Suppr超能文献

甲状腺乳头癌的病理组学和单细胞分析揭示了癌相关成纤维细胞的促转移影响。

Pathomics and single-cell analysis of papillary thyroid carcinoma reveal the pro-metastatic influence of cancer-associated fibroblasts.

机构信息

Department of Vascular and Thyroid Surgery, The First Hospital, China Medical University, Shenyang, Liaoning, 110001, China.

Department of Head and Neck Surgery, Liaoning Cancer Hospital & Institute, Shenyang, Liaoning, 110042, China.

出版信息

BMC Cancer. 2024 Jun 10;24(1):710. doi: 10.1186/s12885-024-12459-4.

Abstract

BACKGROUND

Papillary thyroid carcinoma (PTC) is globally prevalent and associated with an increased risk of lymph node metastasis (LNM). The role of cancer-associated fibroblasts (CAFs) in PTC remains unclear.

METHODS

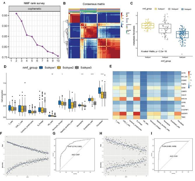
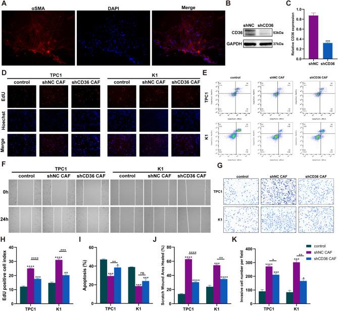
We collected postoperative pathological hematoxylin-eosin (HE) slides from 984 included patients with PTC to analyze the density of CAF infiltration at the invasive front of the tumor using QuPath software. The relationship between CAF density and LNM was assessed. Single-cell RNA sequencing (scRNA-seq) data from GSE193581 and GSE184362 datasets were integrated to analyze CAF infiltration in PTC. A comprehensive suite of in vitro experiments, encompassing EdU labeling, wound scratch assays, Transwell assays, and flow cytometry, were conducted to elucidate the regulatory role of CD36CAF in two PTC cell lines, TPC1 and K1.

RESULTS

A significant correlation was observed between high fibrosis density at the invasive front of the tumor and LNM. Analysis of scRNA-seq data revealed metastasis-associated myoCAFs with robust intercellular interactions. A diagnostic model based on metastasis-associated myoCAF genes was established and refined through deep learning methods. CD36 positive expression in CAFs can significantly promote the proliferation, migration, and invasion abilities of PTC cells, while inhibiting the apoptosis of PTC cells.

CONCLUSION

This study addresses the significant issue of LNM risk in PTC. Analysis of postoperative HE pathological slides from a substantial patient cohort reveals a notable association between high fibrosis density at the invasive front of the tumor and LNM. Integration of scRNA-seq data comprehensively analyzes CAF infiltration in PTC, identifying metastasis-associated myoCAFs with strong intercellular interactions. In vitro experimental results indicate that CD36 positive expression in CAFs plays a promoting role in the progression of PTC. Overall, these findings provide crucial insights into the function of CAF subset in PTC metastasis.

摘要

背景

甲状腺乳头状癌(PTC)在全球范围内普遍存在,与淋巴结转移(LNM)风险增加相关。癌症相关成纤维细胞(CAF)在 PTC 中的作用尚不清楚。

方法

我们从 984 名接受 PTC 手术的患者中收集术后病理苏木精-伊红(HE)切片,使用 QuPath 软件分析肿瘤侵袭前沿 CAF 浸润密度。评估 CAF 密度与 LNM 的关系。整合 GSE193581 和 GSE184362 数据集的单细胞 RNA 测序(scRNA-seq)数据,分析 PTC 中的 CAF 浸润。通过 EdU 标记、划痕实验、Transwell 实验和流式细胞术等一系列体外实验,阐明 CD36CAF 在两种 PTC 细胞系 TPC1 和 K1 中的调节作用。

结果

肿瘤侵袭前沿高纤维化密度与 LNM 显著相关。scRNA-seq 数据分析显示具有强大细胞间相互作用的转移相关肌成纤维细胞。通过深度学习方法建立并完善了基于转移相关肌成纤维细胞基因的诊断模型。CAF 中 CD36 的阳性表达可显著促进 PTC 细胞的增殖、迁移和侵袭能力,同时抑制 PTC 细胞的凋亡。

结论

本研究解决了 PTC 中 LNM 风险的重要问题。对大量患者队列的术后 HE 病理切片进行分析,发现肿瘤侵袭前沿高纤维化密度与 LNM 之间存在显著相关性。整合 scRNA-seq 数据全面分析 PTC 中的 CAF 浸润,鉴定出具有强烈细胞间相互作用的转移相关肌成纤维细胞。体外实验结果表明 CAF 中 CD36 的阳性表达在 PTC 进展中起促进作用。总之,这些发现为 CAF 亚群在 PTC 转移中的功能提供了重要见解。

https://cdn.ncbi.nlm.nih.gov/pmc/blobs/182c/11163752/320c8583e59a/12885_2024_12459_Fig1_HTML.jpg

文献AI研究员

20分钟写一篇综述,助力文献阅读效率提升50倍。

立即体验

用中文搜PubMed

大模型驱动的PubMed中文搜索引擎

马上搜索

文档翻译

学术文献翻译模型,支持多种主流文档格式。

立即体验