病例介绍

一名老年女性患者因直肠乙状结肠肿块就诊。她有腹痛、直肠出血、食欲不振和明显体重减轻的病史。她的腹部 CT 扫描显示有瘘管形成的乙状结肠肿块和多个增大的淋巴结伴网膜小结节。结肠镜检查显示有一个大的蕈状肿块,内镜活检报告为结肠腺癌。患者计划行腹腔镜低位前切除术。然而,诊断性腹腔镜检查显示整个腹膜上有多个散在的结节,提示腹膜间皮瘤。因此,在对网膜和腹膜结节进行多次活检后,决定改为横结肠造口术。组织病理学显示 MPM,最终诊断为乙状结肠癌伴同步 MPM。患者开始接受姑息性化疗(卡培他滨),但未积极治疗 MPM,因为她的一般情况较差。她的临床过程良好。

结论

MPM 是一种临床表现模糊的被忽视实体。同时发生的 MPM 与结直肠癌很少见,仅有少数已发表的病例报告。其诊断具有挑战性,其管理应根据患者情况量身定制。这是在沙特阿拉伯和中东地区首次报道的病例。

https://cdn.ncbi.nlm.nih.gov/pmc/blobs/b979/10825740/e146ae3bf7f9/medarch-77-400-g001.jpg

文献AI研究员

20分钟写一篇综述,助力文献阅读效率提升50倍。

立即体验

用中文搜PubMed

大模型驱动的PubMed中文搜索引擎

马上搜索

文档翻译

学术文献翻译模型,支持多种主流文档格式。

立即体验