Suppr超能文献

TBK1 对 AGO2 的磷酸化促进 NSCLC 中致癌性 miRISC 的形成。

Phosphorylation of AGO2 by TBK1 Promotes the Formation of Oncogenic miRISC in NSCLC.

机构信息

Department of Biochemistry and Molecular Cell Biology, Shanghai Key Laboratory of Tumor Microenvironment and Inflammation, Shanghai Jiao Tong University School of Medicine, Shanghai, 200025, China.

Department of Thoracic Surgery, Ren Ji Hospital, Shanghai Jiao Tong University School of Medicine, Shanghai, 200120, China.

出版信息

Adv Sci (Weinh). 2024 Apr;11(15):e2305541. doi: 10.1002/advs.202305541. Epub 2024 Feb 13.

Abstract

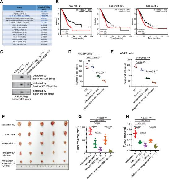
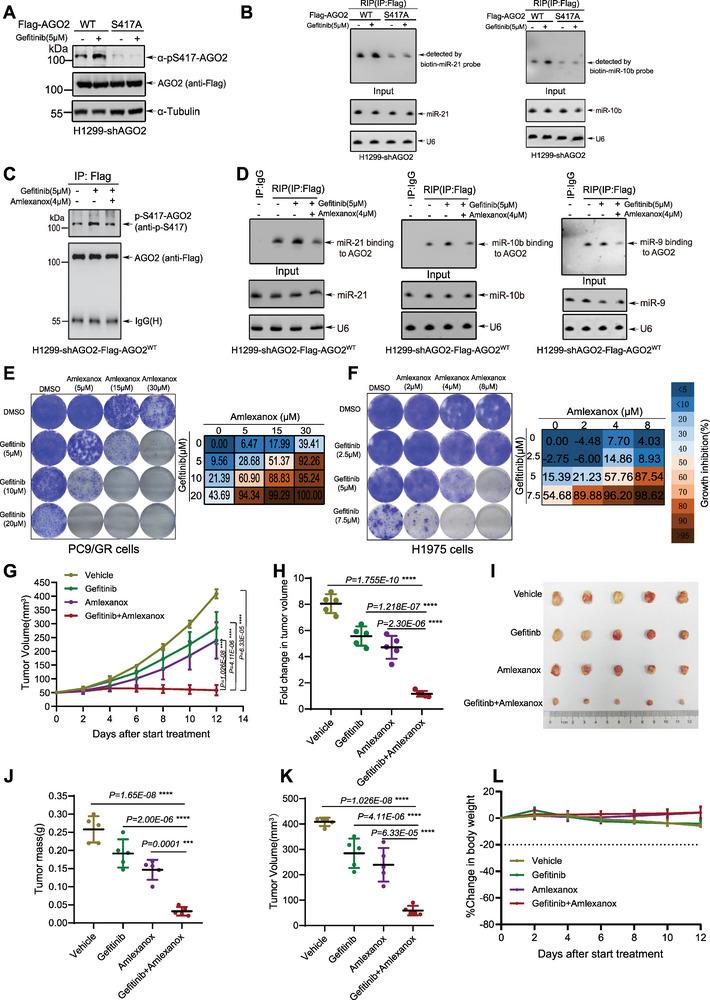
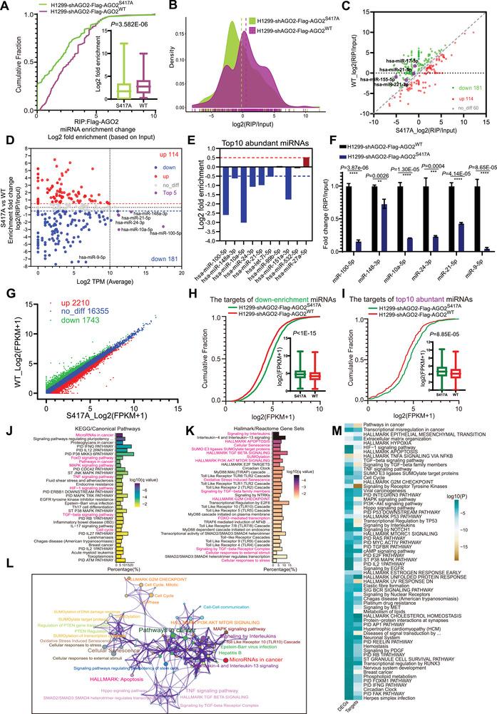
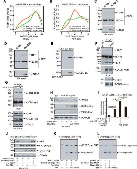
Non-small-cell lung cancer (NSCLC) is a highly lethal tumor that often develops resistance to targeted therapy. It is shown that Tank-binding kinase 1 (TBK1) phosphorylates AGO2 at S417 (pS417-AGO2), which promotes NSCLC progression by increasing the formation of microRNA-induced silencing complex (miRISC). High levels of pS417-AGO2 in clinical NSCLC specimens are positively associated with poor prognosis. Interestingly, the treatment with EGFR inhibitor Gefitinib can significantly induce pS417-AGO2, thereby increasing the formation and activity of oncogenic miRISC, which may contribute to NSCLC resistance to Gefitinib. Based on these, two therapeutic strategies is developed. One is jointly to antagonize multiple oncogenic miRNAs highly expressed in NSCLC and use TBK1 inhibitor Amlexanox reducing the formation of oncogenic miRISC. Another approach is to combine Gefitinib with Amlexanox to inhibit the progression of Gefitinib-resistant NSCLC. This findings reveal a novel mechanism of oncogenic miRISC regulation by TBK1-mediated pS417-AGO2 and suggest potential therapeutic approaches for NSCLC.

摘要

非小细胞肺癌(NSCLC)是一种高度致命的肿瘤,常对靶向治疗产生耐药性。研究表明,Tank 结合激酶 1(TBK1)在 S417 位点(pS417-AGO2)使 AGO2 磷酸化,通过增加 microRNA 诱导的沉默复合物(miRISC)的形成促进 NSCLC 进展。临床 NSCLC 标本中高 pS417-AGO2 水平与预后不良呈正相关。有趣的是,EGFR 抑制剂吉非替尼治疗可显著诱导 pS417-AGO2,从而增加致癌 miRISC 的形成和活性,这可能导致 NSCLC 对吉非替尼的耐药性。基于这些,开发了两种治疗策略。一种是联合拮抗 NSCLC 中高表达的多种致癌 miRNA,并使用 TBK1 抑制剂 Amlexanox 减少致癌 miRISC 的形成。另一种方法是将吉非替尼与 Amlexanox 联合使用,以抑制吉非替尼耐药性 NSCLC 的进展。这些发现揭示了 TBK1 介导的 pS417-AGO2 调节致癌 miRISC 的新机制,并为 NSCLC 提供了潜在的治疗方法。

https://cdn.ncbi.nlm.nih.gov/pmc/blobs/0651/11022703/1aa00ffb9cd4/ADVS-11-2305541-g003.jpg

文献AI研究员

20分钟写一篇综述,助力文献阅读效率提升50倍。

立即体验

用中文搜PubMed

大模型驱动的PubMed中文搜索引擎

马上搜索

文档翻译

学术文献翻译模型,支持多种主流文档格式。

立即体验