Suppr超能文献

TcrXY 是结核分枝杆菌的一种酸感应双组分转录调控因子,对于持续感染是必需的。

TcrXY is an acid-sensing two-component transcriptional regulator of Mycobacterium tuberculosis required for persistent infection.

机构信息

School of Chemistry and Molecular Biosciences, Australian Infectious Disease Research Centre, The University of Queensland, Brisbane, Australia.

Faculty of Medicine, UQ Centre for Clinical Research, The University of Queensland, Brisbane, Australia.

出版信息

Nat Commun. 2024 Feb 22;15(1):1615. doi: 10.1038/s41467-024-45343-7.

Abstract

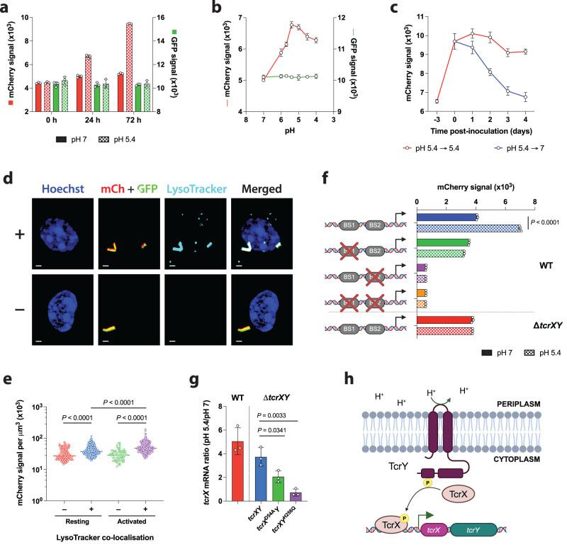
The ability of Mycobacterium tuberculosis (Mtb) to persist in the host complicates and prolongs tuberculosis (TB) patient chemotherapy. Here we demonstrate that a neglected two-component system (TCS) of Mtb, TcrXY, is an autoregulated acid-sensing TCS that controls a functionally diverse 70-gene regulon required for bacterial persistence. Characterisation of two representatives of this regulon, Rv3706c and Rv3705A, implicate these genes as key determinants for the survival of Mtb in vivo by serving as important effectors to mitigate redox stress at acidic pH. We show that genetic silencing of the response regulator tcrX using CRISPR interference attenuates the persistence of Mtb during chronic mouse infection and improves treatment with the two front-line anti-TB drugs, rifampicin and isoniazid. We propose that targeting TcrXY signal transduction blocks the ability of Mtb to sense and respond to acid stress, resulting in a disordered program of persistence to render the organism vulnerable to existing TB chemotherapy.

摘要

结核分枝杆菌(Mtb)在宿主体内持续存在的能力使结核病(TB)患者的化疗复杂化和延长。在这里,我们证明了 Mtb 中一个被忽视的双组分系统(TCS),TcrXY,是一个自我调节的酸感应 TCS,它控制着一个功能多样的 70 个基因调控子,这些基因对于细菌的持续存在是必需的。该调控子的两个代表,Rv3706c 和 Rv3705A 的特性表明,这些基因作为重要的效应子,在酸性 pH 值下减轻氧化还原应激,是 Mtb 在体内存活的关键决定因素。我们表明,使用 CRISPR 干扰对 TcrX 进行基因沉默会削弱 Mtb 在慢性小鼠感染期间的持续存在,并改善利福平(rifampicin)和异烟肼(isoniazid)这两种一线抗结核药物的治疗效果。我们提出,靶向 TcrXY 信号转导阻断了 Mtb 感知和应对酸应激的能力,导致其持续存在的程序紊乱,使该生物体容易受到现有的结核病化疗的影响。

https://cdn.ncbi.nlm.nih.gov/pmc/blobs/d9ca/10883919/f5ea64bd04c2/41467_2024_45343_Fig1_HTML.jpg

文献AI研究员

20分钟写一篇综述,助力文献阅读效率提升50倍。

立即体验

用中文搜PubMed

大模型驱动的PubMed中文搜索引擎

马上搜索

文档翻译

学术文献翻译模型,支持多种主流文档格式。

立即体验