Suppr超能文献

同种疗法治疗异病:姜黄素对 NLRP3 驱动的疾病的治疗作用。

Homotherapy for heteropathy: therapeutic effect of Butein in NLRP3-driven diseases.

机构信息

TCM Regulating Metabolic Diseases Key Laboratory of Sichuan Province, Hospital of Chengdu University of Traditional Chinese Medicine, Chengdu, 610075, China.

Hospital of Chengdu University of Traditional Chinese Medicine, Chengdu, 610075, China.

出版信息

Cell Commun Signal. 2024 Jun 7;22(1):315. doi: 10.1186/s12964-024-01695-7.

Abstract

BACKGROUND

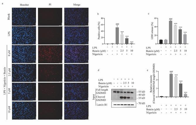
Aberrant inflammatory responses drive the initiation and progression of various diseases, and hyperactivation of NLRP3 inflammasome is a key pathogenetic mechanism. Pharmacological inhibitors of NLRP3 represent a potential therapy for treating these diseases but are not yet clinically available. The natural product butein has excellent anti-inflammatory activity, but its potential mechanisms remain to be investigated. In this study, we aimed to evaluate the ability of butein to block NLRP3 inflammasome activation and the ameliorative effects of butein on NLRP3-driven diseases.

METHODS

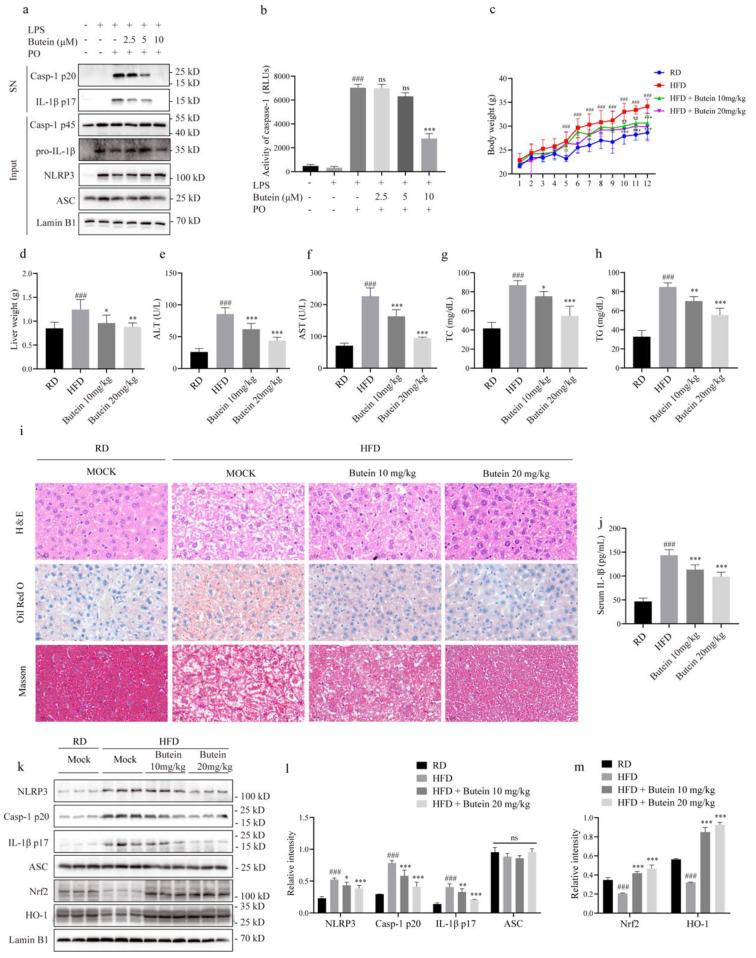
Lipopolysaccharide (LPS)-primed bone-marrow-derived macrophages were pretreated with butein and various inflammasome stimuli. Intracellular potassium levels, ASC oligomerization and reactive oxygen species production were also detected to evaluate the regulatory mechanisms of butein. Moreover, mouse models of LPS-induced peritonitis, dextran sodium sulfate-induced colitis, and high-fat diet-induced non-alcoholic steatohepatitis were used to test whether butein has protective effects on these NLRP3-driven diseases.

RESULTS

Butein blocks NLRP3 inflammasome activation in mouse macrophages by inhibiting ASC oligomerization, suppressing reactive oxygen species production, and upregulating the expression of the antioxidant pathway nuclear factor erythroid 2-related factor 2 (Nrf2). Importantly, in vivo experiments demonstrated that butein administration has a significant protective effect on the mouse models of LPS-induced peritonitis, dextran sodium sulfate-induced colitis, and high-fat diet-induced non-alcoholic steatohepatitis.

CONCLUSION

Our study illustrates the connotation of homotherapy for heteropathy, i.e., the application of butein to broaden therapeutic approaches and treat multiple inflammatory diseases driven by NLRP3.

摘要

背景

异常的炎症反应驱动着各种疾病的发生和发展,NLRP3 炎性小体的过度激活是一种关键的发病机制。NLRP3 炎性小体的药理学抑制剂是治疗这些疾病的一种潜在疗法,但尚未在临床上应用。天然产物白杨素具有优异的抗炎活性,但它的潜在机制仍有待研究。在本研究中,我们旨在评估白杨素阻断 NLRP3 炎性小体激活的能力以及白杨素对 NLRP3 驱动疾病的改善作用。

方法

用 LPS 预刺激骨髓来源的巨噬细胞,并用白杨素和各种炎性小体刺激物预处理。还检测了细胞内钾水平、ASC 寡聚化和活性氧的产生,以评估白杨素的调节机制。此外,还使用 LPS 诱导的腹膜炎、葡聚糖硫酸钠诱导的结肠炎和高脂肪饮食诱导的非酒精性脂肪性肝炎小鼠模型来测试白杨素对这些 NLRP3 驱动疾病是否具有保护作用。

结果

白杨素通过抑制 ASC 寡聚化、抑制活性氧的产生以及上调抗氧化途径核因子红细胞 2 相关因子 2(Nrf2)的表达来抑制小鼠巨噬细胞中 NLRP3 炎性小体的激活。重要的是,体内实验表明,白杨素给药对 LPS 诱导的腹膜炎、葡聚糖硫酸钠诱导的结肠炎和高脂肪饮食诱导的非酒精性脂肪性肝炎小鼠模型具有显著的保护作用。

结论

我们的研究说明了同病异治的内涵,即应用白杨素拓宽治疗方法并治疗多种由 NLRP3 驱动的炎症性疾病。

https://cdn.ncbi.nlm.nih.gov/pmc/blobs/fd93/11158000/a8744a32b093/12964_2024_1695_Fig2_HTML.jpg

文献AI研究员

20分钟写一篇综述,助力文献阅读效率提升50倍。

立即体验

用中文搜PubMed

大模型驱动的PubMed中文搜索引擎

马上搜索

文档翻译

学术文献翻译模型,支持多种主流文档格式。

立即体验