Suppr超能文献

食管癌中R-spondin 1的免疫意义及R-spondin 1相关预后特征的鉴定与验证

Identification and Validation of Immune Implication of R-Spondin 1 and an R-Spondin 1-Related Prognostic Signature in Esophagus Cancer.

作者信息

Lin Yuansheng, Lou Xinqi, Li Shengjun, Cai Wei, Che Tuanjie

机构信息

Department of Intensive Care Unit Suzhou Hospital Affiliated Hospital of Medical School Nanjing University, Suzhou 215000, China.

Institute of Clinical Medicine Research Suzhou Hospital Affiliated Hospital of Medical School Nanjing University, Suzhou 215000, China.

出版信息

Int J Genomics. 2024 May 29;2024:7974277. doi: 10.1155/2024/7974277. eCollection 2024.

Abstract

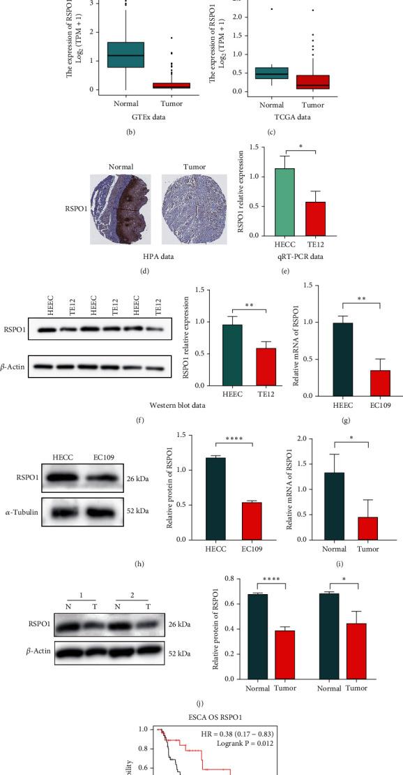
R-spondin 1 (RSPO1), which encodes a secretory-activating protein, is a promising therapeutic target for various tumors. The aim of this study was to establish a robust RSPO1-related signature specific to esophageal cancer (ESCA). Our comprehensive study involved meticulous analysis of RSPO1 expression in ESCA tissues and validation across ESCA cell lines and clinical samples using The Cancer Genome Atlas (TCGA) and GTEx databases. Using TCGA-ESCA dataset, we employed single-sample gene set enrichment analysis (ssGSEA) to elucidate the complex interaction between RSPO1 expression and the abundance of 22 specific immune cell types infiltrating ESCA. The biological significance of RSPO1 was further elucidated using KEGG, GO, and GSEA, demonstrating its relevance to pivotal tumor and immune pathways. This study culminated in the construction of prognostic nomograms enriched by calibration curves, facilitating the projection of individual survival probabilities at intervals of one, three, and five years. A substantial decrease in RSPO1 expression was observed within ESCA tissues and cell lines compared to their normal esophageal counterparts, and a significant decrease in the proportion of activated dendritic cells was evident within ESCA, accompanied by an augmented presence of macrophages and naive B cells relative to normal tissue. GSEA and KEGG analyses showed that RSPO1 was associated with tumor and immune pathways. Additionally, an independent prognostic risk score based on the RSPO1-related gene signature was developed and validated for patients with ESCA. Finally, RT-qPCR and western blotting were performed to confirm RSPO1 expression in normal and ESCA cell lines and tissue samples. In summary, our investigation underscores the pivotal role of RSPO1 in orchestrating tumor immunity and proposes RSPO1 as a prospective target for immunotherapeutic interventions in ESCA. Furthermore, the intricate profile of the two RSPO1-related genes has emerged as a promising predictive biomarker with notable potential for application in ESCA.

摘要

R-spondin 1(RSPO1)编码一种分泌激活蛋白,是多种肿瘤有前景的治疗靶点。本研究的目的是建立一个针对食管癌(ESCA)的强大的RSPO1相关特征。我们的综合研究包括对ESCA组织中RSPO1表达进行细致分析,并使用癌症基因组图谱(TCGA)和GTEx数据库在ESCA细胞系和临床样本中进行验证。利用TCGA-ESCA数据集,我们采用单样本基因集富集分析(ssGSEA)来阐明RSPO1表达与浸润ESCA的22种特定免疫细胞类型丰度之间的复杂相互作用。使用KEGG、GO和GSEA进一步阐明了RSPO1的生物学意义,证明其与关键的肿瘤和免疫途径相关。本研究最终构建了通过校准曲线丰富的预后列线图,便于预测1年、3年和5年间隔的个体生存概率。与正常食管组织相比,ESCA组织和细胞系中观察到RSPO1表达显著降低,ESCA中活化树突状细胞比例明显降低,同时与正常组织相比,巨噬细胞和幼稚B细胞的存在增加。GSEA和KEGG分析表明,RSPO1与肿瘤和免疫途径相关。此外,基于RSPO1相关基因特征开发了独立的预后风险评分,并在ESCA患者中进行了验证。最后,进行RT-qPCR和蛋白质免疫印迹以确认正常和ESCA细胞系及组织样本中RSPO1的表达。总之,我们的研究强调了RSPO1在协调肿瘤免疫中的关键作用,并提出RSPO1作为ESCA免疫治疗干预的潜在靶点。此外,两个RSPO1相关基因的复杂图谱已成为一种有前景的预测生物标志物,在ESCA中具有显著的应用潜力。

https://cdn.ncbi.nlm.nih.gov/pmc/blobs/3072/11222003/ef2df9d3c59f/IJG2024-7974277.001.jpg

文献AI研究员

20分钟写一篇综述,助力文献阅读效率提升50倍。

立即体验

用中文搜PubMed

大模型驱动的PubMed中文搜索引擎

马上搜索

文档翻译

学术文献翻译模型,支持多种主流文档格式。

立即体验