Suppr超能文献

TGF-β 通过抑制 Wnt 和 BMP 信号来调节人胚胎干细胞源性前肠内胚层的细胞命运。

TGF-β modulates cell fate in human ES cell-derived foregut endoderm by inhibiting Wnt and BMP signaling.

机构信息

Novo Nordisk Foundation Center for Stem Cell Biology (DanStem), Faculty of Health and Medical Sciences, University of Copenhagen, 2200 Copenhagen, Denmark.

Novo Nordisk Foundation Center for Stem Cell Biology (DanStem), Faculty of Health and Medical Sciences, University of Copenhagen, 2200 Copenhagen, Denmark; Novo Nordisk Foundation Center for Stem Cell Medicine, reNEW, Faculty of Health and Medical Sciences, University of Copenhagen, 2200 Copenhagen, Denmark.

出版信息

Stem Cell Reports. 2024 Jul 9;19(7):973-992. doi: 10.1016/j.stemcr.2024.05.010. Epub 2024 Jun 27.

Abstract

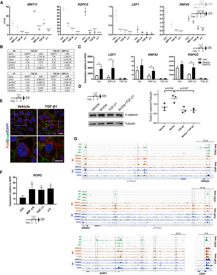
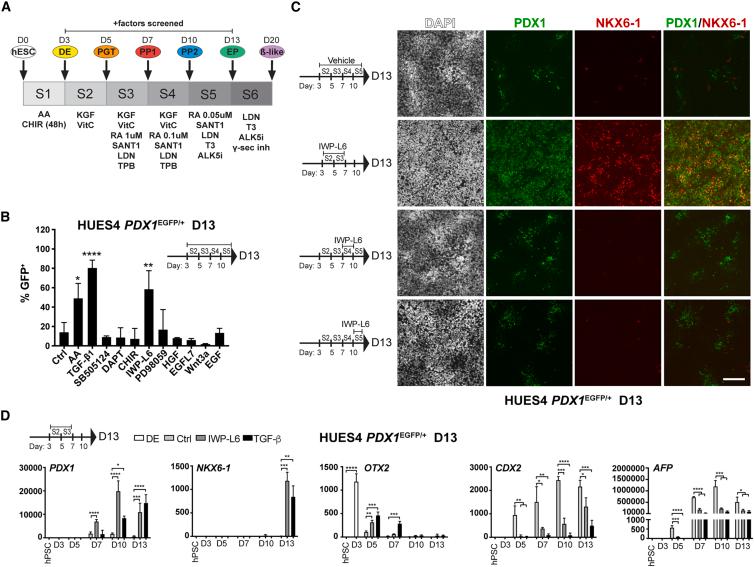
Genetic differences between pluripotent stem cell lines cause variable activity of extracellular signaling pathways, limiting reproducibility of directed differentiation protocols. Here we used human embryonic stem cells (hESCs) to interrogate how exogenous factors modulate endogenous signaling events during specification of foregut endoderm lineages. We find that transforming growth factor β1 (TGF-β1) activates a putative human OTX2/LHX1 gene regulatory network which promotes anterior fate by antagonizing endogenous Wnt signaling. In contrast to Porcupine inhibition, TGF-β1 effects cannot be reversed by exogenous Wnt ligands, suggesting that induction of SHISA proteins and intracellular accumulation of Fzd receptors render TGF-β1-treated cells refractory to Wnt signaling. Subsequently, TGF-β1-mediated inhibition of BMP and Wnt signaling suppresses liver fate and promotes pancreas fate. Furthermore, combined TGF-β1 treatment and Wnt inhibition during pancreatic specification reproducibly and robustly enhance INSULIN cell yield across hESC lines. This modification of widely used differentiation protocols will enhance pancreatic β cell yield for cell-based therapeutic applications.

摘要

多能干细胞系之间的遗传差异导致细胞外信号通路的活性不同,从而限制了定向分化方案的可重复性。在这里,我们使用人类胚胎干细胞(hESC)来探究外源性因素如何在原肠内胚层谱系的特化过程中调节内源性信号事件。我们发现转化生长因子β1(TGF-β1)激活了一个假定的人类 OTX2/LHX1 基因调控网络,该网络通过拮抗内源性 Wnt 信号促进前体命运。与刺猬抑制不同,TGF-β1 的作用不能被外源性 Wnt 配体逆转,这表明 SHISA 蛋白的诱导和 Fzd 受体的细胞内积累使 TGF-β1 处理的细胞对 Wnt 信号不敏感。随后,TGF-β1 介导的 BMP 和 Wnt 信号抑制抑制肝脏命运并促进胰腺命运。此外,在胰腺特化过程中联合 TGF-β1 处理和 Wnt 抑制可在 hESC 系中反复且强烈地提高 INSULIN 细胞产量。对广泛使用的分化方案的这种修改将提高基于细胞的治疗应用中胰腺β细胞的产量。

https://cdn.ncbi.nlm.nih.gov/pmc/blobs/209b/11252478/8ed15d338f0b/fx1.jpg

文献AI研究员

20分钟写一篇综述,助力文献阅读效率提升50倍。

立即体验

用中文搜PubMed

大模型驱动的PubMed中文搜索引擎

马上搜索

文档翻译

学术文献翻译模型,支持多种主流文档格式。

立即体验