Suppr超能文献

通过 EZH2 驱动的轴靶向过表达整合素 α11 的 siRNA 治疗抑制耐药性乳腺癌的进展。

siRNA treatment targeting integrin α11 overexpressed via EZH2-driven axis inhibits drug-resistant breast cancer progression.

机构信息

College of Pharmacy, Yeungnam University, Gyeongsan, 38541, Republic of Korea.

College of Pharmacy and Research Institute of Pharmaceutical Sciences, Seoul National University, Seoul, 08826, Republic of Korea.

出版信息

Breast Cancer Res. 2024 Apr 25;26(1):72. doi: 10.1186/s13058-024-01827-4.

Abstract

BACKGROUND

Breast cancer, the most prevalent cancer in women worldwide, faces treatment challenges due to drug resistance, posing a serious threat to patient survival. The present study aimed to identify the key molecules that drive drug resistance and aggressiveness in breast cancer cells and validate them as therapeutic targets.

METHODS

Transcriptome microarray and analysis using PANTHER pathway and StemChecker were performed to identify the most significantly expressed genes in tamoxifen-resistant and adriamycin-resistant MCF-7 breast cancer cells. Clinical relevance of the key genes was determined using Kaplan-Meier survival analyses on The Cancer Genome Atlas dataset of breast cancer patients. Gene overexpression/knockdown, spheroid formation, flow cytometric analysis, chromatin immunoprecipitation, immunocytochemistry, wound healing/transwell migration assays, and cancer stem cell transcription factor activation profiling array were used to elucidate the regulatory mechanism of integrin α11 expression. Tumour-bearing xenograft models were used to demonstrate integrin α11 is a potential therapeutic target.

RESULTS

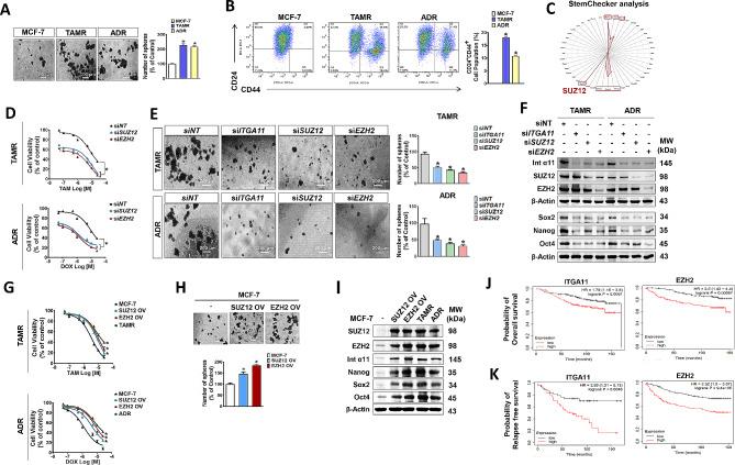
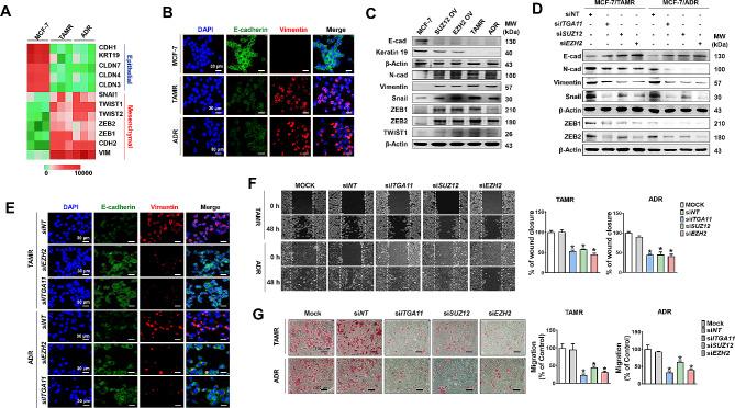
Integrin α11 was consistently upregulated in drug-resistant breast cancer cells, and its silencing inhibited cancer stem cells (CSCs) and epithelial-mesenchymal transition (EMT) while restoring sensitivity to anticancer drugs. HIF1α, GLI-1, and EZH2 contributed the most to the regulation of integrin α11 and EZH2 expression, with EZH2 being more necessary for EZH2 autoinduction than HIF1α and GLI-1. Additionally, unlike HIF1α or EZH2, GLI-1 was the sole transcription factor activated by integrin-linked focal adhesion kinase, indicating GLI-1 as a key driver of the EZH2-integrin α11 axis operating for cancer stem cell survival and EMT. Kaplan-Meier survival analysis using The Cancer Genome Atlas (TCGA) dataset also revealed both EZH2 and integrin α11 could be strong prognostic factors of relapse-free and overall survival in breast cancer patients. However, the superior efficacy of integrin α11 siRNA therapy over EZH2 siRNA treatment was demonstrated by enhanced inhibition of tumour growth and prolonged survival in murine models bearing tumours.

CONCLUSION

Our findings elucidate that integrin α11 is upregulated by EZH2, forming a positive feedback circuit involving FAK-GLI-1 and contributing to drug resistance, cancer stem cell survival and EMT. Taken together, the results suggest integrin α11 as a promising prognostic marker and a powerful therapeutic target for drug-resistant breast cancer.

摘要

背景

乳腺癌是全球女性最常见的癌症,但由于耐药性的存在,其治疗面临挑战,严重威胁着患者的生存。本研究旨在鉴定驱动乳腺癌细胞耐药和侵袭的关键分子,并将其验证为治疗靶点。

方法

使用 PANTHER 通路和 StemChecker 进行转录组微阵列分析,鉴定出在他莫昔芬耐药和阿霉素耐药 MCF-7 乳腺癌细胞中表达最显著的基因。使用癌症基因组图谱(TCGA)乳腺癌患者数据集的 Kaplan-Meier 生存分析确定关键基因的临床相关性。通过基因过表达/敲低、球体形成、流式细胞分析、染色质免疫沉淀、免疫细胞化学、划痕愈合/Transwell 迁移实验以及癌症干细胞转录因子激活谱分析,阐明整合素 α11 表达的调控机制。使用荷瘤异种移植模型证明整合素 α11 是一个潜在的治疗靶点。

结果

整合素 α11 在耐药乳腺癌细胞中持续上调,其沉默抑制了癌症干细胞(CSCs)和上皮-间充质转化(EMT),同时恢复了对抗癌药物的敏感性。HIF1α、GLI-1 和 EZH2 对整合素 α11 的调节贡献最大,而 EZH2 比 HIF1α 和 GLI-1 更需要 EZH2 的自我诱导。此外,与 HIF1α 或 EZH2 不同,GLI-1 是整合素连接的粘着斑激酶激活的唯一转录因子,表明 GLI-1 是 EZH2-整合素 α11 轴为癌症干细胞存活和 EMT 提供动力的关键驱动因素。使用 TCGA 数据集进行的 Kaplan-Meier 生存分析还表明,EZH2 和整合素 α11 都可以作为乳腺癌患者无复发生存和总生存的强预后因素。然而,在携带肿瘤的小鼠模型中,整合素 α11 siRNA 治疗比 EZH2 siRNA 治疗具有更强的疗效,表现为肿瘤生长抑制增强和生存时间延长。

结论

我们的研究结果表明,整合素 α11 由 EZH2 上调,形成涉及 FAK-GLI-1 的正反馈回路,导致耐药性、癌症干细胞存活和 EMT。综上所述,这些结果表明整合素 α11 是一种有前途的预后标志物和治疗耐药性乳腺癌的有力靶点。

https://cdn.ncbi.nlm.nih.gov/pmc/blobs/143d/11046805/52a73e3d6e07/13058_2024_1827_Fig1_HTML.jpg

文献AI研究员

20分钟写一篇综述,助力文献阅读效率提升50倍。

立即体验

用中文搜PubMed

大模型驱动的PubMed中文搜索引擎

马上搜索

文档翻译

学术文献翻译模型,支持多种主流文档格式。

立即体验