Suppr超能文献

木香根的补充通过调节代谢谱、炎症和细胞凋亡来减轻亚硝酸钠诱导的肝肾毒性。

Supplementation of Saussurea costus root alleviates sodium nitrite-induced hepatorenal toxicity by modulating metabolic profile, inflammation, and apoptosis.

作者信息

Elshaer Samy E, Hamad Gamal M, Sobhy Sherien E, Darwish Amira M Galal, Baghdadi Hoda H, H Abo Nahas Hebatallah, El-Demerdash Fatma M, Kabeil Sanaa S A, Altamimi Abdulmalik S, Al-Olayan Ebtesam, Alsunbul Maha, Docmac Omaima Kamel, Jaremko Mariusz, Hafez Elsayed E, Saied Essa M

机构信息

Department of Environmental Studies, Institute of Graduate Studies and Research, Alexandria University, Alexandria, Egypt.

Department of Food Technology, Arid Lands Cultivation Research Institute (ALCRI), City of Scientific Research and Technological Applications (SRTA-City), Alexandria, Egypt.

出版信息

Front Pharmacol. 2024 May 30;15:1378249. doi: 10.3389/fphar.2024.1378249. eCollection 2024.

Abstract

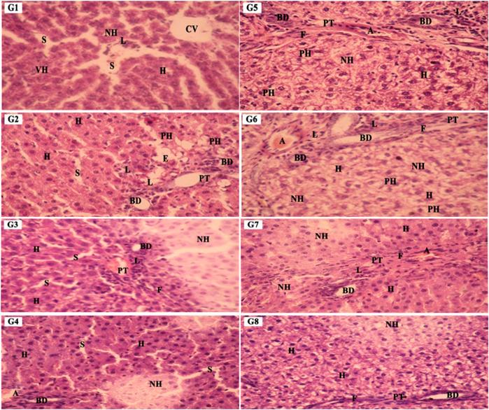
Sodium nitrite (NaNO) is a widely used food ingredient, although excessive concentrations can pose potential health risks. In the present study, we evaluated the deterioration effects of NaNO additives on hematology, metabolic profile, liver function, and kidney function of male Wistar rats. We further explored the therapeutic potential of supplementation with root ethanolic extract (SCREE) to improve NaNO-induced hepatorenal toxicity. In this regard, 65 adult male rats were divided into eight groups; Group 1: control, Groups 2, 3, and 4 received SCREE in 200, 400, and 600 mg/kg body weight, respectively, Group 5: NaNO (6.5 mg/kg body weight), Groups 6, 7 and 8 received NaNO (6.5 mg/kg body weight) in combination with SCREE (200, 400, and 600 mg/kg body weight), respectively. Our results revealed that the NaNO-treated group shows a significant change in deterioration in body and organ weights, hematological parameters, lipid profile, and hepatorenal dysfunction, as well as immunohistochemical and histopathological alterations. Furthermore, the NaNO-treated group demonstrated a considerable increase in the expression of TNF-α cytokine and tumor suppressor gene P53 in the kidney and liver, while a significant reduction was detected in the anti-inflammatory cytokine IL-4 and the apoptosis suppressor gene BCL-2, compared to the control group. Interestingly, SCREE administration demonstrated the ability to significantly alleviate the toxic effects of NaNO and improve liver function in a dose-dependent manner, including hematological parameters, lipid profile, and modulation of histopathological architecture. Additionally, SCREE exhibited the ability to modulate the expression levels of inflammatory cytokines and apoptotic genes in the liver and kidney. The phytochemical analysis revealed a wide set of primary metabolites in SCREE, including phenolics, flavonoids, vitamins, alkaloids, saponins and tannins, while the untargeted UPLC/T-TOF-MS/MS analysis identified 183 metabolites in both positive and negative ionization modes. Together, our findings establish the potential of SCREE in mitigating the toxic effects of NaNO by modulating metabolic, inflammatory, and apoptosis. Together, this study underscores the promise of SCREE as a potential natural food detoxifying additive to counteract the harmful impacts of sodium nitrite.

摘要

亚硝酸钠(NaNO)是一种广泛使用的食品成分,尽管浓度过高会带来潜在健康风险。在本研究中,我们评估了亚硝酸钠添加剂对雄性Wistar大鼠血液学、代谢谱、肝功能和肾功能的恶化影响。我们进一步探究了补充苦参根乙醇提取物(SCREE)改善亚硝酸钠诱导的肝肾毒性的治疗潜力。在这方面,将65只成年雄性大鼠分为八组;第1组:对照组,第2、3和4组分别接受200、400和600毫克/千克体重的SCREE,第5组:亚硝酸钠(6.5毫克/千克体重),第6、7和8组分别接受亚硝酸钠(6.5毫克/千克体重)与SCREE(200、400和600毫克/千克体重)联合处理。我们的结果显示,亚硝酸钠处理组在体重和器官重量、血液学参数、血脂谱以及肝肾功障碍方面出现显著恶化变化,同时伴有免疫组化和组织病理学改变。此外,与对照组相比,亚硝酸钠处理组在肾脏和肝脏中肿瘤坏死因子-α细胞因子和肿瘤抑制基因P53的表达显著增加,而抗炎细胞因子白细胞介素-4和凋亡抑制基因BCL-2则显著减少。有趣的是,给予SCREE能够显著减轻亚硝酸钠的毒性作用,并以剂量依赖方式改善肝功能,包括血液学参数、血脂谱以及组织病理学结构的调节。此外,SCREE表现出调节肝脏和肾脏中炎性细胞因子和凋亡基因表达水平的能力。植物化学分析显示SCREE中含有多种初级代谢产物,包括酚类、黄酮类、维生素、生物碱、皂苷和单宁,而未靶向的超高效液相色谱/串联飞行时间质谱(UPLC/T-TOF-MS/MS)分析在正离子和负离子模式下共鉴定出183种代谢产物。总之,我们的研究结果证实了SCREE通过调节代谢、炎症和凋亡来减轻亚硝酸钠毒性作用的潜力。总之,本研究强调了SCREE作为一种潜在的天然食品解毒添加剂以抵消亚硝酸钠有害影响的前景。

https://cdn.ncbi.nlm.nih.gov/pmc/blobs/8f68/11177093/36496ad1c1d2/fphar-15-1378249-g001.jpg

文献AI研究员

20分钟写一篇综述,助力文献阅读效率提升50倍。

立即体验

用中文搜PubMed

大模型驱动的PubMed中文搜索引擎

马上搜索

文档翻译

学术文献翻译模型,支持多种主流文档格式。

立即体验