Suppr超能文献

肝硬化细胞外基质通过在肝细胞癌中启动免疫抑制性中性粒细胞胞外陷阱形成来减弱αPD-1治疗反应。

Cirrhotic-extracellular matrix attenuates aPD-1 treatment response by initiating immunosuppressive neutrophil extracellular traps formation in hepatocellular carcinoma.

作者信息

Shen Xiao-Tian, Xie Sun-Zhe, Zheng Xin, Zou Tian-Tian, Hu Bei-Yuan, Xu Jing, Liu Lu, Xu Yun-Feng, Wang Xu-Feng, Wang Hao, Wang Shun, Zhu Le, Yu Kang-Kang, Zhu Wen-Wei, Lu Lu, Zhang Ju-Bo, Chen Jin-Hong, Dong Qiong-Zhu, Yang Lu-Yu, Qin Lun-Xiu

机构信息

Department of General Surgery, Huashan Hospital, Fudan University, 12 Urumqi Road (M), Shanghai, 200040, China.

Cancer Metastasis Institute, Fudan University, Shanghai, China.

出版信息

Exp Hematol Oncol. 2024 Feb 22;13(1):20. doi: 10.1186/s40164-024-00476-9.

Abstract

BACKGROUND

Hepatocellular carcinoma (HCC) is closely associatedwith chronic liver diseases, particularly liver cirrhosis, which has an altered extracellular matrix (ECM) composition. The influence and its mechanism of the cirrhotic-ECM on the response of HCC to immune checkpoint inhibitor (ICI) remains less clarified.

METHODS

In silico, proteomic and pathological assessment of alteration of cirrhotic-ECM were applied in clinical cohort. Multiple pre-clinical models with ECM manipulation were used to evaluate cirrhotic-ECM's effect on ICI treatment. In silico, flow cytometry and IHC were applied to explore how cirrhotic-ECM affect HCC microenvironment. In vitro and in vivo experiments were carried out to identify the mechanism of how cirrhotic-ECM undermined ICI treatment.

RESULTS

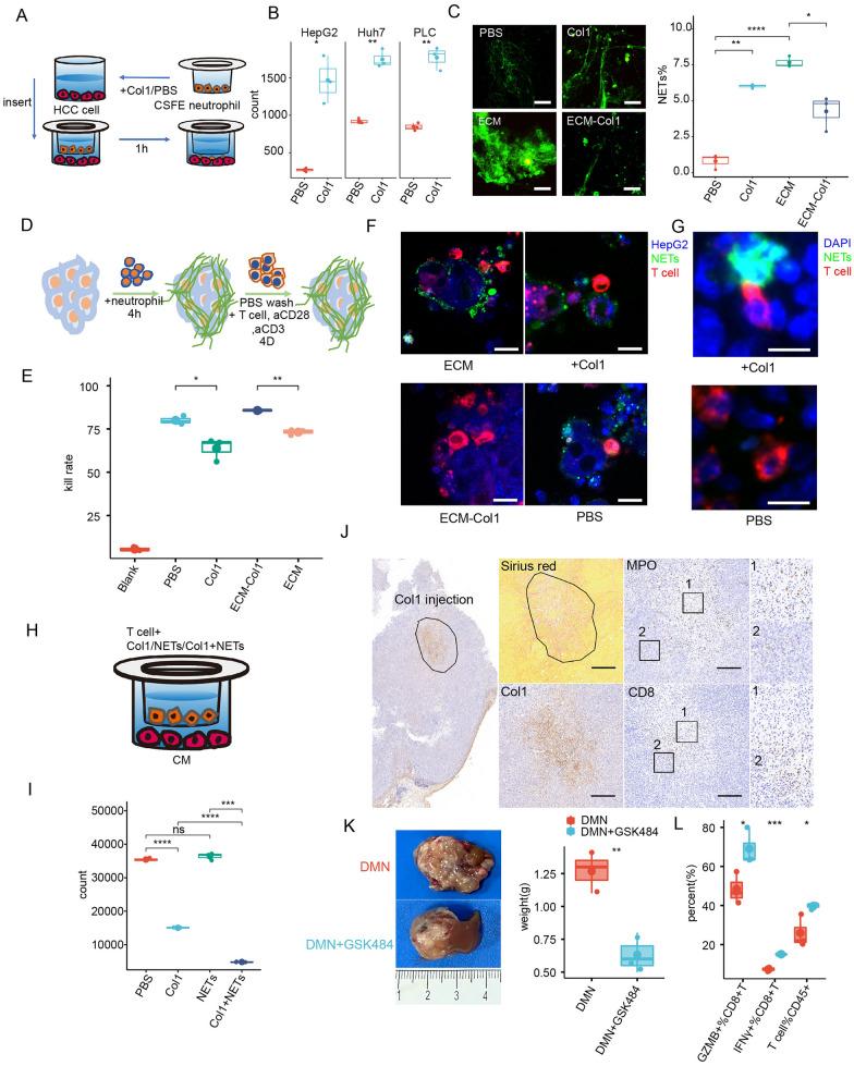
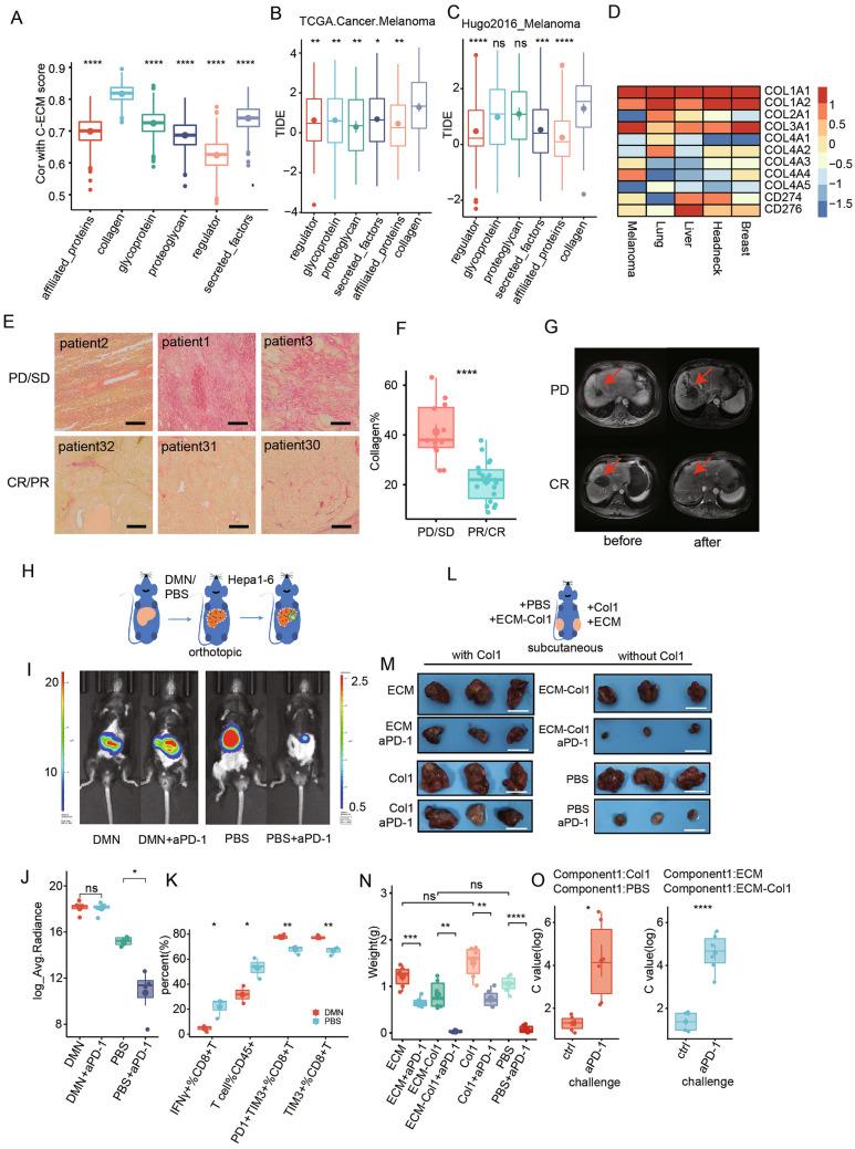
We defined "a pro-tumor cirrhotic-ECM" which was featured as the up-regulation of collagen type 1 (Col1). Cirrhotic-ECM/Col1 was closely related to impaired T cell function and limited anti PD-1 (aPD-1) response of HCC patients from the TCGA pan cancer cohort and the authors' institution, as well as in multiple pre-clinical models. Mechanically, cirrhotic-ECM/Col1 orchestrated an immunosuppressive microenvironment (TME) by triggering Col1-DDR1-NFκB-CXCL8 axis, which initiated neutrophil extracellular traps (NETs) formation to shield HCC cells from attacking T cells and impede approaching T cells. Nilotinib, an inhibitor of DDR1, reversed the neutrophils/NETs dominant TME and efficiently enhanced the response of HCC to aPD-1.

CONCLUSIONS

Cirrhotic-ECM modulated a NETs enriched TME in HCC, produced an immune suppressive TME and weakened ICI efficiency. Col1 receptor DDR1 could be a potential target synergically used with ICI to overcome ECM mediated ICI resistance. These provide a mechanical insight and novel strategy to overcome the ICI resistance of HCC.

摘要

背景

肝细胞癌(HCC)与慢性肝病密切相关,尤其是肝硬化,其细胞外基质(ECM)组成发生改变。肝硬化ECM对HCC免疫检查点抑制剂(ICI)反应的影响及其机制尚不清楚。

方法

对临床队列进行肝硬化ECM改变的计算机模拟、蛋白质组学和病理学评估。使用多种进行ECM操作的临床前模型来评估肝硬化ECM对ICI治疗的影响。通过计算机模拟、流式细胞术和免疫组化来探究肝硬化ECM如何影响HCC微环境。进行体外和体内实验以确定肝硬化ECM削弱ICI治疗的机制。

结果

我们定义了“促肿瘤性肝硬化ECM”,其特征是I型胶原(Col1)上调。来自TCGA泛癌队列和作者所在机构的HCC患者,以及在多个临床前模型中,肝硬化ECM/Col1与T细胞功能受损和抗程序性死亡蛋白1(aPD-1)反应受限密切相关。从机制上讲,肝硬化ECM/Col1通过触发Col1-DDR1-NFκB-CXCL8轴来协调免疫抑制微环境(TME),该轴启动中性粒细胞胞外陷阱(NETs)形成,以保护HCC细胞免受T细胞攻击并阻碍T细胞接近。DDR1抑制剂尼罗替尼可逆转中性粒细胞/NETs主导的TME,并有效增强HCC对aPD-1的反应。

结论

肝硬化ECM调节HCC中富含NETs的TME,产生免疫抑制性TME并削弱ICI疗效。Col1受体DDR1可能是与ICI协同使用以克服ECM介导的ICI耐药性的潜在靶点。这些研究为克服HCC的ICI耐药性提供了机制上的见解和新策略。

https://cdn.ncbi.nlm.nih.gov/pmc/blobs/4289/10882882/caeb520677b2/40164_2024_476_Fig1_HTML.jpg

文献AI研究员

20分钟写一篇综述,助力文献阅读效率提升50倍。

立即体验

用中文搜PubMed

大模型驱动的PubMed中文搜索引擎

马上搜索

文档翻译

学术文献翻译模型,支持多种主流文档格式。

立即体验