Suppr超能文献

MBNL2通过抑制Krüppel样因子4的SUMO化来促进衰老相关的心脏纤维化。

MBNL2 promotes aging-related cardiac fibrosis via inhibited SUMOylation of Krüppel-like factor4.

作者信息

Lu Jing, Zhao Qi, Wang Lu, Li Jiahao, Wang Hongyan, Lv Lin, Yuan Meng, Chen Qiuyu, Zhang Zixin, Luo Dankun, Sheng Siqi, Yuan Keying, Liu Guannan, Liu Mingyu, Shi Yuanqi, Guo Yuanyuan, Dong Zengxiang

机构信息

Department of Pharmacy, The First Affiliated Hospital of Harbin Medical University, Youzheng Street, Nangang District, Harbin 150001, China.

The Key Laboratory of Cardiovascular Disease Acousto-Optic Electromagnetic Diagnosis and Treatment in Heilongjiang Province, The First Affiliated Hospital of Harbin Medical University, Youzheng Street, Nangang District, Harbin150001, China.

出版信息

iScience. 2024 Jun 3;27(7):110163. doi: 10.1016/j.isci.2024.110163. eCollection 2024 Jul 19.

Abstract

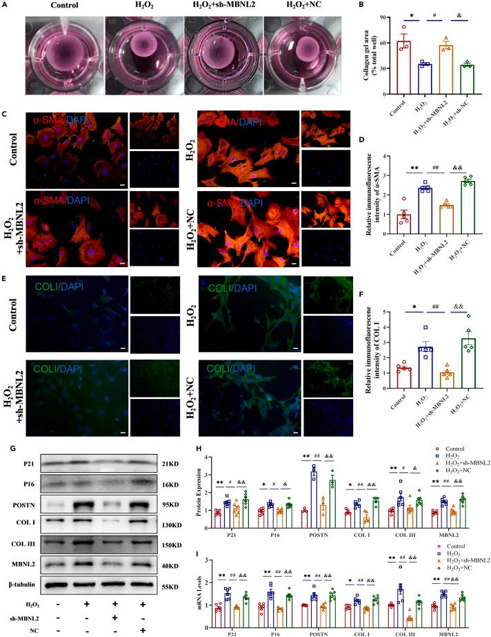
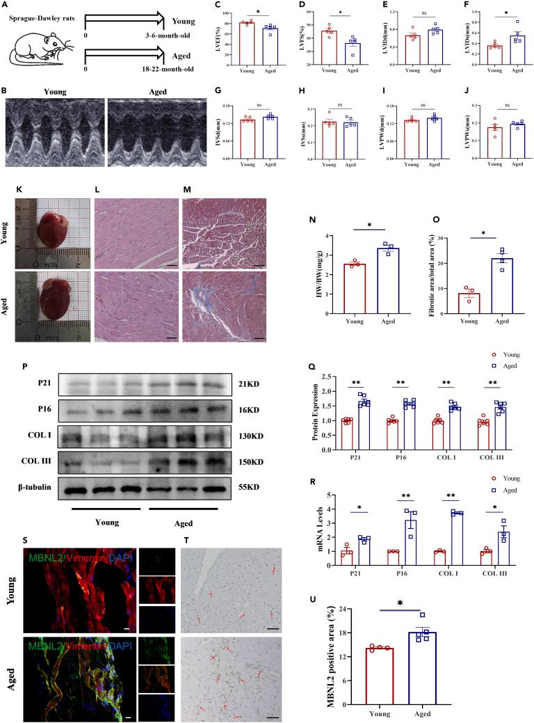
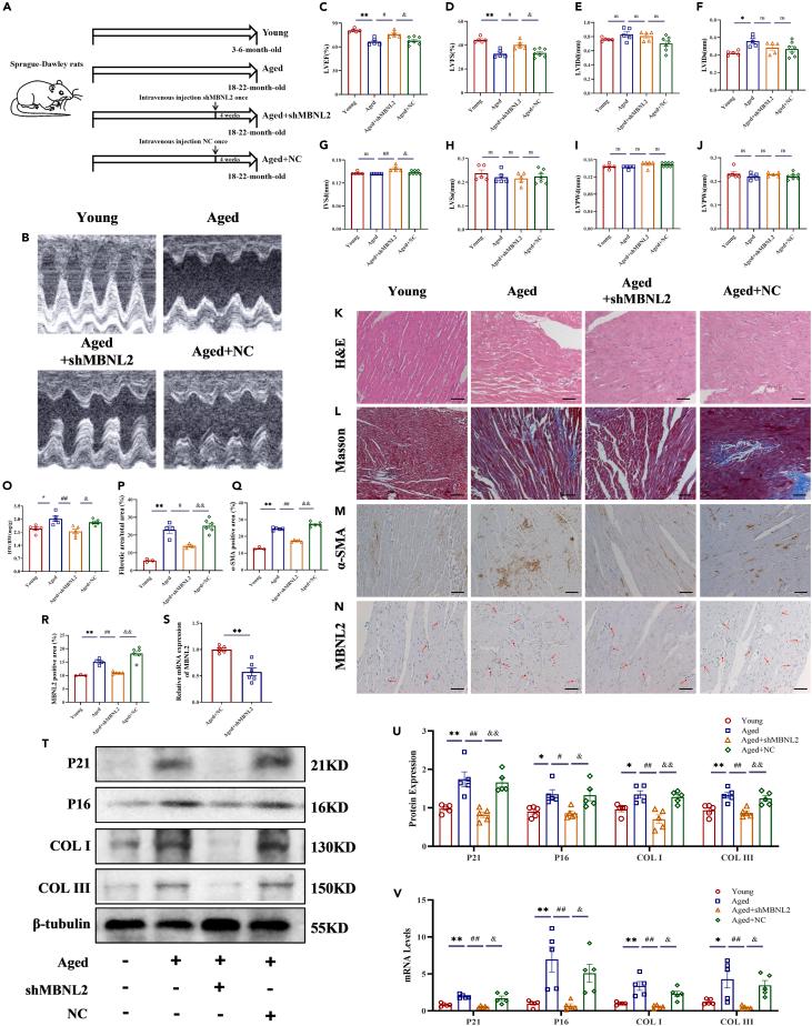
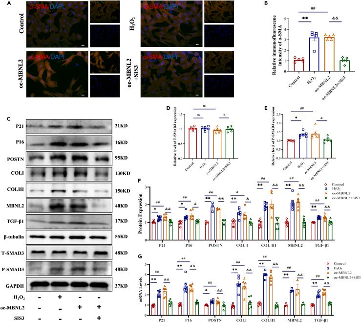
Aging-related cardiac fibrosis represents the principal pathological progression in cardiovascular aging. The Muscleblind-like splicing regulator 2 (MBNL2) has been unequivocally established as being associated with cardiovascular diseases. Nevertheless, its role in aging-related cardiac fibrosis remains unexplored. This investigation revealed an elevation of MBNL2 levels in the aged heart and senescent cardiac fibroblasts. Notably, the inhibition of MBNL2 demonstrated a capacity to mitigate HO-induced myofibroblast transformation and aging-related cardiac fibrosis. Further mechanistic exploration unveiled that aging heightened the expression of SENP1 and impeded the SUMO1 binding with KLF4, and SUMOylation of KLF4 effectively increased by the inhibition of MBNL2. Additionally, the inhibition of TGF-β1/SMAD3 signaling attenuated the impact of over-expression of MBNL2 in inducing senescence and cardiac fibrosis. MBNL2, by orchestrating SUMOylation of KLF4, upregulating the TGF-β1/SMAD3 signaling pathway, emerges as a significant promoter of aging-related cardiac fibrosis. This discovery identifies a novel regulatory target for managing aging-related cardiac fibrosis.

摘要

衰老相关的心脏纤维化是心血管衰老的主要病理进程。肌肉盲样剪接调节因子2(MBNL2)已被明确证实与心血管疾病有关。然而,其在衰老相关心脏纤维化中的作用仍未得到探索。本研究发现老年心脏和衰老心脏成纤维细胞中MBNL2水平升高。值得注意的是,抑制MBNL2显示出减轻过氧化氢诱导的成肌纤维细胞转化和衰老相关心脏纤维化的能力。进一步的机制探索表明,衰老会增加SENP1的表达并阻碍SUMO1与KLF4的结合,而抑制MBNL2可有效增加KLF4的SUMO化。此外,抑制TGF-β1/SMAD3信号通路可减弱MBNL2过表达在诱导衰老和心脏纤维化方面的影响。MBNL2通过协调KLF4的SUMO化,上调TGF-β1/SMAD3信号通路,成为衰老相关心脏纤维化的重要促进因子。这一发现为治疗衰老相关心脏纤维化确定了一个新的调控靶点。

https://cdn.ncbi.nlm.nih.gov/pmc/blobs/3756/11226984/e96be690a834/fx1.jpg

文献AI研究员

20分钟写一篇综述,助力文献阅读效率提升50倍。

立即体验

用中文搜PubMed

大模型驱动的PubMed中文搜索引擎

马上搜索

文档翻译

学术文献翻译模型,支持多种主流文档格式。

立即体验