Suppr超能文献

水平获得的铁摄取系统、耶尔森菌素的转录调控及其对全球新兴菌株氧化应激耐受性和致病性的贡献。

The transcriptional regulation of the horizontally acquired iron uptake system, yersiniabactin and its contribution to oxidative stress tolerance and pathogenicity of globally emerging strains.

机构信息

The Infectious Diseases Research Laboratory, Sheba Medical Center, Tel-Hashomer, Israel.

Faculty of Medicine, Tel Aviv University, Tel Aviv, Israel.

出版信息

Gut Microbes. 2024 Jan-Dec;16(1):2369339. doi: 10.1080/19490976.2024.2369339. Epub 2024 Jul 4.

Abstract

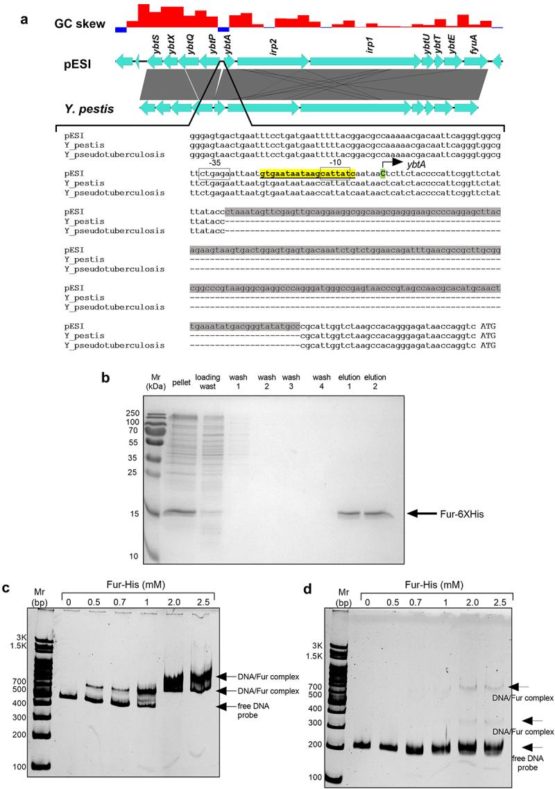
The bacterial species () is a highly diverse pathogen containing more than 2600 distinct serovars, which can infect a wide range of animal and human hosts. Recent global emergence of multidrug resistant strains, from serovars Infantis and Muenchen is associated with acquisition of the epidemic megaplasmid, pESI that augments antimicrobial resistance and pathogenicity. One of the main pESI's virulence factors is the potent iron uptake system, yersiniabactin encoded by , and gene cluster. Here we show that yersiniabactin, has an underappreciated distribution among different serovars and subspecies, integrated in their chromosome or carried by different conjugative plasmids, including pESI. While the genetic organization and the coding sequence of the yersiniabactin genes are generally conserved, a 201-bp insertion sequence upstream to , was identified in pESI. Despite this insertion, pESI-encoded yersiniabactin is regulated by YbtA and the ancestral Ferric Uptake Regulator (Fur), which binds directly to the and promoters. Furthermore, we show that yersiniabactin genes are specifically induced during the mid-late logarithmic growth phase and in response to iron-starvation or hydrogen peroxide. Concurring, yersiniabactin was found to play a previously unknown role in oxidative stress tolerance and to enhance intestinal colonization of . Infantis in mice. These results indicate that yersiniabactin contributes to fitness and pathogenicity and is likely to play a role in the rapid dissemination of pESI among globally emerging lineages.

摘要

细菌种 () 是一种高度多样化的病原体,包含超过 2600 种不同的血清型,可感染广泛的动物和人类宿主。最近在全球范围内出现的耐多药菌株,来自血清型 Infantis 和 Muenchen,与获得流行的大质粒 pESI 有关,该质粒增强了抗菌药物耐药性和致病性。pESI 的主要毒力因子之一是强大的铁摄取系统,由 和 基因簇编码的耶尔森菌素。在这里,我们表明耶尔森菌素在不同的 血清型和亚种中分布不广,整合在其染色体中或由不同的可接合质粒携带,包括 pESI。虽然耶尔森菌素基因的遗传组织和编码序列通常保守,但在 pESI 中发现了一个 201bp 的插入序列,位于 上游。尽管存在这种插入,但 pESI 编码的耶尔森菌素受 YbtA 和原始铁摄取调节因子 (Fur) 的调节,后者直接与 和 启动子结合。此外,我们表明,耶尔森菌素基因在对数中期晚期生长阶段和铁饥饿或过氧化氢应激时特异性诱导。耶尔森菌素在氧化应激耐受和增强 Infantis 在小鼠中的肠道定植中发挥了以前未知的作用。这些结果表明,耶尔森菌素有助于 的适应性和致病性,并且可能在 pESI 在全球新兴 谱系中的快速传播中发挥作用。

https://cdn.ncbi.nlm.nih.gov/pmc/blobs/8ea9/11225919/6b7c27d154e2/KGMI_A_2369339_F0001_OC.jpg

文献AI研究员

20分钟写一篇综述,助力文献阅读效率提升50倍。

立即体验

用中文搜PubMed

大模型驱动的PubMed中文搜索引擎

马上搜索

文档翻译

学术文献翻译模型,支持多种主流文档格式。

立即体验