Suppr超能文献

FOXM1/DEPDC1 反馈回路促进肝癌发生,是癌症治疗有前途的靶点。

FOXM1/DEPDC1 feedback loop promotes hepatocarcinogenesis and represents promising targets for cancer therapy.

机构信息

Cytotherapy Laboratory, Shenzhen People's Hospital (The Second Clinical Medical College, Jinan University, The First Affiliated Hospital, Southern University of Science and Technology), Shenzhen, Guangdong, China.

Department of Pathology, Shenzhen People's Hospital (The Second Clinical Medical College, Jinan University, The First Affiliated Hospital, Southern University of Science and Technology), Shenzhen, Guangdong, China.

出版信息

Cancer Sci. 2024 Sep;115(9):3041-3053. doi: 10.1111/cas.16273. Epub 2024 Jul 14.

Abstract

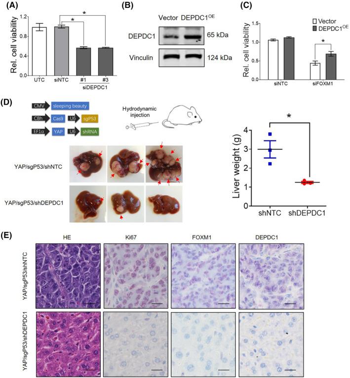
Forkhead box M1 (FOXM1) is a key regulator of mitosis and is identified as an oncogene involved in several kinds of human malignancies. However, how it induces carcinogenesis and related therapeutic approaches remains not fully understood. In this study, we aimed to identify a regulatory axis involving FOXM1 and its target gene DEP domain containing 1 (DEPDC1) and investigate their biological functions. FOXM1 bound to the promoter and transcriptionally induced DEPDC1 expression, in turn, DEPDC1 physically interacted with FOXM1, promoted its nuclear translocation, and reinforced its transcriptional activities. The FOXM1/DEPDC1 axis was indispensable for cancer cells, as evidenced by the fact that DEPDC1 rescued cell growth inhibition caused by FOXM1 knockdown, and silencing DEPDC1 efficiently attenuated tumor growth in a murine hepatocellular carcinoma model. Furthermore, strong positive associations between FOXM1/DEPDC1 axis and poor clinical outcome were observed in human hepatocellular carcinoma samples, further indicating their significance for hepatocarcinogenesis. Finally, we attempted to exploit immunotherapy approaches to target the FOXM1/DEPDC1 axis. Several HLA-A24:02-restricted T-cell epitopes targeting FOXM1 or DEPDC1 were identified through bioinformatic analysis. Then, T cell receptor (TCR)-engineered T cells targeting FOXM1 or DEPDC1 were successfully established and proved to efficiently eradicate tumor cells. Our findings highlight the significance of the FOXM1/DEPDC1 axis in the process of oncogenesis and indicate their potential as immunotherapy targets.

摘要

叉头框 M1(FOXM1)是有丝分裂的关键调节因子,被鉴定为参与多种人类恶性肿瘤的癌基因。然而,它如何诱导致癌作用以及相关的治疗方法仍不完全清楚。在这项研究中,我们旨在确定涉及 FOXM1 及其靶基因 DEP 结构域包含 1(DEPDC1)的调节轴,并研究它们的生物学功能。FOXM1 与启动子结合并转录诱导 DEPDC1 的表达,反过来,DEPDC1 与 FOXM1 物理相互作用,促进其核易位,并增强其转录活性。FOXM1/DEPDC1 轴对于癌细胞是必不可少的,这一事实表明,DEPDC1 挽救了由 FOXM1 敲低引起的细胞生长抑制,并且沉默 DEPDC1 有效地减弱了小鼠肝癌模型中的肿瘤生长。此外,在人类肝癌样本中观察到 FOXM1/DEPDC1 轴与不良临床结果之间存在强烈的正相关,进一步表明它们对肝癌发生的重要性。最后,我们试图利用免疫疗法来靶向 FOXM1/DEPDC1 轴。通过生物信息学分析鉴定了针对 FOXM1 或 DEPDC1 的几种 HLA-A24:02 限制性 T 细胞表位。然后,成功建立了针对 FOXM1 或 DEPDC1 的 TCR 工程化 T 细胞,并证明它们能够有效地消灭肿瘤细胞。我们的研究结果强调了 FOXM1/DEPDC1 轴在致癌过程中的重要性,并表明它们作为免疫治疗靶点的潜力。

https://cdn.ncbi.nlm.nih.gov/pmc/blobs/f8a6/11463088/9e707df6730c/CAS-115-3041-g003.jpg

文献AI研究员

20分钟写一篇综述,助力文献阅读效率提升50倍。

立即体验

用中文搜PubMed

大模型驱动的PubMed中文搜索引擎

马上搜索

文档翻译

学术文献翻译模型,支持多种主流文档格式。

立即体验