Suppr超能文献

巨噬细胞移动抑制因子(MIF)通过干扰 PINK1-Parkin 蛋白相互作用来抑制脓毒症相关急性肾损伤中的线粒体自噬。

Macrophage migration inhibitory factor (MIF) suppresses mitophagy through disturbing the protein interaction of PINK1-Parkin in sepsis-associated acute kidney injury.

机构信息

Department of Critical Care Medicine, Zhongnan Hospital of Wuhan University, Wuhan, Hubei province, 430071, China.

出版信息

Cell Death Dis. 2024 Jul 2;15(7):473. doi: 10.1038/s41419-024-06826-z.

Abstract

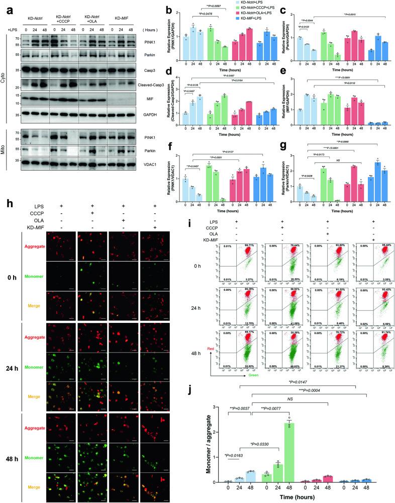
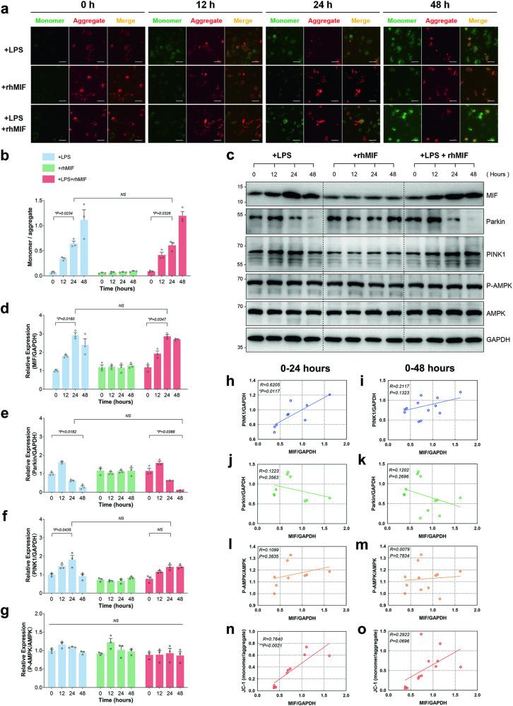
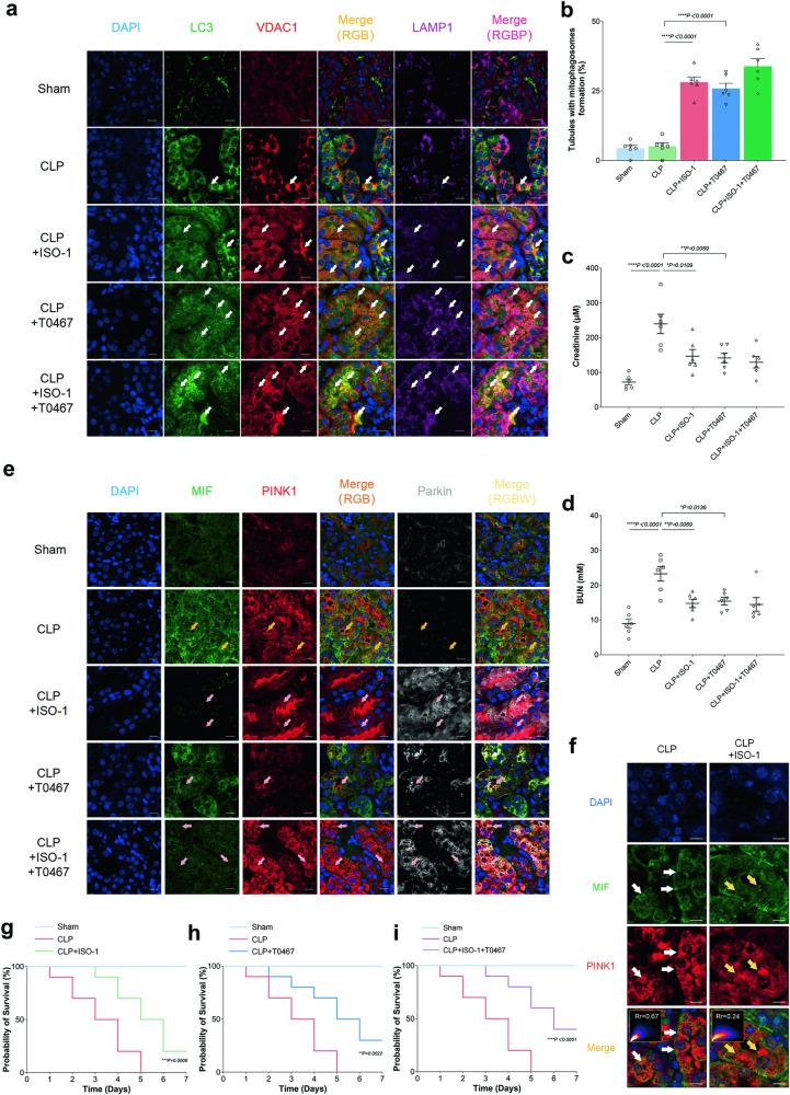
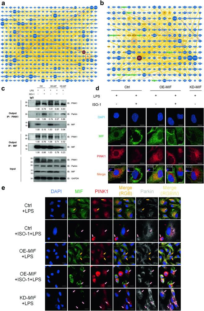
Damage to renal tubular epithelial cells (RTECs) signaled the onset and progression of sepsis-associated acute kidney injury (SA-AKI). Recent research on mitochondria has revealed that mitophagy plays a crucial physiological role in alleviating injury to RTECs and it is suppressed progressively by the inflammation response in SA-AKI. However, the mechanism by which inflammation influences mitophagy remains poorly understood. We examined how macrophage migration inhibitory factor (MIF), a pro-inflammatory protein, influences the PINK1-Parkin pathway of mitophagy by studying protein-protein interactions when MIF was inhibited or overexpressed. Surprisingly, elevated levels of MIF were found to directly bind to PINK1, disrupting its interaction with Parkin. This interference hindered the recruitment of Parkin to mitochondria and impeded the initiation of mitophagy. Furthermore, this outcome led to significant apoptosis of RTECs, which could, however, be reversed by an MIF inhibitor ISO-1 and/or a new mitophagy activator T0467. These findings highlight the detrimental impact of MIF on renal damage through its disruption of the interaction between PINK1 and Parkin, and the therapeutic potential of ISO-1 and T0467 in mitigating SA-AKI. This study offers a fresh perspective on treating SA-AKI by targeting MIF and mitophagy.

摘要

肾管状上皮细胞 (RTEC) 的损伤标志着脓毒症相关急性肾损伤 (SA-AKI) 的开始和进展。最近对线粒体的研究表明,自噬在缓解 RTEC 损伤方面发挥着至关重要的生理作用,而自噬在 SA-AKI 中的炎症反应中逐渐受到抑制。然而,炎症影响自噬的机制仍知之甚少。我们通过研究抑制或过表达 MIF 时蛋白质-蛋白质相互作用,研究了促炎蛋白巨噬细胞移动抑制因子 (MIF) 如何影响自噬的 PINK1-Parkin 途径。令人惊讶的是,发现高水平的 MIF 可直接与 PINK1 结合,破坏其与 Parkin 的相互作用。这种干扰阻碍了 Parkin 向线粒体的募集,并阻碍了自噬的起始。此外,这一结果导致 RTEC 的凋亡显著增加,但可以通过 MIF 抑制剂 ISO-1 和/或新的自噬激活剂 T0467 逆转。这些发现强调了 MIF 通过破坏 PINK1 和 Parkin 之间的相互作用对肾脏损伤的有害影响,以及 ISO-1 和 T0467 在减轻 SA-AKI 中的治疗潜力。本研究通过靶向 MIF 和自噬为治疗 SA-AKI 提供了新的视角。

https://cdn.ncbi.nlm.nih.gov/pmc/blobs/b770/11220046/ffe746c456b0/41419_2024_6826_Fig1_HTML.jpg

文献AI研究员

20分钟写一篇综述,助力文献阅读效率提升50倍。

立即体验

用中文搜PubMed

大模型驱动的PubMed中文搜索引擎

马上搜索

文档翻译

学术文献翻译模型,支持多种主流文档格式。

立即体验