Suppr超能文献

使用 KRAS 和 MEK 抑制剂联合放疗对胰腺癌进行致癌性 RAS 信号的三重阻断。

Triple Blockade of Oncogenic RAS Signaling Using KRAS and MEK Inhibitors in Combination with Irradiation in Pancreatic Cancer.

机构信息

Department of Internal Medicine 3, Center of Integrated Oncology (CIO-ABCD) Aachen-Bonn-Cologne-Düsseldorf, University Hospital of Bonn, Venusberg Campus-1, 53127 Bonn, Germany.

Institute of Molecular Medicine and Experimental Immunology, University Hospital of Bonn, Venusberg Campus-1, 53127 Bonn, Germany.

出版信息

Int J Mol Sci. 2024 Jun 6;25(11):6249. doi: 10.3390/ijms25116249.

Abstract

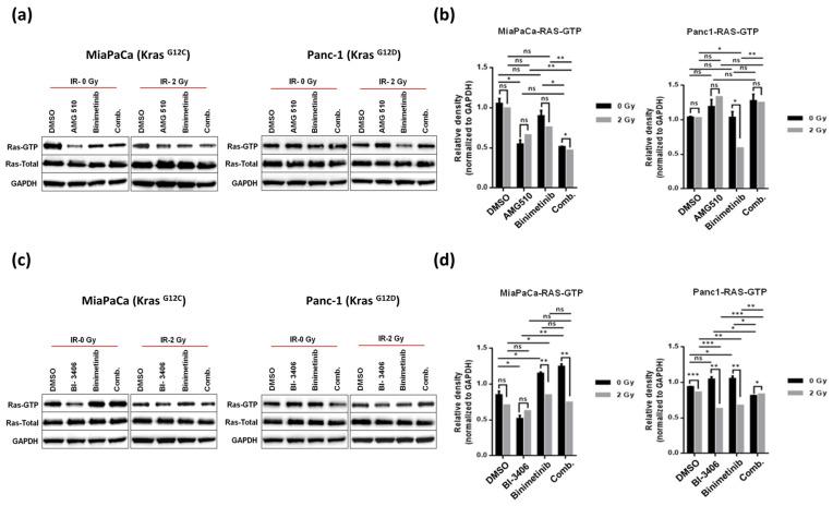
Pancreatic ductal adenocarcinoma (PDAC) is one of the deadliest of human malignancies and carries an exceptionally poor prognosis. It is mostly driven by multiple oncogenic alterations, with the highest mutation frequency being observed in the KRAS gene, which is a key oncogenic driver of tumorogenesis and malignant progression in PDAC. However, KRAS remained undruggable for decades until the emergence of G12C mutation specific KRAS inhibitors. Despite this development, this therapeutic approach to target KRAS directly is not routinely used for PDAC patients, with the reasons being the rare presence of G12C mutation in PDAC with only 1-2% of occurring cases, modest therapeutic efficacy, activation of compensatory pathways leading to cell resistance, and absence of effective KRASG12D or pan-KRAS inhibitors. Additionally, indirect approaches to targeting KRAS through upstream and downstream regulators or effectors were also found to be either ineffective or known to cause major toxicities. For this reason, new and more effective treatment strategies that combine different therapeutic modalities aiming at achieving synergism and minimizing intrinsic or adaptive resistance mechanisms are required. In the current work presented here, pancreatic cancer cell lines with oncogenic KRAS G12C, G12D, or wild-type KRAS were treated with specific KRAS or SOS1/2 inhibitors, and therapeutic synergisms with concomitant MEK inhibition and irradiation were systematically evaluated by means of cell viability, 2D-clonogenic, 3D-anchorage independent soft agar, and bioluminescent ATP assays. Underlying pathophysiological mechanisms were examined by using Western blot analyses, apoptosis assay, and RAS activation assay.

摘要

胰腺导管腺癌 (PDAC) 是人类恶性肿瘤中最致命的一种,预后极差。它主要由多种致癌改变驱动,KRAS 基因的突变频率最高,KRAS 是 PDAC 肿瘤发生和恶性进展的关键致癌驱动因子。然而,KRAS 几十年来一直无法被靶向治疗,直到 G12C 突变特异性 KRAS 抑制剂的出现。尽管有了这一发展,但针对 KRAS 直接靶向治疗的方法并未常规用于 PDAC 患者,原因是 PDAC 中 G12C 突变的发生率罕见,仅占 1-2%,治疗效果有限,激活补偿途径导致细胞耐药,以及缺乏有效的 KRASG12D 或泛 KRAS 抑制剂。此外,通过上游和下游调节剂或效应物间接靶向 KRAS 的方法也被发现无效或已知会引起重大毒性。因此,需要新的、更有效的治疗策略,结合不同的治疗模式,旨在实现协同作用,并最大限度地减少内在或适应性耐药机制。在目前这里提出的工作中,用特定的 KRAS 或 SOS1/2 抑制剂处理携带致癌 KRAS G12C、G12D 或野生型 KRAS 的胰腺癌细胞系,并通过细胞活力、2D 集落形成、3D 无锚定软琼脂和生物发光 ATP 测定系统评估与同时抑制 MEK 和照射的治疗协同作用。通过 Western blot 分析、凋亡测定和 RAS 激活测定检查潜在的病理生理机制。

https://cdn.ncbi.nlm.nih.gov/pmc/blobs/1718/11172716/762fc94fafe6/ijms-25-06249-g001.jpg

文献AI研究员

20分钟写一篇综述,助力文献阅读效率提升50倍。

立即体验

用中文搜PubMed

大模型驱动的PubMed中文搜索引擎

马上搜索

文档翻译

学术文献翻译模型,支持多种主流文档格式。

立即体验