Suppr超能文献

全身麻醉下对不合作的听力障碍伴缄默儿童的牙科管理。

Dental Management of an Uncooperative Child with Hearing Impairment and Mutism Under General Anesthesia.

作者信息

Parakh Himani, Thosar Nilima R, Chandra Aakriti, Das Simran, Rathi Nilesh V

机构信息

Pediatric and Preventive Dentistry, Sharad Pawar Dental College And Hospital, Datta Meghe Institute of Higher Education and Research, Wardha, IND.

Pediatric Dentistry, Sharad Pawar Dental College and Hospital, Datta Meghe Institute of Higher Education and Research, Wardha, IND.

出版信息

Cureus. 2024 Feb 6;16(2):e53685. doi: 10.7759/cureus.53685. eCollection 2024 Feb.

Abstract

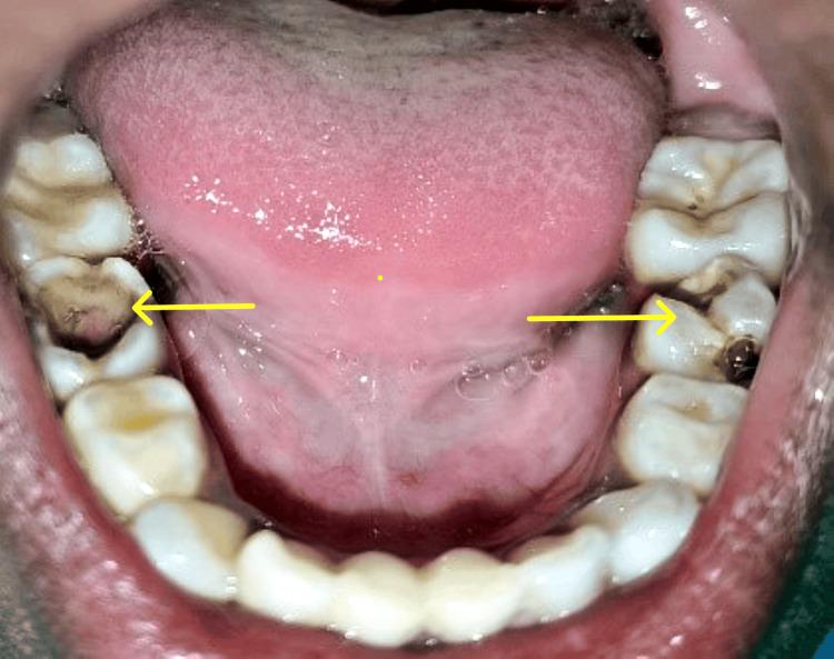
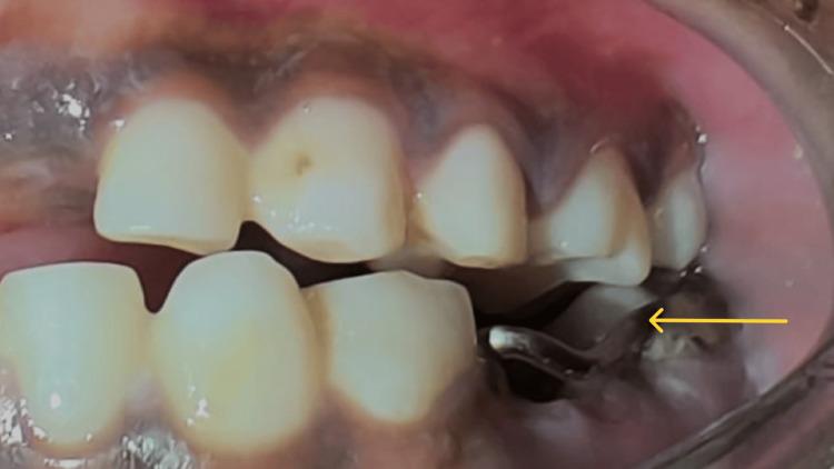
Oral health is a vital part of overall health, particularly for children with special healthcare requirements. The terms "dumb" and "mute" are frequently linked with the term "deaf" due to the connection between hearing loss and speech impairment. A hearing and speech-impaired child may be unable to express completely because of the communication barriers. It is important to treat special children with utmost care and safety. This case report describes the dental management of an 8-year-old special child reported with multiple carious lesions under general anesthesia as she was not well acquainted with sign language. In a hospital setting under general anesthesia (GA), all necessary treatments are carried out in a single appointment. Since it is monitored by a multi-disciplinary team it can safely provide effective care to a child with hearing impairment and mutism.

摘要

口腔健康是整体健康的重要组成部分,对于有特殊医疗需求的儿童尤为如此。由于听力丧失与言语障碍之间的关联,“哑巴”和“缄默”这两个词经常与“聋”这个词联系在一起。有听力和言语障碍的儿童可能由于沟通障碍而无法完全表达自己。以最大程度的关怀和安全对待特殊儿童非常重要。本病例报告描述了一名8岁特殊儿童的牙科治疗情况,该儿童因不太熟悉手语而在全身麻醉下被报告有多处龋损。在医院的全身麻醉(GA)环境下,所有必要的治疗都在一次就诊中完成。由于有一个多学科团队进行监测,它可以安全地为有听力障碍和缄默症的儿童提供有效的护理。

https://cdn.ncbi.nlm.nih.gov/pmc/blobs/0f96/10918501/60aef08bf784/cureus-0016-00000053685-i01.jpg

文献AI研究员

20分钟写一篇综述,助力文献阅读效率提升50倍。

立即体验

用中文搜PubMed

大模型驱动的PubMed中文搜索引擎

马上搜索

文档翻译

学术文献翻译模型,支持多种主流文档格式。

立即体验