Suppr超能文献

机器学习的多组学分析将溶血磷脂酸鉴定为猪繁殖与呼吸综合征的生物标志物和治疗靶点。

Multi-Omics Analysis by Machine Learning Identified Lysophosphatidic Acid as a Biomarker and Therapeutic Target for Porcine Reproductive and Respiratory Syndrome.

机构信息

Sate Key Laboratory of Biocontrol, School of Life Sciences, Sun Yat-sen University, Guangzhou, 510006, China.

Department of Medicine, Division of Infectious Diseases, Stanford University, Stanford, CA, 94305, USA.

出版信息

Adv Sci (Weinh). 2024 Sep;11(34):e2402025. doi: 10.1002/advs.202402025. Epub 2024 Jul 8.

Abstract

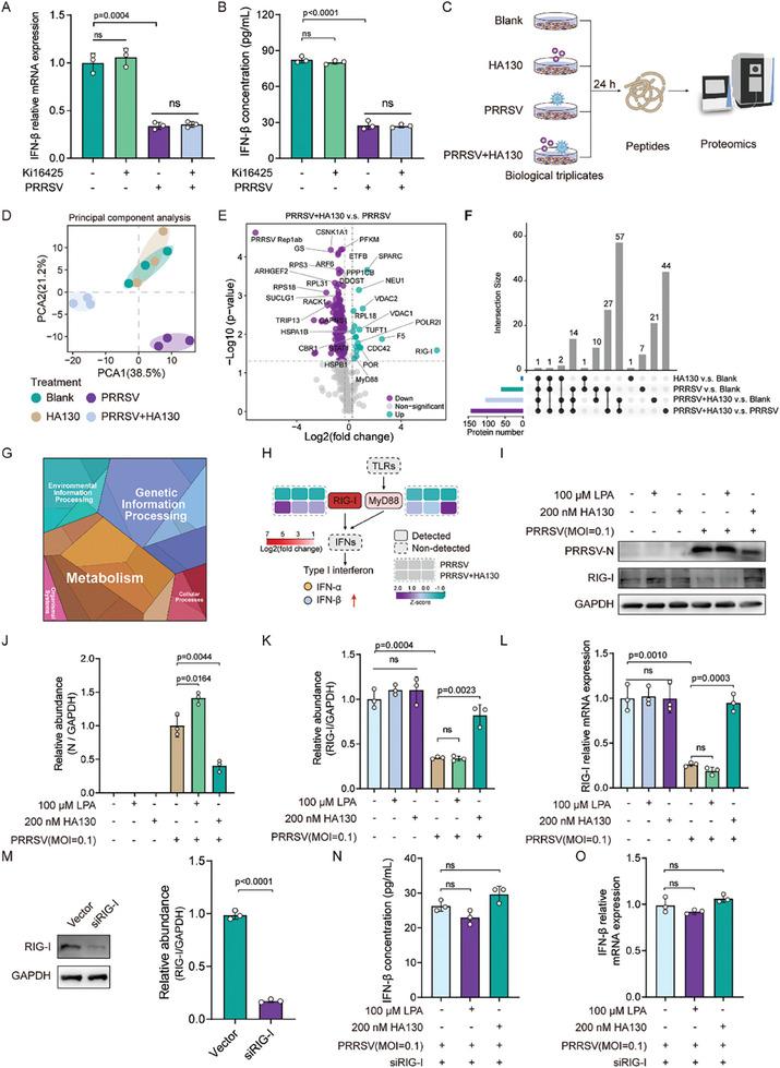
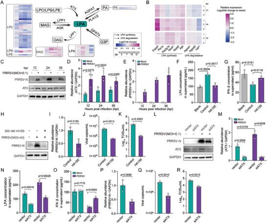
As a significant infectious disease in livestock, porcine reproductive and respiratory syndrome (PRRS) imposes substantial economic losses on the swine industry. Identification of diagnostic markers and therapeutic targets has been a focal challenge in PPRS prevention and control. By integrating metabolomic and lipidomic serum analyses of clinical pig cohorts through a machine learning approach with in vivo and in vitro infection models, lysophosphatidic acid (LPA) is discovered as a serum metabolic biomarker for PRRS virus (PRRSV) clinical diagnosis. PRRSV promoted LPA synthesis by upregulating the autotaxin expression, which causes innate immunosuppression by dampening the retinoic acid-inducible gene I (RIG-I) and type I interferon responses, leading to enhanced virus replication. Targeting LPA demonstrated protection against virus infection and associated disease outcomes in infected pigs, indicating that LPA is a novel antiviral target against PRRSV. This study lays a foundation for clinical prevention and control of PRRSV infections.

摘要

作为一种重要的家畜传染病,猪繁殖与呼吸综合征(PRRS)给养猪业造成了巨大的经济损失。鉴定诊断标志物和治疗靶点一直是 PRRS 预防和控制的焦点挑战。本研究通过整合临床猪群的代谢组学和脂质组学血清分析,采用机器学习方法与体内和体外感染模型相结合,发现溶血磷脂酸(LPA)是 PRRS 病毒(PRRSV)临床诊断的血清代谢标志物。PRRSV 通过上调自分泌酶(autotaxin)的表达来促进 LPA 的合成,自分泌酶(autotaxin)的表达会通过抑制视黄酸诱导基因 I(RIG-I)和 I 型干扰素反应来导致先天免疫抑制,从而导致病毒复制增强。靶向 LPA 可在感染猪中针对病毒感染和相关疾病结果提供保护,表明 LPA 是针对 PRRSV 的新型抗病毒靶标。本研究为 PRRSV 感染的临床预防和控制奠定了基础。

https://cdn.ncbi.nlm.nih.gov/pmc/blobs/cf0f/11425916/500026fc2414/ADVS-11-2402025-g007.jpg

文献AI研究员

20分钟写一篇综述,助力文献阅读效率提升50倍。

立即体验

用中文搜PubMed

大模型驱动的PubMed中文搜索引擎

马上搜索

文档翻译

学术文献翻译模型,支持多种主流文档格式。

立即体验