Suppr超能文献

高强度聚焦超声驱动纳米马达用于三阴性乳腺癌的有效铁死亡免疫治疗。

High Intensity Focused Ultrasound-Driven Nanomotor for Effective Ferroptosis-Immunotherapy of TNBC.

机构信息

Guangdong Provincial Key Laboratory of Tumor Interventional Diagnosis and Treatment Zhuhai People's Hospital (Zhuhai Hospital Affiliated with Jinan University), Zhuhai, Guangdong, 519000, P. R. China.

Key Laboratory of Smart Drug Delivery, School of Pharmacy, Fudan University, Shanghai, 201203, P.R. China.

出版信息

Adv Sci (Weinh). 2024 Apr;11(15):e2305546. doi: 10.1002/advs.202305546. Epub 2024 Feb 11.

Abstract

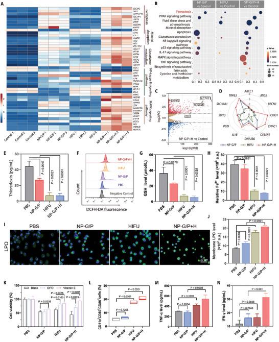
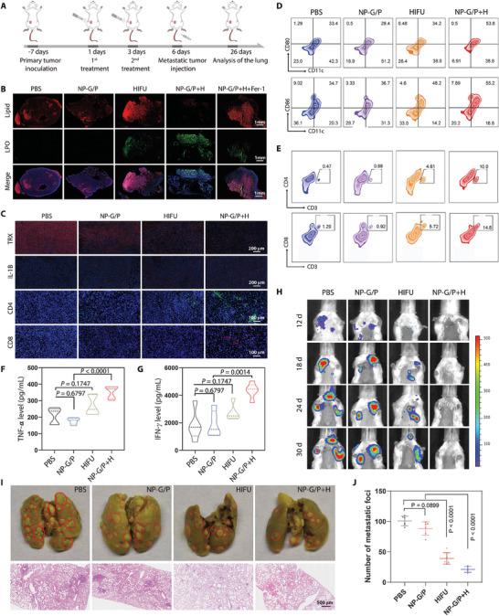
The heterogeneity of triple-negative breast cancers (TNBC) remains challenging for various treatments. Ferroptosis, a recently identified form of cell death resulting from the unrestrained peroxidation of phospholipids, represents a potential vulnerability in TNBC. In this study, a high intensity focused ultrasound (HIFU)-driven nanomotor is developed for effective therapy of TNBC through induction of ferroptosis. Through bioinformatics analysis of typical ferroptosis-associated genes in the FUSCCTNBC dataset, gambogic acid is identified as a promising ferroptosis drug and loaded it into the nanomotor. It is found that the rapid motion of nanomotors propelled by HIFU significantly enhanced tumor accumulation and penetration. More importantly, HIFU not only actuated nanomotors to trigger effective ferroptosis of TNBC cells, but also drove nanomotors to activate ferroptosis-mediated antitumor immunity in primary and metastatic TNBC models, resulting in effective tumor regression and prevention of metastases. Overall, HIFU-driven nanomotors show great potential for ferroptosis-immunotherapy of TNBC.

摘要

三阴性乳腺癌(TNBC)的异质性对各种治疗方法仍然具有挑战性。铁死亡是一种新发现的细胞死亡形式,源于磷脂的不受控制的过氧化,这代表了 TNBC 的一个潜在弱点。在这项研究中,开发了一种高强度聚焦超声(HIFU)驱动的纳米马达,通过诱导铁死亡来有效治疗 TNBC。通过对 FUSCCTNBC 数据集中原发性 TNBC 中典型的铁死亡相关基因进行生物信息学分析,鉴定出藤黄酸是一种很有前途的铁死亡药物,并将其装载到纳米马达中。结果发现,HIFU 驱动的纳米马达的快速运动显著增强了肿瘤的积累和穿透。更重要的是,HIFU 不仅激活了纳米马达,引发了 TNBC 细胞的有效铁死亡,而且还驱动了纳米马达,在原发性和转移性 TNBC 模型中激活了铁死亡介导的抗肿瘤免疫,从而有效抑制了肿瘤的进展和转移。总体而言,HIFU 驱动的纳米马达在 TNBC 的铁死亡免疫治疗方面具有很大的潜力。

https://cdn.ncbi.nlm.nih.gov/pmc/blobs/f430/11022700/4688f1de5088/ADVS-11-2305546-g001.jpg

文献AI研究员

20分钟写一篇综述,助力文献阅读效率提升50倍。

立即体验

用中文搜PubMed

大模型驱动的PubMed中文搜索引擎

马上搜索

文档翻译

学术文献翻译模型,支持多种主流文档格式。

立即体验