Suppr超能文献

EB 病毒(EBV)感染胃癌增加 microRNA124(miR-124)启动子甲基化和增强子结合锌指蛋白 2(EZH2)基因表达的作用。

The Role of Epstein-Barr Virus (EBV) Infected Gastric Cancer in Increasing microRNA124 (miR-124) Promoter Methylation and Enhancer of Zeste Homolog 2 (EZH2) Gene Expression.

机构信息

School of Medicine, Jiroft University of Medical Sciences, Jiroft, Iran.

Universal Scientific Education and Research Network (USERN), Tehran, Iran.

出版信息

Medicine (Baltimore). 2024 Mar 22;103(12):e36534. doi: 10.1097/MD.0000000000036534.

Abstract

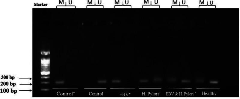
The tumor suppressor microRNAs, miR-21, miR-124, and miR-494, participate in the controlling several cellular processes. To assess target miRNAs promoter methylation levels, we investigated 304 pairs of gastric cancer (GC) tissues and non-tumor tissues. We used a commercial real-time polymerase chain reaction (RT-PCR) for Epstein-Barr virus (EBV) and Helicobacter pylori kit to detect EBV and H. pylori DNA in GC tissues. After finding hypermethylation in the promoter of the miR-124 gene, we evaluated its expression level using quantitative PCR (qPCR). Bioinformatics analysis confirmed miR-124 as a target of enhancer of Zeste homolog 2 (EZH2). Additionally, qPCR confirmed the association between EZH2 and miR-124. EBV and H. pylori DNA were detected in 9.5% and 15.1% of GC patients, respectively. Our findings also revealed significant differences in the miR-124 methylation levels among EBV-infected GC patients, H. pylori infected GC patients, GC patients without EBV and H. pylori infection, and non-tumor tissue. Bioinformatics and qPCR assays suggested an inverse relationship between the expression levels of EZH2 and miR-124 in EBV-infected GC patients. Our data revealed hypermethylation of the miR-124 promoter and significant reduction in its expression in EBV-infected GC tissues. It is possible that miR-124 may target EZH2 by binding to the 3'-UTR of the EZH2 gene, thus potentially contributing to the development of EBV-infected GC.

摘要

肿瘤抑制 microRNAs,miR-21、miR-124 和 miR-494,参与控制多种细胞过程。为了评估靶 microRNA 启动子甲基化水平,我们研究了 304 对胃癌(GC)组织和非肿瘤组织。我们使用商业实时聚合酶链反应(RT-PCR)用于 Epstein-Barr 病毒(EBV)和 Helicobacter pylori 试剂盒检测 GC 组织中的 EBV 和 H. pylori DNA。在发现 miR-124 基因启动子发生高甲基化后,我们使用定量 PCR(qPCR)评估其表达水平。生物信息学分析证实 miR-124 是 Enhancer of Zeste 同源物 2(EZH2)的靶标。此外,qPCR 证实了 EZH2 和 miR-124 之间的关联。分别在 9.5%和 15.1%的 GC 患者中检测到 EBV 和 H. pylori DNA。我们的研究结果还表明,在 EBV 感染的 GC 患者、H. pylori 感染的 GC 患者、无 EBV 和 H. pylori 感染的 GC 患者以及非肿瘤组织中,miR-124 甲基化水平存在显著差异。生物信息学和 qPCR 检测表明 EBV 感染的 GC 患者中 EZH2 和 miR-124 的表达水平呈负相关。我们的数据显示,EBV 感染的 GC 组织中 miR-124 启动子发生高甲基化,其表达显著降低。miR-124 可能通过与 EZH2 基因的 3'-UTR 结合来靶向 EZH2,从而可能有助于 EBV 感染的 GC 的发展。

https://cdn.ncbi.nlm.nih.gov/pmc/blobs/9fcd/10956982/b785673d1689/medi-103-e36534-g001.jpg

文献AI研究员

20分钟写一篇综述,助力文献阅读效率提升50倍。

立即体验

用中文搜PubMed

大模型驱动的PubMed中文搜索引擎

马上搜索

文档翻译

学术文献翻译模型,支持多种主流文档格式。

立即体验