Suppr超能文献

ATF4作为雌激素受体阳性乳腺癌中谷氨酰胺代谢的预后标志物和调节因子

ATF4 as a Prognostic Marker and Modulator of Glutamine Metabolism in Oestrogen Receptor-Positive Breast Cancer.

作者信息

Patel Roshni, Alfarsi Lutfi H, El-Ansari Rokaya, Masisi Brendah K, Erkan Busra, Fakroun Ali, Ellis Ian O, Rakha Emad A, Green Andrew R

机构信息

Nottingham Breast Cancer Research Centre, Academic Unit for Translational Medical Sciences, School of Medicine, University of Nottingham Biodiscovery Institute, University Park, Nottingham, UK.

Cellular Pathology, Nottingham University Hospitals NHS Trust, Nottingham City Hospital, Nottingham, UK.

出版信息

Pathobiology. 2024;91(6):411-421. doi: 10.1159/000539564. Epub 2024 Jun 11.

Abstract

INTRODUCTION

ATF4, a stress-responsive transcription factor that upregulates adaptive genes, is a potential prognostic marker and modulator of glutamine metabolism in breast cancer. However, its exact role remains to be elucidated.

METHODS

ATF4 expression was evaluated at genomic and transcriptomic levels using METABRIC (n = 1,980), GeneMiner (n = 4,712), and KM-Plotter datasets. Proteomic expression was assessed via immunohistochemistry (n = 2,225) in the Nottingham Primary Breast Cancer Series. ATF4 genomic copy number (CN) variation and mRNA/protein in association with clinicopathological parameters, amino acid transporters (AATs), and patient outcome were investigated.

RESULTS

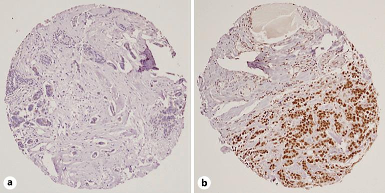
Genomic, transcriptomic, and proteomic overexpression of ATF4 was associated with more aggressive ER-negative tumours. ATF4 mRNA and protein expression were significantly associated with increased expression of glutamine related AATs including SLC1A5 (p < 0.01) and SLC7A11 (p < 0.02). High ATF4 and SLC1A5 protein expression was significantly associated with shorter breast cancer-specific survival (p < 0.01), especially in ER+ tumours (p < 0.01), while high ATF4 and SLC7A11 protein expression was associated with shorter survival (p < 0.01).

CONCLUSION

These findings suggest a complex interplay between ATF4 and AATs in breast cancer biology and underscore the potential role for ATF4 as a prognostic marker in ER+ breast cancer, offering a unique opportunity for risk stratification and personalized treatment strategies.

摘要

引言

ATF4是一种应激反应转录因子,可上调适应性基因,是乳腺癌中一种潜在的预后标志物和谷氨酰胺代谢调节因子。然而,其确切作用仍有待阐明。

方法

使用METABRIC(n = 1,980)、GeneMiner(n = 4,712)和KM-Plotter数据集在基因组和转录组水平评估ATF4表达。通过免疫组织化学(n = 2,225)在诺丁汉原发性乳腺癌系列中评估蛋白质组表达。研究了ATF4基因组拷贝数(CN)变异以及mRNA/蛋白质与临床病理参数、氨基酸转运体(AATs)和患者预后的关系。

结果

ATF4的基因组、转录组和蛋白质组过表达与侵袭性更强的雌激素受体阴性肿瘤相关。ATF4 mRNA和蛋白质表达与谷氨酰胺相关AATs(包括SLC1A5,p < 0.01;和SLC7A11,p < 0.02)的表达增加显著相关。高ATF4和SLC1A5蛋白表达与较短的乳腺癌特异性生存期显著相关(p < 0.01),尤其是在雌激素受体阳性肿瘤中(p < 0.01),而高ATF4和SLC7A11蛋白表达与较短生存期相关(p < 0.01)。

结论

这些发现表明ATF4与AATs在乳腺癌生物学中存在复杂的相互作用,并强调了ATF4作为雌激素受体阳性乳腺癌预后标志物的潜在作用,为风险分层和个性化治疗策略提供了独特机会。

https://cdn.ncbi.nlm.nih.gov/pmc/blobs/60f8/11614298/1730d4ca0089/pat-2024-0091-0006-539564_F01.jpg

文献AI研究员

20分钟写一篇综述,助力文献阅读效率提升50倍。

立即体验

用中文搜PubMed

大模型驱动的PubMed中文搜索引擎

马上搜索

文档翻译

学术文献翻译模型,支持多种主流文档格式。

立即体验