Suppr超能文献

耐甲氧西林金黄色葡萄球菌和表葡菌中 Panton-Valentine 白细胞素()和表皮剥脱毒素 A()基因的流行:一项城市三级医院的分子流行病学初步研究。

Prevalence of Panton-Valentine leucocidin ( ) and exfoliative toxin A ( ) gene within methicillin resistant and susceptible in an urban tertiary hospital: A molecular epidemiology pilot study.

机构信息

Department of Microbiology, Universitas Sumatera Utara, Medan, North Sumatra, Indonesia.

Microbiology Laboratory, Universitas Sumatera Utara, Medan, North Sumatra, Indonesia.

出版信息

F1000Res. 2024 Feb 22;12:1002. doi: 10.12688/f1000research.134641.2. eCollection 2023.

Abstract

BACKGROUND

is well known to cause a multitude of clinical manifestations, from mild to severe bloodstream infections that could lead to death. Infections are common, either in community-acquired or hospital-acquired settings, and treatment remains a challenge due to methicillin-resistant (MRSA). The pathogenesis of is mediated by several cell-surface and secreted virulence factors. The virulence factors discussed in this study are Panton-Valentine leucocidin ( ) and exfoliative toxin A ( ). Identifying both and gene may help in studying bacterial pathogenesis and biology thus creating possible therapeutic pathway or intervention.Our pilot study aimed to observe and as virulence gene prevalence in a North Sumatera tertiary referral health center.

METHODS

Our study was a descriptive-analytical observational study with a cross-sectional design in which we collected isolates over a single time period. The frequency of genes is reported as a percentage comparison between MRSA and methicillin-susceptible (MSSA). Qualitative gene prevalence analysis was carried out using the polymerase chain reaction (PCR).

RESULTS

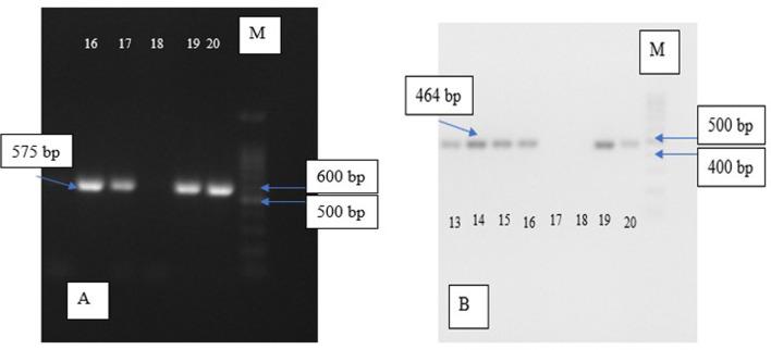
Our results showed that from 38 MRSA sample isolates, 32 samples were found to be -positive, or 84,3% of the total samples. From 40 MSSA sample isolates, one sample was found to be -positive MSSA, or 97,5%. Regarding , from 38 MRSA sample isolates, 81,6% of the total sample did not have , while from 40 MSSA sample isolates, all samples were found to be positive for . We found that both and were significantly more likely to be expressed in the MSSA strain.

CONCLUSIONS

Our study shows that and are more likely expressed in MSSA strains than in MRSA strains in Indonesia.

摘要

背景

金黄色葡萄球菌众所周知会引起多种临床表现,从轻症到严重血流感染,甚至可能导致死亡。金黄色葡萄球菌感染很常见,无论是在社区获得性感染还是医院获得性感染中,由于耐甲氧西林金黄色葡萄球菌(MRSA)的存在,治疗仍然是一个挑战。金黄色葡萄球菌的发病机制是由几种细胞表面和分泌的毒力因子介导的。本研究讨论的毒力因子是杀白细胞素 Panton-Valentine(PVL)和表皮剥脱毒素 A(ETA)。鉴定 和 基因有助于研究细菌的发病机制和生物学,从而为可能的治疗途径或干预措施创造条件。我们的初步研究旨在观察北苏门答腊三级转诊保健中心的 和 作为毒力基因的流行情况。

方法

本研究为描述性分析观察性研究,采用横断面设计,在单个时间段内收集分离株。基因的频率以 MRSA 和甲氧西林敏感金黄色葡萄球菌(MSSA)之间的百分比比较报告。使用聚合酶链反应(PCR)进行定性基因流行分析。

结果

我们的结果表明,在 38 株 MRSA 样本分离株中,有 32 株为阳性,即总样本的 84.3%。在 40 株 MSSA 样本分离株中,有 1 株 MSSA 呈阳性,即 97.5%。关于 ,在 38 株 MRSA 样本分离株中,81.6%的总样本没有 ,而在 40 株 MSSA 样本分离株中,所有样本均呈阳性。我们发现 和 在 MSSA 菌株中表达的可能性明显更高。

结论

我们的研究表明,在印度尼西亚, 和 在 MSSA 菌株中比在 MRSA 菌株中更可能表达。

https://cdn.ncbi.nlm.nih.gov/pmc/blobs/f5c2/10965194/2c649eda4fc3/f1000research-12-162867-g0000.jpg

文献AI研究员

20分钟写一篇综述,助力文献阅读效率提升50倍。

立即体验

用中文搜PubMed

大模型驱动的PubMed中文搜索引擎

马上搜索

文档翻译

学术文献翻译模型,支持多种主流文档格式。

立即体验