Suppr超能文献

索托拉西布作为一线治疗用于伴有KRAS基因突变合并脑转移的晚期非小细胞肺癌患者:一例病例报告

Sotorasib as first-line therapy in patients with advanced non-small cell lung cancer with KRAS gene mutations combined with brain metastases: a case report.

作者信息

Jia Xianglong, Liu Meng, Cheng Zhiqiang

机构信息

Vascular Surgery, Beijing Hospital of Traditional Chinese Medicine, Capital Medical University, Beijing, China.

Department of Oncology, China-Japan Friendship Hospital, Beijing, China.

出版信息

AME Case Rep. 2024 Mar 29;8:48. doi: 10.21037/acr-23-153. eCollection 2024.

Abstract

BACKGROUND

Non-small cell lung cancer (NSCLC) has a high incidence of lung cancer, with a 30% incidence of KRAS mutations and a low 5-year survival rate. Until the Food and Drug Administration (FDA) approved sotorasib in May 2021, no therapies targeted mutated in cancer. Sotorasib, a new inhibitor, is currently recognized as the newest clinically targeted agent with apparent clinical efficacy in NSCLC patients with mutations. FDA approval is required for patients with advanced or metastatic NSCLC undergoing at least one chemotherapy regimen.

CASE DESCRIPTION

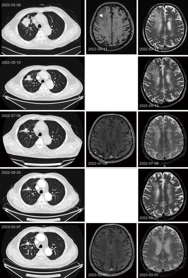
In our study, we report a patient with advanced NSCLC combined with brain metastases, clinical stage IV (c.T3N0M1b), (+) detected by next-generation sequencing (NGS) technology, direct use of sotorasib, an inhibitor of , as first-line therapy. The patient was treated with 4 months of oral therapy, had significant partial remission (PR), and remained in stable disease (SD) for nearly 9 months of follow-up, with no other side effects. Further extension of the follow-up period is needed to assess the impact of sotorasib as first-line therapy on patient survival. A series of clinical trials in phase 3 is ongoing, covering the first-line usage widespread.

CONCLUSIONS

Based on the literature review, this is the first domestic report in China where sotorasib was used directly as first-line treatment in patients with advanced combined brain metastasis from NSCLC. It needs a longer follow-up to evaluate the efficacy of sotorasib further as a first-line.

摘要

背景

非小细胞肺癌(NSCLC)是肺癌中发病率较高的类型,KRAS 突变发生率为 30%,5 年生存率较低。在 2021 年 5 月美国食品药品监督管理局(FDA)批准索托拉西布之前,尚无针对癌症中该突变的治疗方法。索托拉西布是一种新型抑制剂,目前被认为是对具有该突变的 NSCLC 患者具有明显临床疗效的最新临床靶向药物。晚期或转移性 NSCLC 患者在接受至少一种化疗方案后需要获得 FDA 的批准。

病例描述

在我们的研究中,我们报告了一名晚期 NSCLC 合并脑转移的患者,临床分期为 IV 期(c.T3N0M1b),通过下一代测序(NGS)技术检测到该突变(+),直接使用索托拉西布(一种该抑制剂)作为一线治疗。该患者接受了 4 个月的口服治疗,获得了显著部分缓解(PR),并且在近 9 个月的随访中病情保持稳定(SD),未出现其他副作用。需要进一步延长随访期以评估索托拉西布作为一线治疗对患者生存的影响。一系列 3 期临床试验正在进行中,涵盖广泛的一线用法。

结论

基于文献综述,这是中国国内首例关于索托拉西布直接用于晚期 NSCLC 合并脑转移患者一线治疗的报告。需要更长时间的随访以进一步评估索托拉西布作为一线治疗的疗效。

https://cdn.ncbi.nlm.nih.gov/pmc/blobs/3695/11071013/9be427ed7287/acr-08-23-153-f1.jpg

文献AI研究员

20分钟写一篇综述,助力文献阅读效率提升50倍。

立即体验

用中文搜PubMed

大模型驱动的PubMed中文搜索引擎

马上搜索

文档翻译

学术文献翻译模型,支持多种主流文档格式。

立即体验