Suppr超能文献

载干细胞外泌体明胶海绵改善大鼠脊髓损伤模型运动功能障碍和神经病理性疼痛。

Stem cell exosome-loaded Gelfoam improves locomotor dysfunction and neuropathic pain in a rat model of spinal cord injury.

机构信息

Department of Medical Research, MacKay Memorial Hospital, Taipei, 10449, Taiwan.

Department of Anesthesiology, MacKay Memorial Hospital, Taipei, 10449, Taiwan.

出版信息

Stem Cell Res Ther. 2024 May 20;15(1):143. doi: 10.1186/s13287-024-03758-5.

Abstract

BACKGROUND

Spinal cord injury (SCI) is a debilitating illness in humans that causes permanent loss of movement or sensation. To treat SCI, exosomes, with their unique benefits, can circumvent limitations through direct stem cell transplantation. Therefore, we utilized Gelfoam encapsulated with exosomes derived from human umbilical cord mesenchymal stem cells (HucMSC-EX) in a rat SCI model.

METHODS

SCI model was established through hemisection surgery in T9 spinal cord of female Sprague-Dawley rats. Exosome-loaded Gelfoam was implanted into the lesion site. An in vivo uptake assay using labeled exosomes was conducted on day 3 post-implantation. Locomotor functions and gait analyses were assessed using Basso-Beattie-Bresnahan (BBB) locomotor rating scale and DigiGait Imaging System from weeks 1 to 8. Nociceptive responses were evaluated through von Frey filament and noxious radiant heat tests. The therapeutic effects and potential mechanisms were analyzed using Western blotting and immunofluorescence staining at week 8 post-SCI.

RESULTS

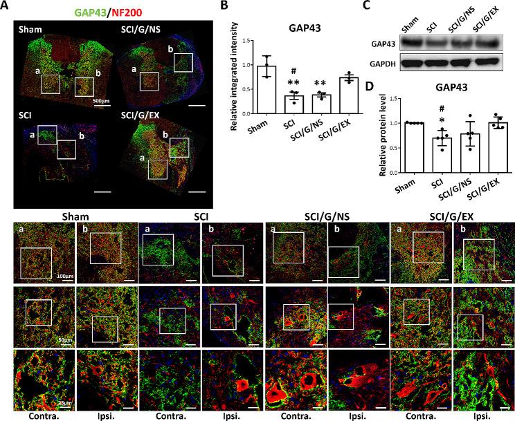
For the in vivo exosome uptake assay, we observed the uptake of labeled exosomes by NeuN, Iba1, GFAP, and OLIG2 cells around the injured area. Exosome treatment consistently increased the BBB score from 1 to 8 weeks compared with the Gelfoam-saline and SCI control groups. Additionally, exosome treatment significantly improved gait abnormalities including right-to-left hind paw contact area ratio, stance/stride, stride length, stride frequency, and swing duration, validating motor function recovery. Immunostaining and Western blotting revealed high expression of NF200, MBP, GAP43, synaptophysin, and PSD95 in exosome treatment group, indicating the promotion of nerve regeneration, remyelination, and synapse formation. Interestingly, exosome treatment reduced SCI-induced upregulation of GFAP and CSPG. Furthermore, levels of Bax, p75NTR, Iba1, and iNOS were reduced around the injured area, suggesting anti-inflammatory and anti-apoptotic effects. Moreover, exosome treatment alleviated SCI-induced pain behaviors and reduced pain-associated proteins (BDNF, TRPV1, and Cav3.2). Exosomal miRNA analysis revealed several promising therapeutic miRNAs. The cell culture study also confirmed the neurotrophic effect of HucMSCs-EX.

CONCLUSION

Implantation of HucMSCs-EX-encapsulated Gelfoam improves SCI-induced motor dysfunction and neuropathic pain, possibly through its capabilities in nerve regeneration, remyelination, anti-inflammation, and anti-apoptosis. Overall, exosomes could serve as a promising therapeutic alternative for SCI treatment.

摘要

背景

脊髓损伤(SCI)是一种使人衰弱的疾病,会导致运动或感觉的永久性丧失。为了治疗 SCI,可以利用外泌体的独特优势,通过直接干细胞移植来克服局限性。因此,我们在大鼠 SCI 模型中使用了包裹有人脐带来源间充质干细胞(HucMSC-EX)外泌体的明胶海绵。

方法

通过 T9 脊髓半切手术在雌性 Sprague-Dawley 大鼠中建立 SCI 模型。将负载外泌体的明胶海绵植入损伤部位。在植入后第 3 天进行了使用标记外泌体的体内摄取实验。使用 Basso-Beattie-Bresnahan(BBB)运动评分量表和 DigiGait 成像系统从第 1 周到第 8 周评估运动功能和步态分析。通过 von Frey 细丝和有害辐射热试验评估痛觉反应。在 SCI 后第 8 周通过 Western blot 和免疫荧光染色分析治疗效果和潜在机制。

结果

在体内外泌体摄取实验中,我们观察到标记的外泌体被损伤区域周围的 NeuN、Iba1、GFAP 和 OLIG2 细胞摄取。与明胶海绵-生理盐水和 SCI 对照组相比,外泌体治疗组从第 1 周到第 8 周的 BBB 评分一直升高。此外,外泌体治疗显著改善了运动功能异常,包括右-左后足接触面积比、站立/步幅、步幅长度、步幅频率和摆动持续时间,验证了运动功能的恢复。免疫染色和 Western blot 显示外泌体治疗组 NF200、MBP、GAP43、突触素和 PSD95 的高表达,表明促进了神经再生、髓鞘形成和突触形成。有趣的是,外泌体治疗降低了 SCI 诱导的 GFAP 和 CSPG 的上调。此外,损伤区域周围的 Bax、p75NTR、Iba1 和 iNOS 水平降低,表明具有抗炎和抗细胞凋亡作用。此外,外泌体治疗减轻了 SCI 诱导的疼痛行为并降低了与疼痛相关的蛋白(BDNF、TRPV1 和 Cav3.2)。外泌体 miRNA 分析显示了几种有前途的治疗性 miRNA。细胞培养研究还证实了 HucMSCs-EX 的神经营养作用。

结论

植入 HucMSCs-EX 包裹的明胶海绵可改善 SCI 诱导的运动功能障碍和神经病理性疼痛,可能通过其在神经再生、髓鞘形成、抗炎和抗细胞凋亡方面的能力。总之,外泌体可能成为 SCI 治疗的一种有前途的治疗选择。

https://cdn.ncbi.nlm.nih.gov/pmc/blobs/2d25/11103960/210e0b703c5f/13287_2024_3758_Fig1_HTML.jpg

文献AI研究员

20分钟写一篇综述,助力文献阅读效率提升50倍。

立即体验

用中文搜PubMed

大模型驱动的PubMed中文搜索引擎

马上搜索

文档翻译

学术文献翻译模型,支持多种主流文档格式。

立即体验