Suppr超能文献

一项多方面分析显示转录本和一种最近确认的微肽是卵巢癌发生的重要因素。

A Multi-Faceted Analysis Showing Transcripts and a Recently Confirmed Micropeptide as Important Players in Ovarian Carcinogenesis.

作者信息

Balcerak Anna, Szafron Laura Aleksandra, Rubel Tymon, Swiderska Bianka, Bonna Arkadiusz M, Konarzewska Magdalena, Sołtyszewski Ireneusz, Kupryjanczyk Jolanta, Szafron Lukasz Michal

机构信息

Department of Pathology and Anatomical Sciences, State University of New York, Buffalo, NY 14203, USA.

Department of Molecular and Translational Oncology, Maria Sklodowska-Curie National Research Institute of Oncology, 02-781 Warsaw, Poland.

出版信息

Int J Mol Sci. 2024 Apr 16;25(8):4381. doi: 10.3390/ijms25084381.

Abstract

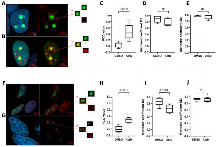
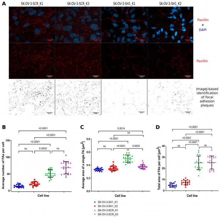
is considered an oncogene expressed as long non-coding RNA. Our previous paper is the only one reporting as a micropeptide-coding gene. The amino acid sequence of this micropeptide (CRNDEP) has recently been confirmed by other researchers. This study aimed at providing a mass spectrometry (MS)-based validation of the CRNDEP sequence and an investigation of how the differential expression of CRNDE(P) influences the metabolism and chemoresistance of ovarian cancer (OvCa) cells. We also assessed cellular localization changes of CRNDEP, looked for its protein partners, and bioinformatically evaluated its RNA-binding capacities. Herein, we detected most of the CRNDEP sequence by MS. Moreover, our results corroborated the oncogenic role of , portraying it as the gene impacting carcinogenesis at the stages of DNA transcription and replication, affecting the RNA metabolism, and stimulating the cell cycle progression and proliferation, with CRNDEP being detected in the centrosomes of dividing cells. We also showed that CRNDEP is located in nucleoli and revealed interactions of this micropeptide with p54, an RNA helicase. Additionally, we proved that high CRNDE(P) expression increases the resistance of OvCa cells to treatment with microtubule-targeted cytostatics. Furthermore, altered CRNDE(P) expression affected the activity of the microtubular cytoskeleton and the formation of focal adhesion plaques. Finally, according to our in silico analyses, CRNDEP is likely capable of RNA binding. All these results contribute to a better understanding of the CRNDE(P) role in OvCa biology, which may potentially improve the screening, diagnosis, and treatment of this disease.

摘要

被认为是一种作为长链非编码RNA表达的癌基因。我们之前的论文是唯一一篇报道其为微肽编码基因的文献。这种微肽(CRNDEP)的氨基酸序列最近已被其他研究人员证实。本研究旨在提供基于质谱(MS)的CRNDEP序列验证,并调查CRNDE(P)的差异表达如何影响卵巢癌(OvCa)细胞的代谢和化疗耐药性。我们还评估了CRNDEP的细胞定位变化,寻找其蛋白质伴侣,并通过生物信息学评估其RNA结合能力。在此,我们通过MS检测到了大部分CRNDEP序列。此外,我们的结果证实了其致癌作用,将其描述为在DNA转录和复制阶段影响致癌作用、影响RNA代谢、刺激细胞周期进程和增殖的基因,在分裂细胞的中心体中检测到了CRNDEP。我们还表明CRNDEP位于核仁中,并揭示了这种微肽与RNA解旋酶p54的相互作用。此外,我们证明高CRNDE(P)表达增加了OvCa细胞对微管靶向细胞抑制剂治疗的耐药性。此外,CRNDE(P)表达的改变影响了微管细胞骨架的活性和粘着斑的形成。最后,根据我们的计算机分析,CRNDEP可能具有RNA结合能力。所有这些结果有助于更好地理解CRNDE(P)在OvCa生物学中的作用,这可能潜在地改善这种疾病的筛查、诊断和治疗。

https://cdn.ncbi.nlm.nih.gov/pmc/blobs/e56c/11050281/0f4a447e1b7e/ijms-25-04381-g001.jpg

文献AI研究员

20分钟写一篇综述,助力文献阅读效率提升50倍。

立即体验

用中文搜PubMed

大模型驱动的PubMed中文搜索引擎

马上搜索

文档翻译

学术文献翻译模型,支持多种主流文档格式。

立即体验