Suppr超能文献

播散性环状肉芽肿与复发性葡萄膜炎的罕见关联。

A Rare Association of Disseminated Granuloma Annulare With Recurrent Uveitis.

作者信息

Cojocaru Anca, Dorobanțu Alexandra Maria, Bălăceanu Beatrice, Tudose Irina, Orzan Olguța Anca

机构信息

Department of Dermatology, Elias Emergency University Hospital, Bucharest, ROU.

Department of Pathology, Elias Emergency University Hospital, Bucharest, ROU.

出版信息

Cureus. 2024 Feb 4;16(2):e53570. doi: 10.7759/cureus.53570. eCollection 2024 Feb.

Abstract

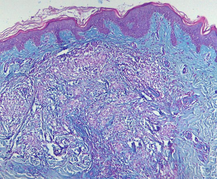
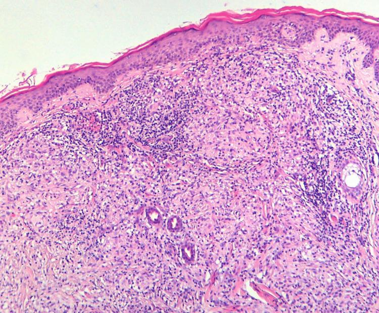
Granuloma annulare is a benign chronic inflammatory granulomatous dermatosis with a variable clinical presentation. The disseminated form of the disease is characterized by a widespread papular eruption, primarily affecting the trunk, neck, and extremities. The development of granuloma annulare in patients with systemic diseases, such as diabetes mellitus, malignancy, or dyslipidemia, has been extensively documented. Still, only a few cases of granuloma annulare associated with recurrent uveitis have been reported. Herein, we present a rare case of generalized granuloma annulare that was associated with concomitant recurrent uveitis in a 60-year-old male patient with a history of type II diabetes mellitus. A general physical exam revealed widespread erythematous papules in an annular pattern on the trunk, characteristic of granuloma annulare. A series of tests were conducted, including autoimmune workup, all within normal limits. Histopathologic findings revealed features consistent with granuloma annulare. The patient was successfully treated with systemic corticosteroids for the uveitis and isotretinoin for the skin lesions. A close follow-up is recommended given the rare association of granuloma annulare and uveitis.

摘要

环状肉芽肿是一种临床表现多样的良性慢性炎症性肉芽肿性皮肤病。该病的播散型以广泛的丘疹性皮疹为特征,主要累及躯干、颈部和四肢。全身性疾病(如糖尿病、恶性肿瘤或血脂异常)患者发生环状肉芽肿的情况已有大量文献记载。然而,仅有少数环状肉芽肿与复发性葡萄膜炎相关的病例报道。在此,我们报告一例罕见的全身性环状肉芽肿病例,该病例发生在一名60岁患有II型糖尿病的男性患者身上,同时伴有复发性葡萄膜炎。全身体格检查发现躯干上有广泛的呈环状分布的红斑丘疹,这是环状肉芽肿的特征表现。进行了一系列检查,包括自身免疫检查,结果均在正常范围内。组织病理学检查结果显示与环状肉芽肿一致的特征。该患者因葡萄膜炎接受全身糖皮质激素治疗,因皮肤病变接受异维A酸治疗,治疗成功。鉴于环状肉芽肿与葡萄膜炎的罕见关联,建议密切随访。

https://cdn.ncbi.nlm.nih.gov/pmc/blobs/839d/10914307/07b923e2a06f/cureus-0016-00000053570-i01.jpg

文献AI研究员

20分钟写一篇综述,助力文献阅读效率提升50倍。

立即体验

用中文搜PubMed

大模型驱动的PubMed中文搜索引擎

马上搜索

文档翻译

学术文献翻译模型,支持多种主流文档格式。

立即体验