Suppr超能文献

富含羟基酪醇的提取物补充剂对高脂饮食下金头鲷脂质代谢的影响。

Impact of Hydroxytyrosol-Rich Extract Supplementation in a High-Fat Diet on Gilthead Sea Bream () Lipid Metabolism.

作者信息

Balbuena-Pecino Sara, Montblanch Manel, Rosell-Moll Enrique, González-Fernández Verónica, García-Meilán Irene, Fontanillas Ramon, Gallardo Ángeles, Gutiérrez Joaquim, Capilla Encarnación, Navarro Isabel

机构信息

Departament de Biologia Cellular, Fisiologia i Immunologia, Facultat de Biologia, Universitat de Barcelona, 08028 Barcelona, Spain.

Skretting Aquaculture Research Centre, 4016 Stavanger, Norway.

出版信息

Antioxidants (Basel). 2024 Mar 27;13(4):403. doi: 10.3390/antiox13040403.

Abstract

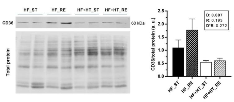
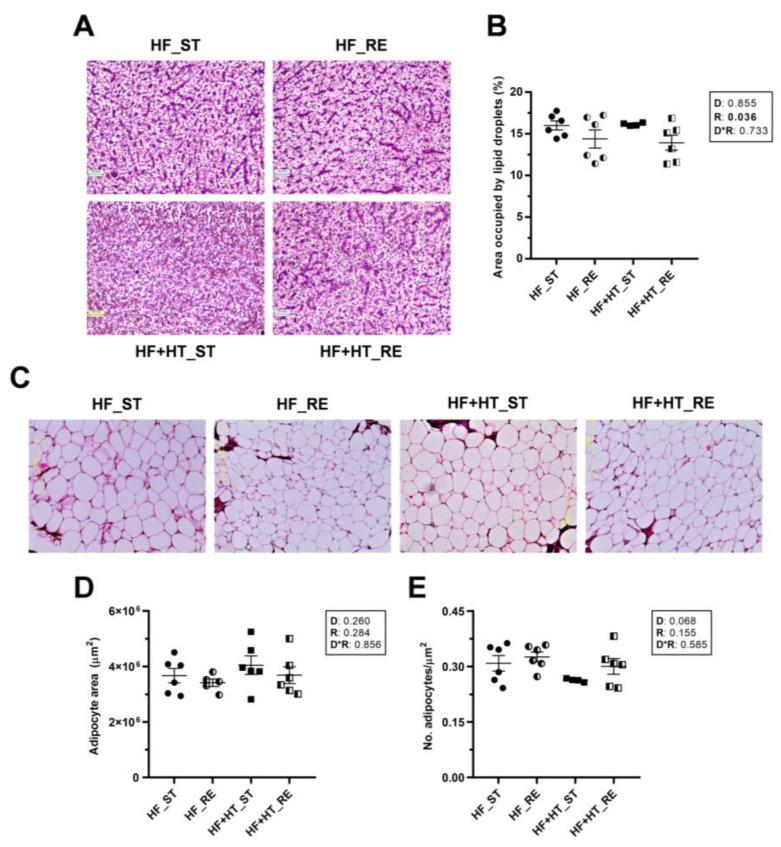
High-fat diets (HFDs) enhance fish growth by optimizing nutrient utilization (i.e., protein-sparing effect); however, their potential negative effects have also encouraged the search for feed additives. This work has investigated the effects of an extract rich in a polyphenolic antioxidant, hydroxytyrosol (HT), supplemented (0.52 g HT/kg feed) in a HFD (24% lipid) in gilthead sea bream (). Fish received the diet at two ration levels, standard (3% of total fish weight) or restricted (40% reduction) for 8 weeks. Animals fed the supplemented diet at a standard ration had the lowest levels of plasma free fatty acids (4.28 ± 0.23 mg/dL versus 6.42 ± 0.47 in the non-supplemented group) and downregulated hepatic mRNA levels of lipid metabolism markers (, , , , , , and ), supporting potential fat-lowering properties of this compound in the liver. Moreover, the same animals showed increased muscle lipid content and peroxidation (1.58- and 1.22-fold, respectively, compared to the fish without HT), suggesting the modulation of body adiposity distribution and an enhanced lipid oxidation rate in that tissue. Our findings emphasize the importance of considering this phytocompound as an optimal additive in HFDs for gilthead sea bream to improve overall fish health and condition.

摘要

高脂饮食(HFDs)通过优化营养利用(即蛋白质节省效应)来促进鱼类生长;然而,其潜在的负面影响也促使人们寻找饲料添加剂。这项研究调查了富含多酚抗氧化剂羟基酪醇(HT)的提取物(以0.52克HT/千克饲料的量添加)对金头鲷食用的高脂饮食(含24%脂质)的影响。鱼类以两种投喂水平摄食该饲料,标准水平(占鱼总重量的3%)或限制水平(减少40%),持续8周。以标准投喂量喂食添加了该提取物饲料的动物,其血浆游离脂肪酸水平最低(4.28±0.23毫克/分升,未添加组为6.42±0.47毫克/分升),肝脏脂质代谢标志物(、、、、、、和)的mRNA水平下调,这支持了该化合物在肝脏中潜在的降脂特性。此外,这些动物的肌肉脂质含量和过氧化水平增加(分别比未添加HT的鱼高1.58倍和1.22倍),表明其对身体脂肪分布的调节作用以及该组织中脂质氧化速率的提高。我们的研究结果强调了将这种植物化合物视为金头鲷高脂饮食中最佳添加剂以改善鱼类整体健康状况的重要性。

https://cdn.ncbi.nlm.nih.gov/pmc/blobs/b0a4/11047642/29dfd902d7c5/antioxidants-13-00403-g001.jpg

文献AI研究员

20分钟写一篇综述,助力文献阅读效率提升50倍。

立即体验

用中文搜PubMed

大模型驱动的PubMed中文搜索引擎

马上搜索

文档翻译

学术文献翻译模型,支持多种主流文档格式。

立即体验