Suppr超能文献

Hippo 通路转录因子 YAP 和 TAZ 在宫颈癌中发挥 HPV 型依赖性作用。

The Hippo pathway transcription factors YAP and TAZ play HPV-type dependent roles in cervical cancer.

机构信息

School of Molecular and Cellular Biology, Faculty of Biological Sciences, University of Leeds, Leeds, LS2 9JT, UK.

Astbury Centre for Structural Molecular Biology, University of Leeds, Leeds, UK.

出版信息

Nat Commun. 2024 Jul 10;15(1):5809. doi: 10.1038/s41467-024-49965-9.

Abstract

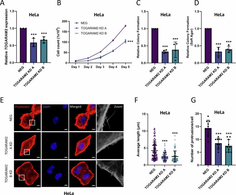
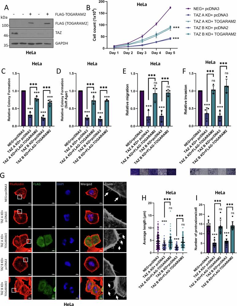
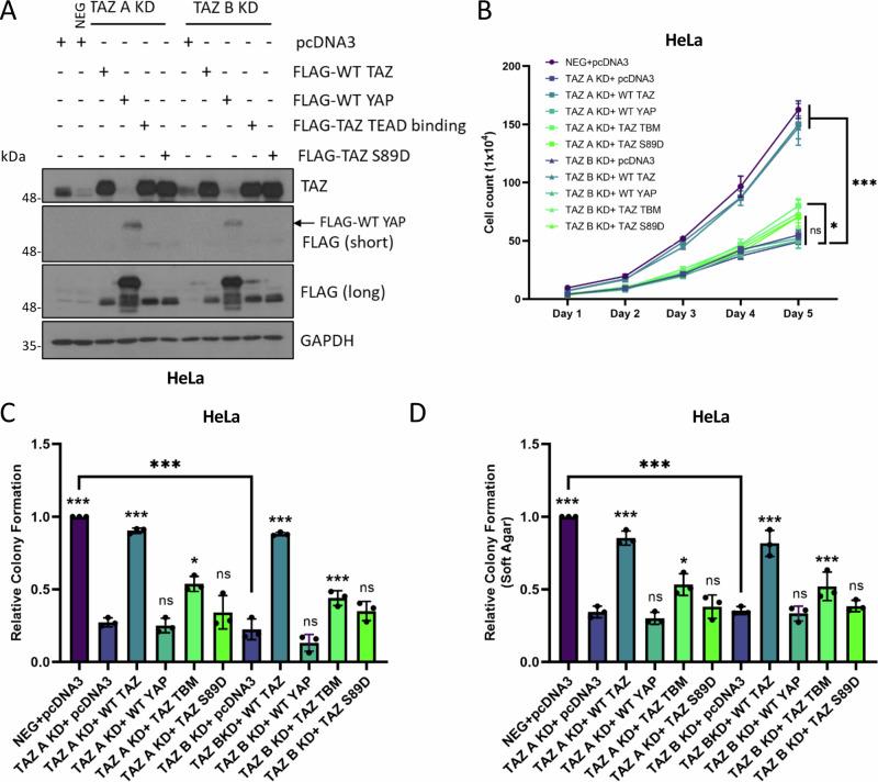
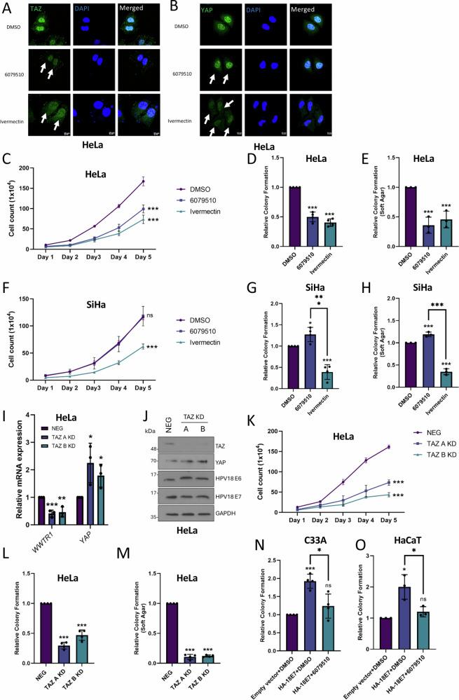
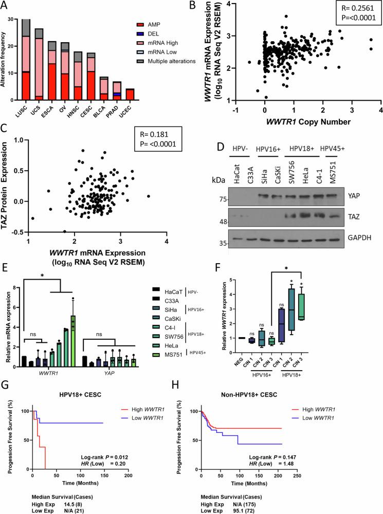
Human papillomaviruses (HPVs) cause most cervical cancers and an increasing number of anogenital and oral carcinomas, with most cases caused by HPV16 or HPV18. HPV hijacks host signalling pathways to promote carcinogenesis. Understanding these interactions could permit identification of much-needed therapeutics for HPV-driven malignancies. The Hippo signalling pathway is important in HPV+ cancers, with the downstream effector YAP playing a pro-oncogenic role. In contrast, the significance of its paralogue TAZ remains largely uncharacterised in these cancers. We demonstrate that TAZ is dysregulated in a HPV-type dependent manner by a distinct mechanism to that of YAP and controls proliferation via alternative cellular targets. Analysis of cervical cancer cell lines and patient biopsies revealed that TAZ expression was only significantly increased in HPV18+ and HPV18-like cells and TAZ knockdown reduced proliferation, migration and invasion only in HPV18+ cells. RNA-sequencing of HPV18+ cervical cells revealed that YAP and TAZ have distinct targets, suggesting they promote carcinogenesis by different mechanisms. Thus, in HPV18+ cancers, YAP and TAZ play non-redundant roles. This analysis identified TOGARAM2 as a previously uncharacterised TAZ target and demonstrates its role as a key effector of TAZ-mediated proliferation, migration and invasion in HPV18+ cancers.

摘要

人乳头瘤病毒(HPV)可引起大多数宫颈癌以及越来越多的肛门生殖器和口腔癌,其中大多数病例由 HPV16 或 HPV18 引起。HPV 劫持宿主信号通路以促进癌变。了解这些相互作用可以确定针对 HPV 驱动的恶性肿瘤的急需治疗方法。Hippo 信号通路在 HPV+癌症中很重要,下游效应物 YAP 发挥致癌作用。相比之下,其同源物 TAZ 在这些癌症中的作用在很大程度上仍未得到充分描述。我们证明 TAZ 以依赖 HPV 型的方式通过与 YAP 不同的机制失调,并通过替代细胞靶标控制增殖。对宫颈癌细胞系和患者活检的分析表明,仅在 HPV18+ 和 HPV18 样细胞中显著增加 TAZ 表达,并且 TAZ 敲低仅在 HPV18+ 细胞中降低增殖、迁移和侵袭。HPV18+ 宫颈细胞的 RNA 测序揭示了 YAP 和 TAZ 具有不同的靶标,表明它们通过不同的机制促进癌变。因此,在 HPV18+ 癌症中,YAP 和 TAZ 发挥非冗余作用。该分析确定了 TOGARAM2 作为 TAZ 的一个以前未被描述的靶标,并证明了其在 HPV18+ 癌症中作为 TAZ 介导的增殖、迁移和侵袭的关键效应物的作用。

https://cdn.ncbi.nlm.nih.gov/pmc/blobs/34d7/11237029/1c2f4a002fea/41467_2024_49965_Fig1_HTML.jpg

文献AI研究员

20分钟写一篇综述,助力文献阅读效率提升50倍。

立即体验

用中文搜PubMed

大模型驱动的PubMed中文搜索引擎

马上搜索

文档翻译

学术文献翻译模型,支持多种主流文档格式。

立即体验