Suppr超能文献

基于患者组织中 O 异质性的肝细胞癌的芯片采集。

Chip collection of hepatocellular carcinoma based on O heterogeneity from patient tissue.

机构信息

Department of Brain Korea 21 FOUR Project for Medical Science, Yonsei University College of Medicine, 50-1 Yonsei-ro, Seodaemun-gu, Seoul, 03722, Republic of Korea.

Department of Medical Engineering, Yonsei University College of Medicine, 50-1 Yonsei-ro, Seodaemun-gu, Seoul, 03722, Republic of Korea.

出版信息

Nat Commun. 2024 Jun 15;15(1):5117. doi: 10.1038/s41467-024-49386-8.

Abstract

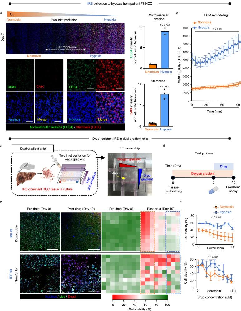
Hepatocellular carcinoma frequently recurs after surgery, necessitating personalized clinical approaches based on tumor avatar models. However, location-dependent oxygen concentrations resulting from the dual hepatic vascular supply drive the inherent heterogeneity of the tumor microenvironment, which presents challenges in developing an avatar model. In this study, tissue samples from 12 patients with hepatocellular carcinoma are cultured directly on a chip and separated based on preference of oxygen concentration. Establishing a dual gradient system with drug perfusion perpendicular to the oxygen gradient enables the simultaneous separation of cells and evaluation of drug responsiveness. The results are further cross-validated by implanting the chips into mice at various oxygen levels using a patient-derived xenograft model. Hepatocellular carcinoma cells exposed to hypoxia exhibit invasive and recurrent characteristics that mirror clinical outcomes. This chip provides valuable insights into treatment prognosis by identifying the dominant hepatocellular carcinoma type in each patient, potentially guiding personalized therapeutic interventions.

摘要

肝细胞癌手术后常复发,需要根据肿瘤虚拟模型制定个性化的临床方法。然而,由于双重肝血管供应导致的位置依赖的氧浓度驱动了肿瘤微环境的固有异质性,这给虚拟模型的开发带来了挑战。在这项研究中,从 12 名肝细胞癌患者中获取的组织样本直接在芯片上进行培养,并根据对氧浓度的偏好进行分离。建立一个具有药物灌注的双重梯度系统,与氧梯度垂直,可实现细胞的同时分离和药物反应性的评估。通过使用患者来源的异种移植模型,将芯片在不同氧水平下植入小鼠中,进一步进行交叉验证。暴露于低氧环境中的肝细胞癌细胞表现出侵袭性和复发性特征,与临床结果相吻合。该芯片通过识别每个患者中占主导地位的肝细胞癌类型,为治疗预后提供了有价值的见解,可能指导个性化的治疗干预。

https://cdn.ncbi.nlm.nih.gov/pmc/blobs/0807/11180182/c3280719e993/41467_2024_49386_Fig1_HTML.jpg

文献AI研究员

20分钟写一篇综述,助力文献阅读效率提升50倍。

立即体验

用中文搜PubMed

大模型驱动的PubMed中文搜索引擎

马上搜索

文档翻译

学术文献翻译模型,支持多种主流文档格式。

立即体验