Suppr超能文献

同时性双侧原发性脉络膜黑色素瘤合并双侧葡萄膜黑色素细胞增多症:罕见病例研究。

Simultaneous Bilateral Primary Choroidal Melanoma Linked to Bilateral Ocular Melanocytosis: A Rare Case Study.

机构信息

1st Department of Ophthalmology, "G. Gennimatas" General Hospital, National and Kapodistrian University of Athens, Athens, Greece.

出版信息

Am J Case Rep. 2024 Oct 24;25:e946129. doi: 10.12659/AJCR.946129.

Abstract

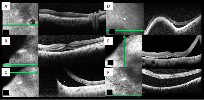
BACKGROUND Choroidal melanoma is the most common primary intraocular tumor in adults. Most primary choroidal melanomas are unilateral and unifocal. Bilateral primary choroidal melanomas are considered to be a rare occurrence. Ocular melanocytosis, especially when it is bilateral, increases the incidence of bilateral primary choroidal melanoma. CASE REPORT Our patient was a 78-year-old man who presented to the Emergency Department with floaters and a reduction in visual acuity in his left eye, with an onset 7 days prior. Upon macroscopic examination, the patient displayed bilateral pigmentation on the sclera, which was consistent with ocular melanocytosis. Fundoscopy revealed a large choroidal melanoma, situated superior and nasally of the posterior pole of the left eye, and a smaller choroidal melanoma, located inferonasally, in the right eye. Ultrasonography, optical coherence tomography, fundus autofluorescence, fundus fluorescein, and indocyanine green angiographies were performed, confirming the diagnosis of simultaneous bilateral primary choroidal melanomas. CONCLUSIONS This was a rare case of bilateral ocular melanocytosis, which increased the probability of bilateral primary choroidal melanoma. To the best of our knowledge, this is the first case in Greece to be reported. This case illustrates the necessity of always examining the fellow eye on initial presentation and over a long follow-up. We should always bear in mind that choroidal melanoma can be a bilateral disease, albeit very rarely.

摘要

背景

脉络膜黑色素瘤是成年人中最常见的原发性眼内肿瘤。大多数原发性脉络膜黑色素瘤为单侧、单灶性。双侧原发性脉络膜黑色素瘤被认为是一种罕见的情况。眼黑色素细胞增多症,尤其是双侧时,会增加双侧原发性脉络膜黑色素瘤的发病率。

病例报告

我们的患者是一名 78 岁男性,因左眼出现漂浮物和视力下降而到急诊科就诊,发病时间为 7 天前。宏观检查显示,患者的巩膜双侧均有色素沉着,符合眼黑色素细胞增多症的表现。眼底检查显示左眼后极上方和鼻侧有一个大的脉络膜黑色素瘤,右眼鼻下方有一个较小的脉络膜黑色素瘤。进行了超声检查、光学相干断层扫描、眼底自发荧光、眼底荧光素血管造影和吲哚青绿血管造影,确诊为双侧同时性原发性脉络膜黑色素瘤。

结论

这是一例罕见的双侧眼黑色素细胞增多症病例,增加了双侧原发性脉络膜黑色素瘤的可能性。据我们所知,这是希腊首例报告的病例。该病例说明了在初次就诊和长期随访时始终检查对侧眼的必要性。我们应该始终牢记,脉络膜黑色素瘤虽然很少见,但也可能是双侧疾病。

https://cdn.ncbi.nlm.nih.gov/pmc/blobs/819d/11520808/5b6e3af5042c/amjcaserep-25-e946129-g001.jpg

文献AI研究员

20分钟写一篇综述,助力文献阅读效率提升50倍。

立即体验

用中文搜PubMed

大模型驱动的PubMed中文搜索引擎

马上搜索

文档翻译

学术文献翻译模型,支持多种主流文档格式。

立即体验