Suppr超能文献

家族性双相情感障碍中诱导多能干细胞衍生的脑类器官和二维神经干细胞的神经上皮形态发生改变及迁移缺陷

Altered neuroepithelial morphogenesis and migration defects in iPSC-derived cerebral organoids and 2D neural stem cells in familial bipolar disorder.

作者信息

Phalnikar Kruttika, Srividya M, Mythri S V, Vasavi N S, Ganguly Archisha, Kumar Aparajita, S Padmaja, Kalia Kishan, Mishra Srishti S, Dhanya Sreeja Kumari, Paul Pradip, Holla Bharath, Ganesh Suhas, Reddy Puli Chandramouli, Sud Reeteka, Viswanath Biju, Muralidharan Bhavana

机构信息

Institute for Stem Cell Science and Regenerative Medicine (inStem), GKVK - Post, Bellary Road, Bengaluru, Karnataka, India-560065.

National Institute of Mental Health and Neurosciences (NIMHANS), Hosur Road Bengaluru, Karnataka, India-560029.

出版信息

Oxf Open Neurosci. 2024 Apr 3;3:kvae007. doi: 10.1093/oons/kvae007. eCollection 2024.

Abstract

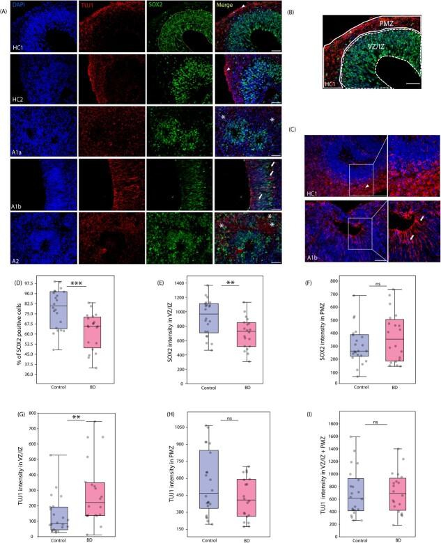
Bipolar disorder (BD) is a severe mental illness that can result from neurodevelopmental aberrations, particularly in familial BD, which may include causative genetic variants. In the present study, we derived cortical organoids from BD patients and healthy (control) individuals from a clinically dense family in the Indian population. Our data reveal that the patient organoids show neurodevelopmental anomalies, including organisational, proliferation and migration defects. The BD organoids show a reduction in both the number of neuroepithelial buds/cortical rosettes and the ventricular zone size. Additionally, patient organoids show a lower number of SOX2-positive and EdU-positive cycling progenitors, suggesting a progenitor proliferation defect. Further, the patient neurons show abnormal positioning in the ventricular/intermediate zone of the neuroepithelial bud. Transcriptomic analysis of control and patient organoids supports our cellular topology data and reveals dysregulation of genes crucial for progenitor proliferation and neuronal migration. Lastly, time-lapse imaging of neural stem cells in 2D cultures reveals abnormal cellular migration in BD samples. Overall, our study pinpoints a cellular and molecular deficit in BD patient-derived organoids and neural stem cell cultures.

摘要

双相情感障碍(BD)是一种严重的精神疾病,可能由神经发育异常引起,尤其是在家族性双相情感障碍中,这可能包括致病基因变异。在本研究中,我们从印度人群中一个临床病例密集的家族中的双相情感障碍患者和健康(对照)个体中获得了皮质类器官。我们的数据显示,患者的类器官表现出神经发育异常,包括组织结构、增殖和迁移缺陷。双相情感障碍类器官的神经上皮芽/皮质玫瑰花结数量和脑室区大小均减少。此外,患者类器官中SOX2阳性和EdU阳性循环祖细胞数量较少,提示祖细胞增殖缺陷。此外,患者的神经元在神经上皮芽的脑室/中间区定位异常。对对照和患者类器官的转录组分析支持了我们的细胞拓扑数据,并揭示了对祖细胞增殖和神经元迁移至关重要的基因的失调。最后,二维培养中神经干细胞的延时成像显示双相情感障碍样本中细胞迁移异常。总体而言,我们的研究指出了双相情感障碍患者来源的类器官和神经干细胞培养中的细胞和分子缺陷。

https://cdn.ncbi.nlm.nih.gov/pmc/blobs/f753/11024480/889ba4e0708d/kvae007ga.jpg

文献AI研究员

20分钟写一篇综述,助力文献阅读效率提升50倍。

立即体验

用中文搜PubMed

大模型驱动的PubMed中文搜索引擎

马上搜索

文档翻译

学术文献翻译模型,支持多种主流文档格式。

立即体验