Suppr超能文献

RNA测序揭示了高水平花生四烯酸和亚油酸对C2C12细胞分化及成肌生物标志物的抑制作用。

RNA Sequencing Reveals the Inhibitory Effect of High Levels of Arachidonic Acid and Linoleic Acid on C2C12 Differentiation and Myogenic Biomarkers.

作者信息

Wang Wei, Abdelrahman Mohamed, Yang Ying, Lv Haimiao, Yang Liguo

机构信息

Key Laboratory of Agricultural Animal Genetics, Breeding and Reproduction of Ministry of Education, Huazhong Agriculture University, Wuhan 430070, China.

Animal Production Department, Faculty of Agriculture, Assuit University, Asyut 71515, Egypt.

出版信息

Nutrients. 2024 Feb 29;16(5):706. doi: 10.3390/nu16050706.

Abstract

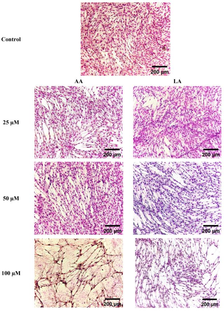
Over the past three decades, studies have shown that consuming polyunsaturated fatty acids (PUFAs) can enhance animal and human health and welfare through biological, biochemical, pathological, and pharmacological impacts. Furthermore, omega-6 plays key roles in the cardiopulmonary system, including promoting airway relaxation and inhibiting atherosclerosis and hypertension. However, findings from investigations of the effects of omega-6 fatty acids on molecular and cellular activity and discussions on their influence on biomarkers are still unclear. Therefore, the present study aimed to evaluate omega-6 fatty acids, the arachidonic acid (AA), and linoleic acid (LA) effects on C2C12 proliferation, myogenesis morphology, and relative myogenic biomarker expression through the Wnt pathway. C2C12 cells were cultured with and without 25, 50, 100, and 150 µM of LA and AA and then subjected to CCK8, Giemsa staining, RT qPCR, Western blotting, and RNA Sequencing. The CCK8 Assay results showed that 25, 50, 100, and 150 µM LA significantly decreased the viability after 72 h for 25, 50, 100, and 150 µM concentrations. Also, AA supplementation decreased cell viability after 24 h for 150 µM, 48 h for 150 µM, and 72 h for 50, 100, and 150 µM concentrations. Moreover, the LA and AA inhibitory effects noticed through Gimesa staining were morphological changes during myoblast differentiation. Both LA and AA showed inhibiting , , , , , , , , and effects; however, the depressing effect was higher for AA compared to . The previous results were confirmed through Western blotting, which showed that 50 µM LA and AA significantly reduced and protein levels compared to the control. Regarding RNA sequencing results, LA and AA increased the number of differentially expressed (DE) Mt-rRNA and snoRNA; however, the numbers of lncRNA detected decreased compared to the control. Our findings demonstrate that high and moderate LA and AA concentrations reduce primary myoblast proliferation and differentiation. Also, they highlight novel biomarkers and regulatory factors to improve our understanding of how the nutrition of fatty acids can control and modulate the myogenesis and differentiation process through different biomarker families.

摘要

在过去三十年中,研究表明,食用多不饱和脂肪酸(PUFAs)可通过生物学、生物化学、病理学和药理学影响来增强动物和人类的健康与福祉。此外,ω-6在心肺系统中发挥着关键作用,包括促进气道舒张以及抑制动脉粥样硬化和高血压。然而,关于ω-6脂肪酸对分子和细胞活性影响的研究结果以及对其对生物标志物影响的讨论仍不明确。因此,本研究旨在通过Wnt信号通路评估ω-6脂肪酸、花生四烯酸(AA)和亚油酸(LA)对C2C12细胞增殖、成肌形态以及相关成肌生物标志物表达的影响。将C2C12细胞分别在含有和不含有25、50、100和150μM LA和AA的条件下培养,然后进行CCK8检测、吉姆萨染色、RT-qPCR、蛋白质免疫印迹和RNA测序。CCK8检测结果显示,在25、50、100和150μM浓度下,25、50、100和150μM的LA在72小时后显著降低细胞活力。此外,在150μM浓度下,AA在24小时后降低细胞活力;在150μM浓度下,48小时后降低细胞活力;在50、100和150μM浓度下,72小时后降低细胞活力。此外,通过吉姆萨染色观察到的LA和AA的抑制作用是成肌细胞分化过程中的形态学变化。LA和AA均表现出抑制作用;然而,与LA相比,AA的抑制作用更强。蛋白质免疫印迹结果证实了先前的结果,即与对照组相比,50μM的LA和AA显著降低了 和 蛋白水平。关于RNA测序结果,LA和AA增加了差异表达(DE)的Mt-rRNA和snoRNA的数量;然而,与对照组相比,检测到的lncRNA数量减少。我们的研究结果表明,高浓度和中等浓度的LA和AA会降低原代成肌细胞的增殖和分化。此外,它们还突出了新的生物标志物和调节因子,以增进我们对脂肪酸营养如何通过不同生物标志物家族控制和调节成肌和分化过程的理解。

https://cdn.ncbi.nlm.nih.gov/pmc/blobs/7cf4/10933971/1be7a45b26d8/nutrients-16-00706-g001.jpg

文献AI研究员

20分钟写一篇综述,助力文献阅读效率提升50倍。

立即体验

用中文搜PubMed

大模型驱动的PubMed中文搜索引擎

马上搜索

文档翻译

学术文献翻译模型,支持多种主流文档格式。

立即体验