Suppr超能文献

条件化学连接组学(cCCTomics)作为一种有效且条件性靶向化学传递的策略。

Conditional chemoconnectomics (cCCTomics) as a strategy for efficient and conditional targeting of chemical transmission.

机构信息

Laboratory of Neurochemical Biology, Chinese Institute for Brain Research, Beijing, China.

PKU-IDG/McGovern Institute for Brain Research, Peking-Tsinghua Center for Life Sciences, School of Life Sciences, Department of Chemical Biology, College of Chemistry and Chemical Engineering, School of Pharmaceutical Sciences, Peking University, Beijing, China.

出版信息

Elife. 2024 Apr 30;12:RP91927. doi: 10.7554/eLife.91927.

Abstract

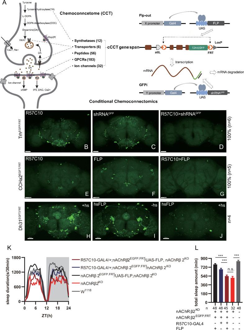
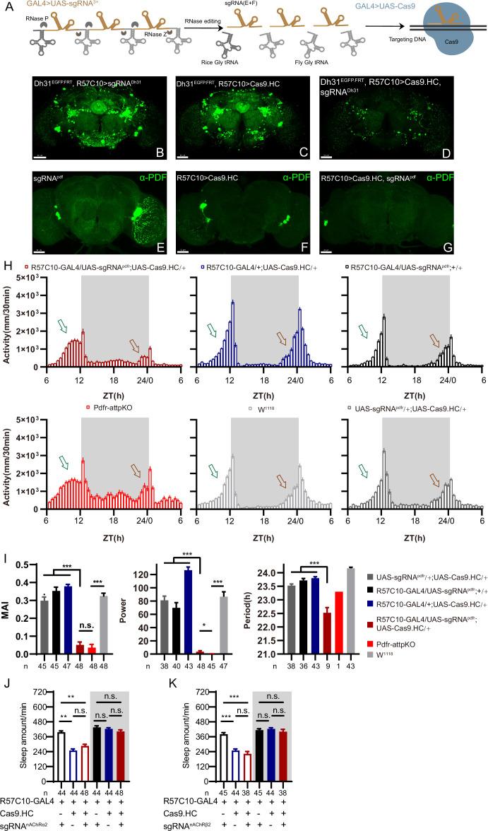
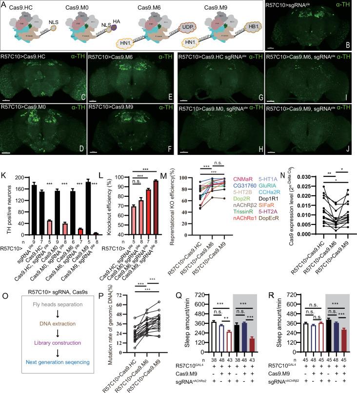
Dissection of neural circuitry underlying behaviors is a central theme in neurobiology. We have previously proposed the concept of chemoconnectome (CCT) to cover the entire chemical transmission between neurons and target cells in an organism and created tools for studying it (CCTomics) by targeting all genes related to the CCT in . Here we have created lines targeting the CCT in a conditional manner after modifying GFP RNA interference, Flp-out, and CRISPR/Cas9 technologies. All three strategies have been validated to be highly effective, with the best using chromatin-peptide fused Cas9 variants and scaffold optimized sgRNAs. As a proof of principle, we conducted a comprehensive intersection analysis of CCT genes expression profiles in the clock neurons, uncovering 43 CCT genes present in clock neurons. Specific elimination of each from clock neurons revealed that loss of the neuropeptide CNMa in two posterior dorsal clock neurons (DN1ps) or its receptor (CNMaR) caused advanced morning activity, indicating a suppressive role of CNMa-CNMaR on morning anticipation, opposite to the promoting role of PDF-PDFR on morning anticipation. These results demonstrate the effectiveness of conditional CCTomics and its tools created here and establish an antagonistic relationship between CNMa-CNMaR and PDF-PDFR signaling in regulating morning anticipation.

摘要

解析行为背后的神经回路是神经生物学的一个核心主题。我们之前提出了化学连接组(CCT)的概念,以涵盖生物体内神经元和靶细胞之间的所有化学传递,并通过针对 CCT 相关的所有基因创建了研究它的工具(CCTomics)。在这里,我们通过修改 GFP RNA 干扰、Flp-out 和 CRISPR/Cas9 技术,以条件方式创建了针对 CCT 的品系。所有三种策略都被证明非常有效,其中最好的策略是使用染色质-肽融合 Cas9 变体和支架优化的 sgRNA。作为原理验证,我们对生物钟神经元中的 CCT 基因表达谱进行了全面的交集分析,揭示了 43 个存在于生物钟神经元中的 CCT 基因。从生物钟神经元中特异性敲除每个基因,发现两个后背部生物钟神经元(DN1ps)中的神经肽 CNMa 或其受体(CNMaR)的缺失导致早晨活动提前,表明 CNMa-CNMaR 对早晨预期有抑制作用,与 PDF-PDFR 对早晨预期的促进作用相反。这些结果证明了条件 CCTomics 的有效性及其在这里创建的工具,并在调节早晨预期方面确立了 CNMa-CNMaR 和 PDF-PDFR 信号之间的拮抗关系。

https://cdn.ncbi.nlm.nih.gov/pmc/blobs/e818/11060718/69b06bdf43c4/elife-91927-fig1.jpg

文献AI研究员

20分钟写一篇综述,助力文献阅读效率提升50倍。

立即体验

用中文搜PubMed

大模型驱动的PubMed中文搜索引擎

马上搜索

文档翻译

学术文献翻译模型,支持多种主流文档格式。

立即体验