Suppr超能文献

双侧葡萄膜黑色素瘤:对4例新的非亲缘关系患者遗传易感性的深入研究及已发表病例综述

Bilateral Uveal Melanoma: An Insight into Genetic Predisposition in Four New Unrelated Patients and Review of Published Cases.

作者信息

Silva-Rodríguez Paula, Bande Manuel, Pardo María, Domínguez Fernando, Loidi Lourdes, Blanco-Teijeiro María José

机构信息

Fundación Pública Galega de Medicina Xenómica (FPGMX), 15706 Santiago de Compostela, Spain.

Grupo de Oftalmología Traslacional, Área Oncología, Instituto de Investigación Sanitaria de Santiago de Compostela (IDIS), 15706 Santiago de Compostela, Spain.

出版信息

J Clin Med. 2024 May 22;13(11):3035. doi: 10.3390/jcm13113035.

Abstract

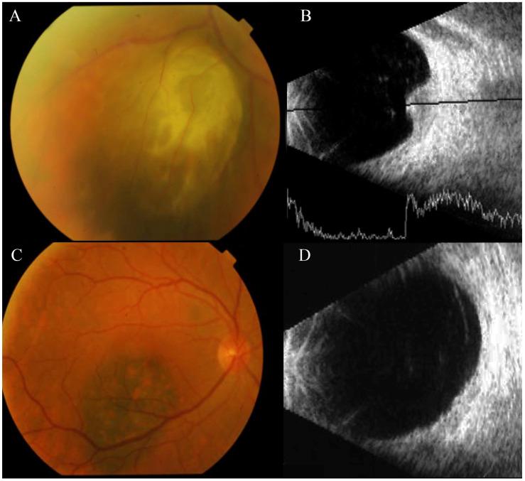
: Primary bilateral uveal melanoma (BUM) is an exceptionally rare form of uveal melanoma (UM). This study aimed to explore the potential existence of a genetic predisposition towards the development of BUM. : We employed an exome sequencing approach on germline DNA from four unrelated patients diagnosed with BUM, seeking pathogenic or likely pathogenic variants indicative of a genetic predisposition to UM. : None of the patients exhibited pathogenic variants in the gene. However, loss-of-function (LoF) variants in the and genes were identified in two of the BUM patients. For patients BUM1 and BUM2, no pathogenic/likely pathogenic variants of significant clinical relevance to BUM were found to warrant inclusion in this report. : Our findings suggest the presence of yet-to-be-discovered genes that may contribute to UM predisposition, as evidenced by the absence of pathogenic variants in known UM predisposition genes among the four BUM patients studied. The and genes emerge as noteworthy candidates for further investigation regarding their role in genetic predisposition to UM. Specifically, the potential role of UM as a candidate cancer within the spectrum of cancers linked to pathogenic variants in the gene and other genes associated with the complex warrants further examination. Additional functional studies are necessary to support or challenge this hypothesis.

摘要

原发性双侧葡萄膜黑色素瘤(BUM)是葡萄膜黑色素瘤(UM)中一种极为罕见的类型。本研究旨在探讨BUM发生发展过程中潜在的遗传易感性。我们对4例诊断为BUM的无关患者的生殖系DNA采用外显子测序方法,寻找提示UM遗传易感性的致病或可能致病变异。所有患者在该基因中均未表现出致病变异。然而,在2例BUM患者中发现了该基因和另一基因的功能丧失(LoF)变异。对于BUM1和BUM2患者,未发现与BUM具有显著临床相关性的致病/可能致病变异,因此本报告未将其纳入。我们的研究结果表明,在所研究的4例BUM患者中,已知的UM易感基因中未发现致病变异,这证明可能存在尚未被发现的基因,它们可能导致UM易感性。该基因和另一基因作为UM遗传易感性相关作用的值得进一步研究的候选基因出现。具体而言,UM作为与该基因及其他与该复合体相关基因的致病变异相关的癌症谱中的候选癌症的潜在作用值得进一步研究。需要更多的功能研究来支持或质疑这一假设。

https://cdn.ncbi.nlm.nih.gov/pmc/blobs/8a57/11172988/cf920639afb3/jcm-13-03035-g001.jpg

文献AI研究员

20分钟写一篇综述,助力文献阅读效率提升50倍。

立即体验

用中文搜PubMed

大模型驱动的PubMed中文搜索引擎

马上搜索

文档翻译

学术文献翻译模型,支持多种主流文档格式。

立即体验