Suppr超能文献

环状 RNA KEAP1 编码的肿瘤抑制蛋白通过促进波形蛋白蛋白酶体降解和激活抗肿瘤免疫来抑制骨肉瘤细胞干性和转移。

A tumor suppressor protein encoded by circKEAP1 inhibits osteosarcoma cell stemness and metastasis by promoting vimentin proteasome degradation and activating anti-tumor immunity.

机构信息

Department of Radiotherapy, Cancer Hospital of Shantou University Medical College, No. 7 Raoping Road, Shantou, Guangdong, 515041, PR China.

Sports Medicine Center, First Affiliated Hospital of Shantou University Medical College, Shantou, 515041, China.

出版信息

J Exp Clin Cancer Res. 2024 Feb 21;43(1):52. doi: 10.1186/s13046-024-02971-7.

Abstract

BACKGROUND

Osteosarcoma (OS) is one of most commonly diagnosed bone cancer. Circular RNAs (circRNAs) are a class of highly stable non-coding RNA, the majority of which have not been characterized functionally. The underlying function and molecular mechanisms of circRNAs in OS have not been fully demonstrated.

METHOD

Microarray analysis was performed to identify circRNAs that are differentially-expressed between OS and corresponding normal tissues. The biological function of circKEAP1 was confirmed in vitro and in vivo. Mass spectrometry and western blot assays were used to identify the circKEAP1-encoded protein KEAP1-259aa. The molecular mechanism of circKEAP1 was investigated by RNA sequencing and RNA immunoprecipitation analyses.

RESULTS

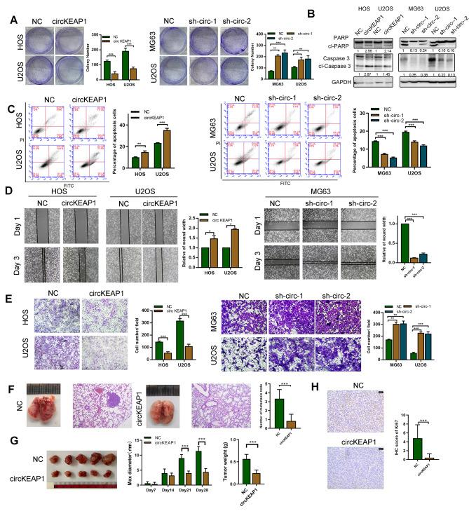
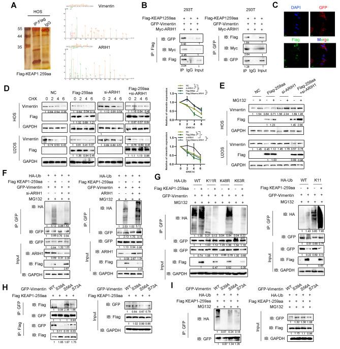
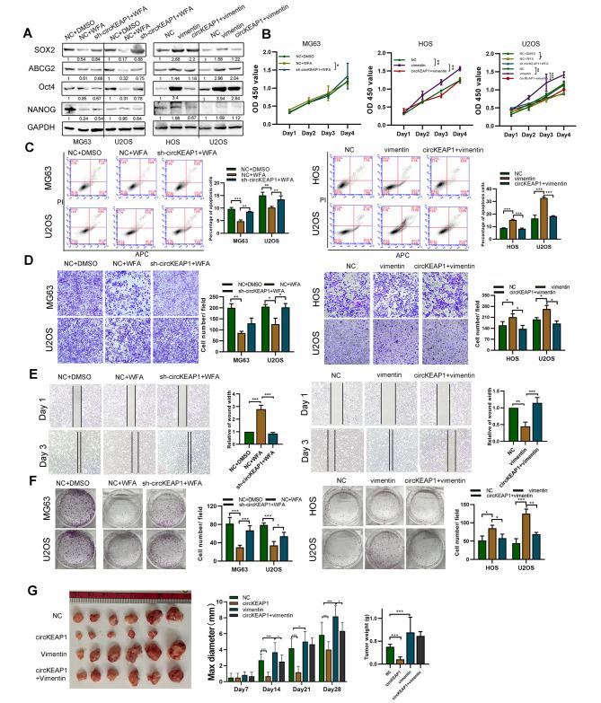
Here, we identified a tumor suppressor circKEAP1, originating from the back-splicing of exon2 of the KEAP1 gene. Clinically, circKEAP1 is downregulated in OS tumors and associated with better survival in cancer patients. N6-methyladenosine (m6A) at a specific adenosine leads to low expression of circKEAP1. Further analysis revealed that circKEAP1 contained a 777 nt long ORF and encoded a truncated protein KEAP1-259aa that reduces cell proliferation, invasion and tumorsphere formation of OS cells. Mechanistically, KEAP1-259aa bound to vimentin in the cytoplasm to promote vimentin proteasome degradation by interacting with the E3 ligase ARIH1. Moreover, circKEAP1 interacted with RIG-I to activate anti-tumor immunity via the IFN-γ pathway.

CONCLUSION

Taken together, our findings characterize a tumor suppressor circKEAP1 as a key tumor suppressor regulating of OS cell stemness, proliferation and migration, providing potential therapeutic targets for treatment of OS.

摘要

背景

骨肉瘤(OS)是最常见的骨癌之一。环状 RNA(circRNAs)是一类高度稳定的非编码 RNA,其中大多数的功能尚未得到充分表征。circRNAs 在 OS 中的潜在功能和分子机制尚未完全阐明。

方法

通过微阵列分析鉴定 OS 与相应正常组织之间差异表达的 circRNAs。在体外和体内验证 circKEAP1 的生物学功能。利用质谱和 Western blot 分析鉴定 circKEAP1 编码的蛋白 KEAP1-259aa。通过 RNA 测序和 RNA 免疫沉淀分析研究 circKEAP1 的分子机制。

结果

本研究鉴定出一种肿瘤抑制circKEAP1,来源于 KEAP1 基因外显子 2 的反向剪接。临床研究表明,circKEAP1 在 OS 肿瘤中下调,与癌症患者的生存预后较好相关。特定腺苷上的 N6-甲基腺苷(m6A)导致 circKEAP1 低表达。进一步分析表明,circKEAP1 含有一个 777nt 的开放阅读框,并编码一个截断蛋白 KEAP1-259aa,降低 OS 细胞的增殖、侵袭和肿瘤球形成能力。机制上,KEAP1-259aa 在细胞质中与波形蛋白结合,通过与 E3 连接酶 ARIH1 相互作用,促进波形蛋白蛋白酶体降解。此外,circKEAP1 与 RIG-I 相互作用,通过 IFN-γ 通路激活抗肿瘤免疫。

结论

总之,我们的研究结果表明,抑癌circKEAP1 作为一种关键的肿瘤抑制因子,调节 OS 细胞干性、增殖和迁移,为 OS 的治疗提供了潜在的治疗靶点。

https://cdn.ncbi.nlm.nih.gov/pmc/blobs/a234/10880370/d46c2d8af6dc/13046_2024_2971_Fig1_HTML.jpg

文献AI研究员

20分钟写一篇综述,助力文献阅读效率提升50倍。

立即体验

用中文搜PubMed

大模型驱动的PubMed中文搜索引擎

马上搜索

文档翻译

学术文献翻译模型,支持多种主流文档格式。

立即体验